こんにちは。
今度セミナーをすることになりました。
結構急遽決まってしまったので、準備をするために非常にバタバタしています。
若手の歯科医療従事者向けで行うのですが・・・なんか参加希望が非常にたくさんいるようで少し焦っています。
いつも私が行ってるセミナーはクローズドセミナーと言って、知り合いのクリニックなどを借りて、ごく少数の方に限定してお話させてもらっているのですが・・・
今回は募集開始後2日目ですが、50人を超える応募があるようで・・・
オープンのセミナーやるにしても、もうちょっと少人数の方が最初は気が楽だったなぁ・・・って思ってます。
まぁ、やれるだけやってみるしかないですね。
これも良い経験だと思って頑張りたいと思います。
さて、本日も、保険で全国各地で行われているコンポジットレジン充填です。
毎回書いていますが、実はこの治療は非常に基礎的な治療ではありますが、術者の技術に大きく依存するタイプの治療法です。
何が原因でそうなってくるかというと、
・治療できるかどうかが歯科医師の技術・考え方によって違う
・詰めたとの予後(どれだけ持つか)も歯科医師によって違う
からなんです。
その結果、
とある歯科医師は「これはレジン充填でも出来る!」
と診断しても、
B歯科医師では「これはレジン充填では無理だ!」
と診断することも多々あります。
私はレジン充填の適用範囲は広めだと認識していますが・・・
世界Topクラスの方々に比べるとまだ不十分です。
それについては、今後更に私自身の治療技術が向上することで更に適用範囲が広げることが可能と考えています。
現在、ようやく日本でも患者さんが「金属が入っているのが嫌がる」という風潮になってきています。
世界から約10年遅れということを考えると、今後もその風潮は強まっていくと考えられます。
そのため、保険制度でも金属をなるべく使わない治療を行っていくことが今後の歯科医師の王道になってくると思っています。
さて、また前置きが長くなりましたが・・・
症例の方に移りたいと思います。
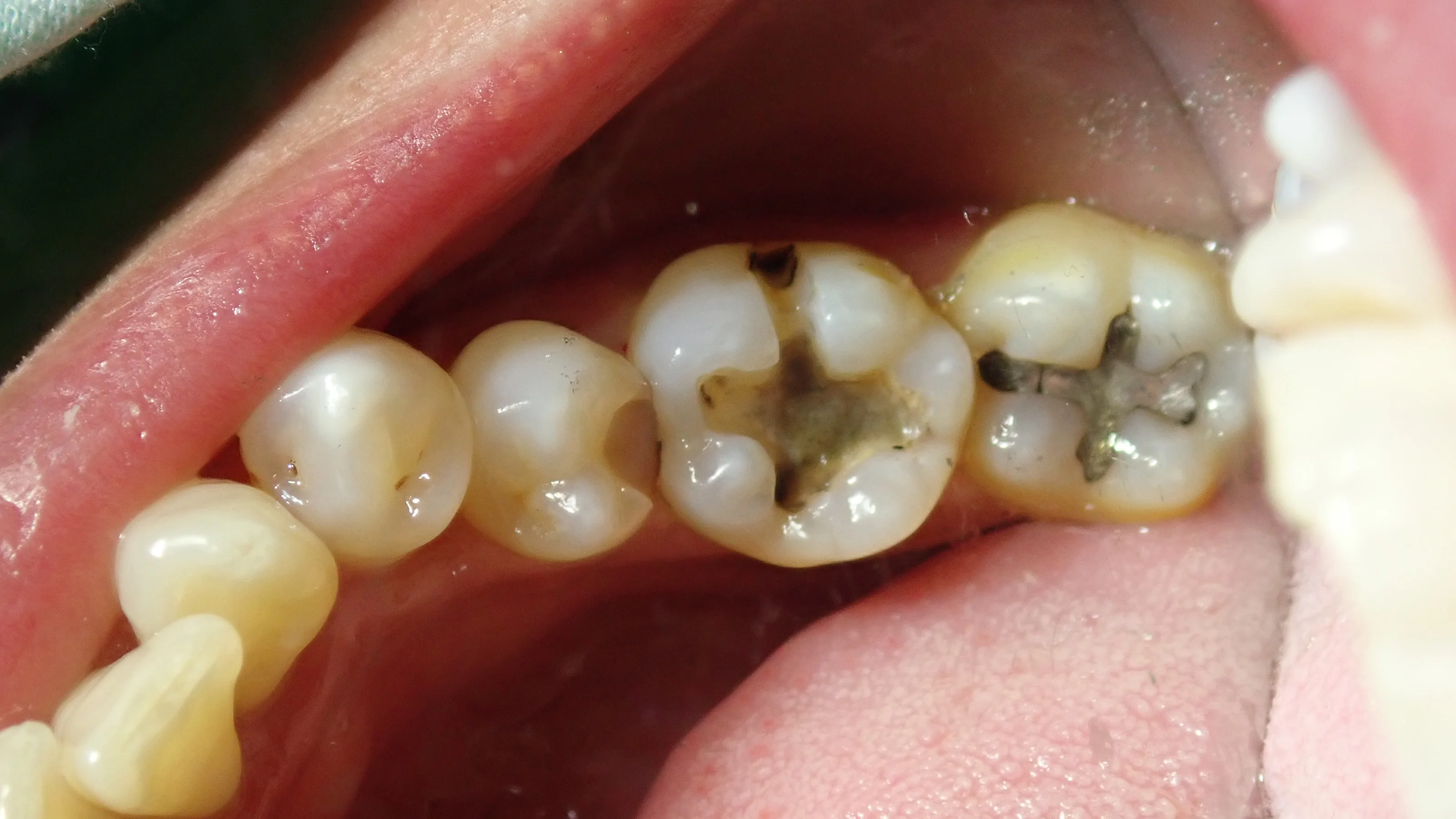
まずは、術前の状態です。

