こんにちは。
患者さんへ配布する用の冊子とリーフレットが随分と完成してきました。
月に1枚、歯科の情報をニュースペーパーとして作成し、本棚に置かせていただきますので、是非お持ちください。
さて、今日は前歯部のダイレクトボンディングです。
前歯のダイレクトボンディングはこちら以来ですね。
(「こちら」をクリックで前の症例に飛びます。)
では早速。
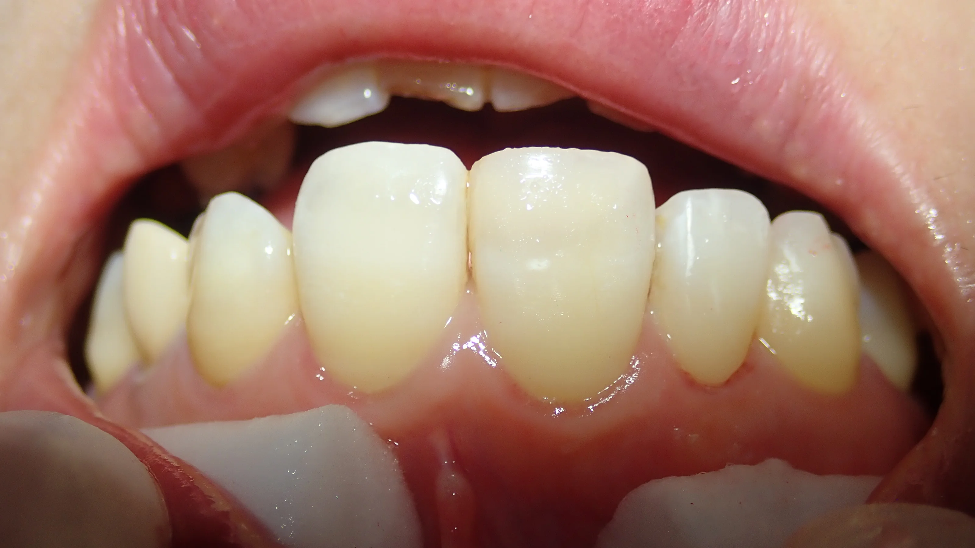
まずは術前です。

写真で言うと、右側の前から二番目の部分です。
この歯は矮小歯と言います。
歯科医師としてどうかと思いますが、Wikipediaの説明が分かりやすかったのでそのままコピペさせてもらいます。
「矮小歯(わいしょうし、microdont)とは、ヒトの歯の平均的な解剖学的大きさを基準とした際に、それよりも異常に小さい歯のこと。歯冠が萎縮した形態をしているために、歯の退化現象とも表現される。その形は、もとの歯の形態をそのまま小さくしたようなものから、円錐や栓状といった形に変化してしまっているものもある。過剰歯は矮小歯となる傾向が強い。(Wikipediaより)」
はい。非常にわかりやすいです。
要は普通よりも小さい歯なんですが、その形は様々です。今回の場合は円錐形でしたね。
で、それをダイレクトボンディングで治すと、こうなります。

