こんにちは。
今日で6月も最後ですね。
コロナは今後どうなっていくんでしょうか?
秋口から再流行があり得るって話もありますが・・・
コロナに対応をしていた総合病院の院長の方が「口腔内状態が悪い方ほど感染時に悪化しやすい」と仰っていたので、今回は都道府県知事などから休業要請がない限りは休まずに診療を続けようかと思います。
口腔ケアをしっかりとしていないと感染リスクや重篤化リスクが上がるのであれば平常通りスタンダードプリコーションに従って診療していた方が良い気がしますしね。
さて、今日は前歯のセラミックについてです。
前歯は審美的に非常に重要な場所になりますので、ここを治すときは特に注意しています。
何をっていうと・・・それは仮歯です。
以前書いたこともありますが、仮歯は実は治療が成功するかどうかの非常に重要なファクターになります。
前歯については仮歯を使って歯茎の形を整えることもできるため、上手いこと行くと非常に綺麗に仕上げることが出来るんですよね。
また、前歯については特に「サ行」と「タ行」の発音にも関わってくる場所です。
仮歯の状態で発音に問題がないことを確認してから、その形を模して最終的なものを入れることで発音への影響を最小限にすることができます。
取手に来てからは芸能関係の方の治療をすることは非常に少なくなりましたが、昔勤務していた場所ではモデルさんやミュージシャンの方が多くいらっしゃる所もありました。
そういった方々や人前でよく話す職業の方の治療をするときには特に注意が必要ですからね。
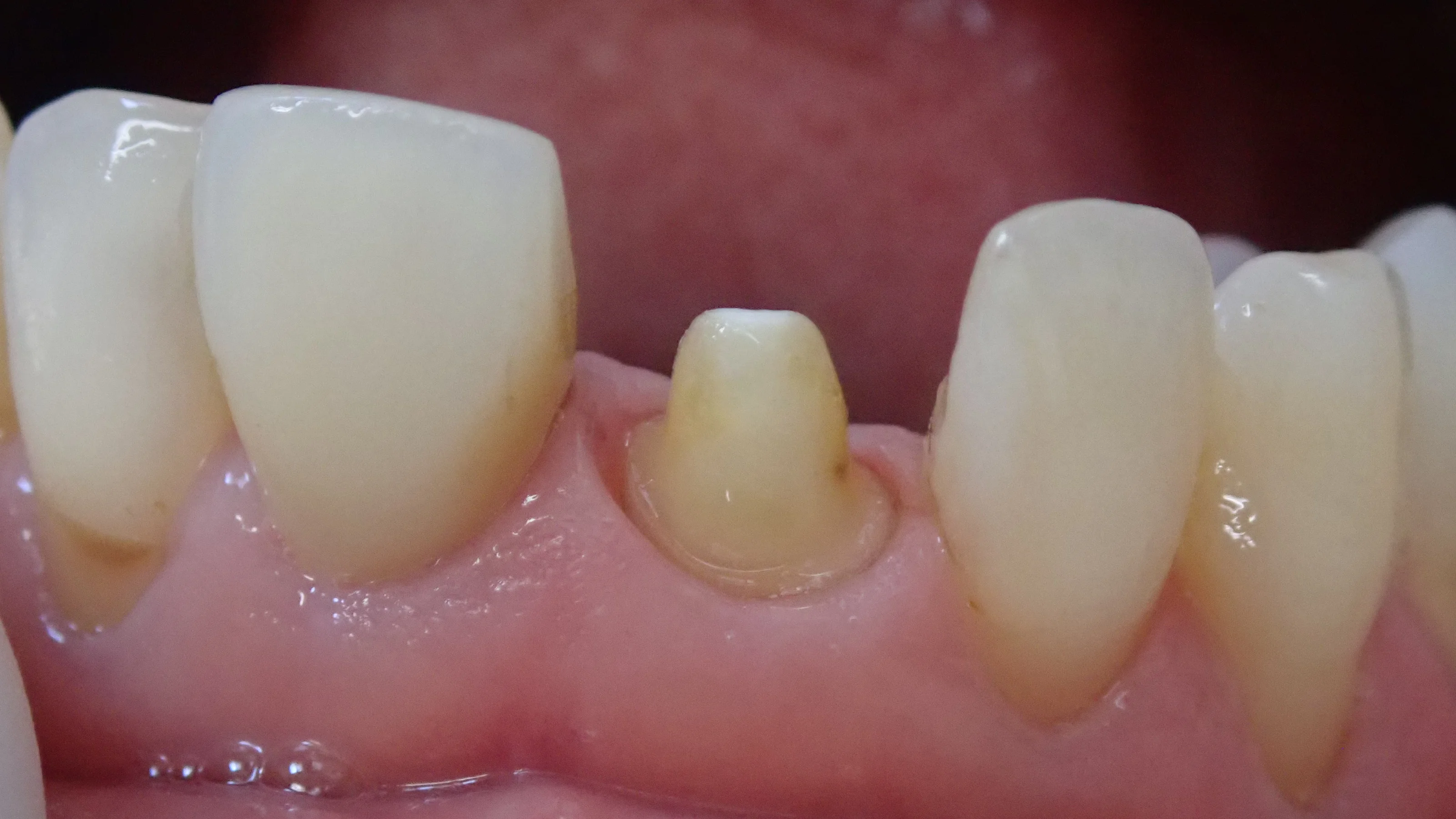
では、まずは仮歯の時の写真です。

