こんにちは。
比較的早いタイミングでの更新となります! というのも、この間書いた記事の続きを書いているだけなのでそこそこベースは出来ていたんですよね・・・。 もし、心を入れ替えて毎日更新すると期待した方がいらっしゃったらすみません(笑)
さて、では内容ですが
根管治療の術前術後の写真を載せさせていただきたいと思います。
まずは術前です

「ほとんど全周」という広範囲に保険内の白い詰め物である「コンポジットレジン」が詰められています。 この治療は歯を削る量も少なくて済みますし、見た目も綺麗なのですが・・・
(歯科医の腕と美的センスに大きく左右されますが)
残念ながら今回は強度的に不可能なレベルを無理やり詰められてしまっていたようです。
詰められたコンポジットレジンが割れて中で大きく虫歯になっています。
そしてそのまま虫歯が神経に到達し根の先に膿が溜まってしまっているという状況です。

この赤丸で囲んでいる黒くなっているところが、骨が溶かされて膿が溜まっている状況の所です。
「適用範囲の診断」というものは非常に難しいですが、長期的に治療したものを持たせるためには必須のスキルかと思います。
治療の流れとしてはこんな感じです。
【1日目】 神経の治療開始前に虫歯を全て取り除き、仮封剤(仮の詰め物)が外れないようにコンポジットレジンで壁を作る(隔壁と言います) またこの状態でも稀に神経が一部生き残っている場合があります。 その場合は当然そこを触れると激痛が走ってしまいますので、私の場合は神経が少しでも残っている可能性があったら最初に必ず麻酔をしています。(痛みが出てから麻酔をしても痛みに対する閾値が下がってしまっているので結局効かないことが多いので。)
↓
【2日目】 根管が根の先で結構強く湾曲していたので、その部分の形を整えるのに苦戦しましたが、事前にファイル(歯の中を削るやすりのようなもの)を湾曲しておくプレカーブと言われるテクニックを利用して、しっかりと根の先まで到達させました。 同時に根管充填(根管に最終的な薬を詰める事)を行いやすくするために根管内の形を整え、軽く洗浄したらこの日は終了
↓
【3日目】 根管内の細菌数を減らす為に、根管内を次亜塩素酸ナトリウム水溶液→エデト酸二ナトリウム水溶液を1分作用→次亜塩素酸ナトリウム水溶液の順に根管内を超音波でしっかりと洗浄。
この洗浄方法を行う事で、根管内の更に細かい部分まで洗浄を行うことできます。
ただ、これだけでしっかりと治せるというわけではありませんので、その他、いくつかの洗浄方法を併用しつつ消毒を行います。
↓
【4日目】
症状もなく、根管内の状態も良好なことを確認し、根管充填(無くなった神経の代わりに、ゴムのような材料を隙間なく詰めます)を行いました。
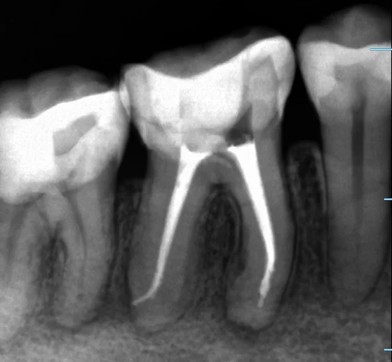
そして治療終了後の画像です