金属の詰め物と、適合のあまり良くない、白い詰め物が入っている場所が今回の治療箇所です。
金属の方は見た目上では虫歯はありませんでしたが、レントゲンにてはっきりと、大きな虫歯になっていたのが確認できました。
詰め物をどちらも除去したのがこちら。

結構黒いのが見えてきたと思います。
手前の、白い詰め物は外していない状況で撮っちゃいましたね。すみません。
そして、こちらが虫歯を取りきった状態。

歯の色が随分と綺麗になっているのが分かるかと思います。
歯との間に虫歯があったので、そちらも一緒に除去しました。
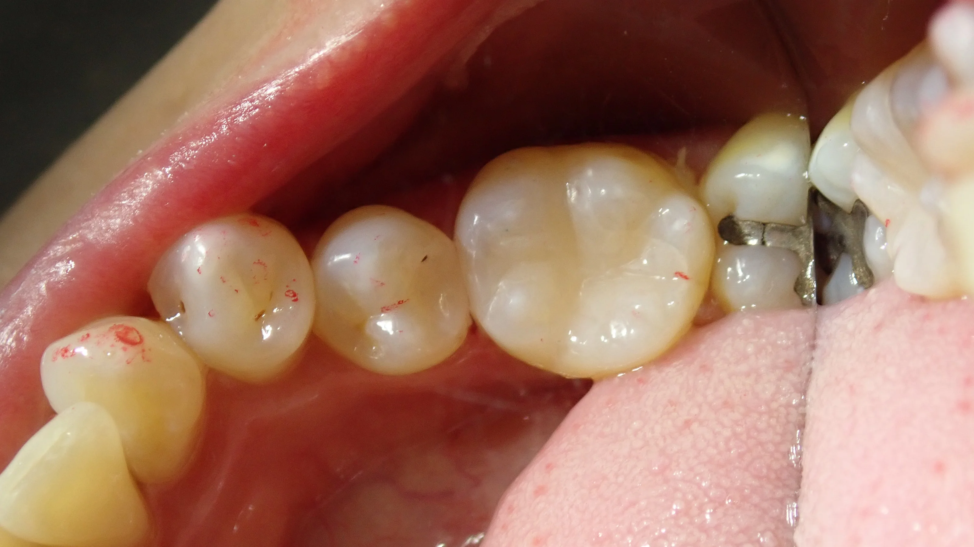
そしてこれが、詰め終わった状態です。

ある程度色もしっかりと合っているかと思います。
コンポジットレジンはこの歯の溝を再現するかどうかも結構意見が分かれてきますが、私は、食べ物を綺麗に排出するためにも必要な構造だと思ってますので、なるべく再現するようにはしています。
平なコンポジットレジン=粗悪ってことはないので、その点は安心してくださいね。
#保険診療,#虫歯の治療,#コンポジットレジン充填