結構形が変わったのが分かるかと思います。
(分かりづらかったら上下に素早くスライドしてください。)
要所要所で白いのは、手前の一番大きな前歯が所々白っぽい感じだったので、それを再現しています。
当然ダイレクトボンディングなので、表層0.1mm以下の範囲を薄く削っただけですので、全周を削って被せるセラミックよりは歯を削る量としては非常に抑えることが出来ています。
・・・そして、治療を終了しようとしたところ、治療後の口を鏡で見た患者さんが一言。
「左も気になる。」
そうなんです。
右側の形を修正したら今度は左側が気になったそうです。
ちなみに、左側の歯も少し珍しい状況でして・・・
左の前から二番目の歯と三番目の歯の生える位置が逆なんです。
所謂移転歯と言われるものですね。
結構珍しいらしいんですが、私の歯科医師人生の中では割とよく見かけます。
見かけない先生は見かけないそうなので、私が珍しいんでしょうね。
で、この方、実は左の三番目の歯を他の医院で治療されたのですが・・・
被せ物での治療をされてしまったそうで、健康な歯の部分を大きく失ってしまっています。
幸い自費の材料で治されているので、長持ちはすると思うのですが・・・
一度削ってしまった歯というものは二度と元に戻りません。
そういった処置に勧められるがままに処置を行ってしまうと後で後悔をしてしまう原因にもなります。
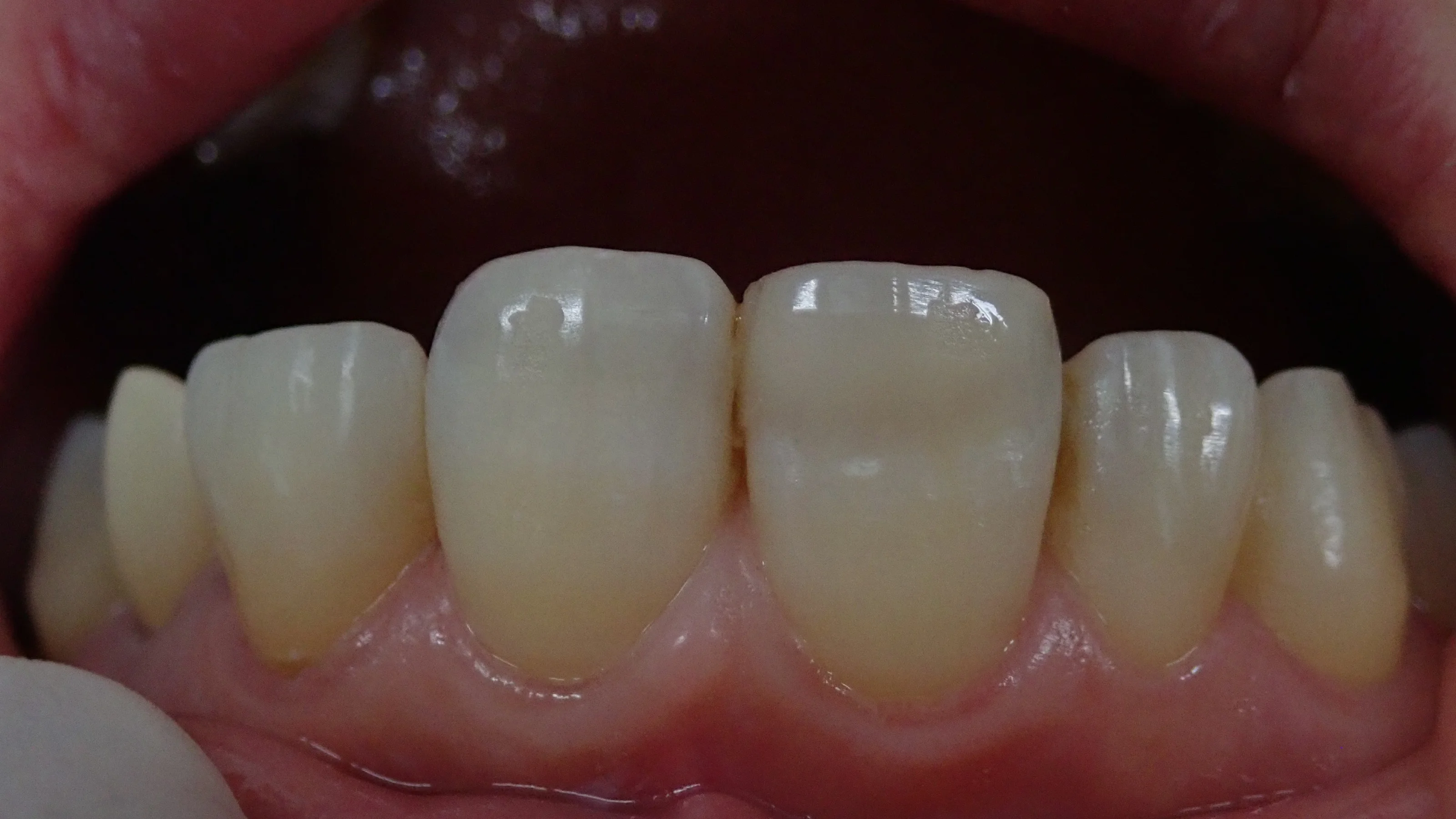
話が少し逸れてしまいましたが、なので、今回処置を行うのは左側の前から二番目の歯です。
元々犬歯なので、今の段階で既に反対側の歯に比べてサイズが大きいです。

それをダイレクトボンディングで出来る限り反対側に近づけてみると・・・
こうなりました。

ほとんど歯を削らないので、元々あった「歯の向き」や「大きさを小さくする」などを変えることは残念ながらできませんので、どうしても出来る範囲に限界があります。
なので、残念ながら左右対称のサイズにはなりませんでした。
可能な限り違和感のない様に仕上げたつもりです。
患者さん本人は非常に喜んでくださったので良かったと思います。
歯を削るかどうかは先生の考え方に大きく左右されますので、なるべく削りたくないという事であればダイレクトボンディングを得意とされている先生を見つけたほうが良いと思いますヽ(゚∀゚)ノ パッ☆
#虫歯の治療 #ダイレクトボンディング #自費診療