やはり根の先で大きく曲がっていました。
本来はこういう曲がっているところへのアプローチは難しいのですが、現在はそれを行いやすくする器具が非常に沢山出てきています。
歯科の器具は日進月歩でどんどん進化していくので、これからも今まで治療が難しかったケースでも保存が可能になってくることがあるかもしれませんね。
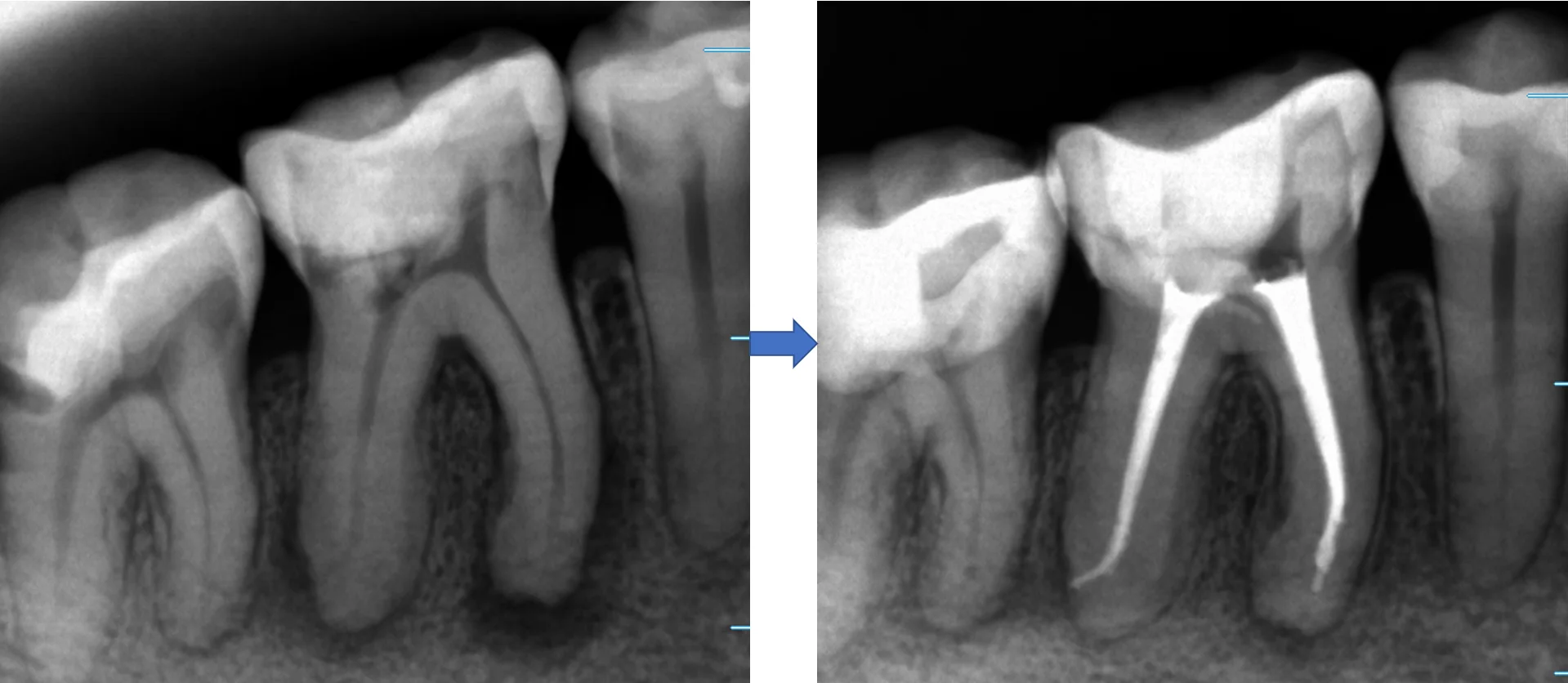
ちなみに、術前術後の変化がこちらです。

並べると、根の先の黒い部分が大分小さくなって、骨が出来てきているのが分かりやすいかと思います。
通常、3~4回程度で治療が完了するのですが、骨が出来るまでは半年から数年は掛かりますので、ここまで劇的に改善しているのが分かりやすいケースは少ないです。
今回は患者さんが比較的若く、骨代謝が活発な方だったので、短い治療期間でしっかりと良くなっているのが見えました。
通常は根管充填後半年から1年経ってから、もう一度レントゲンを撮らないと本当に治療が成功したかどうかは分かりませんので、今回のような場合は確実に上手くいっているのが分かるのでほっとしますね・・・(;^ω^)
前回の記事でも書きましたが、歯内療法は先生によって治療の考え方はもちろん使う器具・手技・手法が大きく異なり、それによって成功率も変わってきます。
歯内療法は歯周治療と一緒で歯の治療の基礎工事に当たる部分になり、非常に大切な分野です。
(家を建てる時にも基礎がしっかりとしていないと地震などですぐにダメになってしまいますよね?)
なるべく自分の歯を残したいとお思いなのであれば、歯内療法に力を入れている先生に診て頂くのが一番かと思いますヽ(゚∀゚)ノ パッ☆
#根管治療 #保険診療