で、仮歯を外して・・・仮のセメントを除去したのがこちらです。

で、セラミックを接着した後の写真がこちら。

写真だと少し分かりづらいですが、根本1/5くらいの色が若干黄色っぽいんですよね。
技工士さんが上手く再現してくれたと思います。
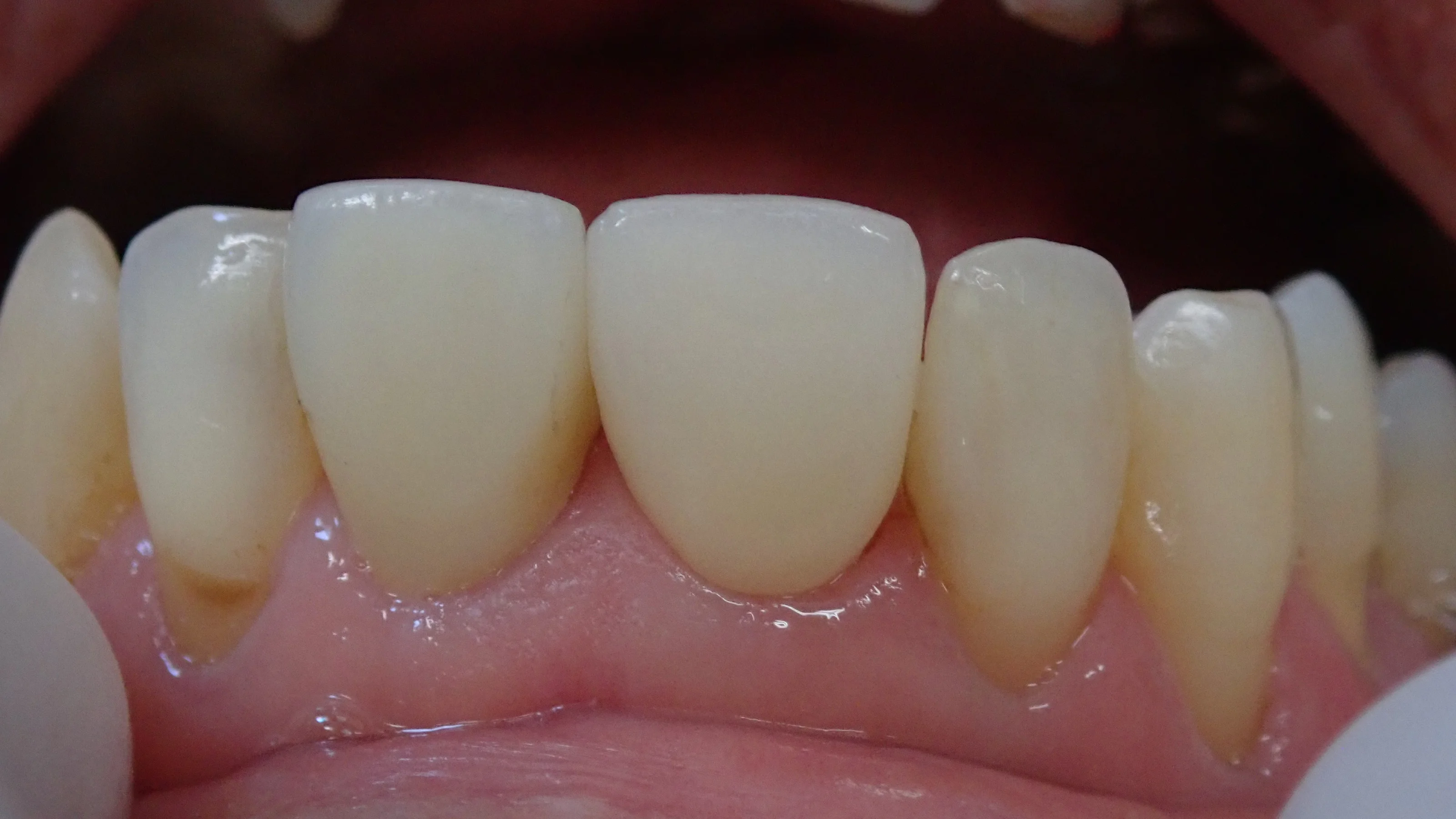
で、仮歯を模型に戻してみたのがこちらの写真になります。

仮歯と模型のフィットが非常にいいのが分かるかと思います。
ご本人も歯磨きを非常に綺麗に磨いていてくれていたので、炎症も全くなく、すっぽりと綺麗に入りましたね。
いくら綺麗に合わせた仮歯を入れたところで、歯ブラシが疎かだと全く意味がありません。
逆にどれだけ歯ブラシを頑張ったところで、仮歯が合っていないと全く意味がありません。
どちらも気を付けなければならないんですよね。
なので良い治療というものには歯科医師だけでなく、患者さんにも頑張ってもらうというのが非常に大事になってきます。
お互いに対する信頼関係がないところには良い医療は存在しないといわれる所以ですね。
信頼関係というと誤解される方がいるかもしれませんが、任せっきりにすることじゃないですからね?
分からないこととかあれば気軽に質問出来る環境があること、自分で自分の治療方法を選択することが大切です。
結構「よく分からないんで先生にお任せします。」と言われることがあるんですけど、駄目ですよ!
自分の健康のことですし、これから先何十年もご自身と共に生活するご自身の口なんですからね!
材料とか含めてしっかりとこちらから提示する選択肢をご自身で選んでくださいね。
#オールセラミックス,#虫歯の治療,#自費診療