こんにちは。
先日の台風では停電の被害が非常に多かったですね・・・
うちも早々に停電してしまいました・・・。
あの気温で停電されると本当に辛いですね。
まだ停電から回復していない地域の方もいらっしゃいますが、なるべく早く回復するといいのですが・・・。
さて、今回はダイレクトボンディングについてですが、3本連続のダイレクトボンディングです。
通院中の方はご存知だと思いますが、私は通院回数をなるべく減らしたいので、一気に複数本の処置を行う事が殆どです。
今回は特に海外から一時帰国中の方でしたので、「なるべく素早く確実に治したい」とのことでした。
今までの治療は短いタイミングで直ぐにやり直しになってしまっていたので、それで本当にいいのかと疑問に思われてHPで調べた結果、うちを見つけていらっしゃったそうです。
隣の県から車で1時間程かけての通院でした。
こういう時にはダイレクトボンディングが非常に役立ちますね。
なにせ1回で治療が終了しますので。
もちろん強度的に出来ないこともありますので、何にでも使えるわけではないんですけどね(;^_^A
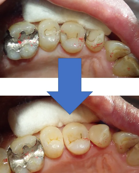
ではまず術前から。

咬合面が上からの図で、頬側面が頬っぺた側から見た図です。
咬む面から頬っぺた側に広範囲に虫歯が出来てしまっています。
この場合、インレーやクラウンでの治療が一般的ですね。
ただ、そうなると・・・

こういう形になります。
一番右側がクラウン、真ん中が半分クラウン(先生によってはクラウン)、左がインレー
ですね。
基本的なことになりますが、治療で行っているのは、
「悪くなってしまった体の一部を除去し、別の人工物で補う」
ということになります。
人工物で永久的なものは存在しないのはご存じかと思いますが、治療した部位も同じです。 治療したところは必ずまたダメになってしまいます。 ですので、患者さんが訴えられていた「治療のやり直しを繰り返す」というのは必ず起こってくることで、異常なことではありません。 ですが、いつかダメになってしまうものだからこそ、一回一回の治療の質が大切になってきますし、それによってどれだけその詰めたものが持つかも変わってきます。
また、1回の治療で歯をどれだけ温存できるかが非常に大切になってきます。 私はよく治療を回数券で例えます。 例えば20枚綴りの回数券で治療の度に、回数券を消費していくのですが、ダイレクトボンディングは1枚しか消費しない治療法になります。インレーは一気に3~5枚くらい消費するようなイメージで、クラウンは5~10枚消費するイメージですね。
(先生によってはインレーの段階で10枚くらい一気に行くかもしれません。)
例えばダイレクトボンディングが1回の治療で5年持ったとして…クラウンと同様の5枚消費するには25年かかります。 逆にクラウンが25年以上持つなら良いのかもしれませんが…そこまで持たせられる!と自信満々に答えられる歯科医師はまずいないでしょう。 もちろん先生によって考え方は違いますし、価値観も違うため患者さんが何を選ぶかは人それぞれですが… 少なくとも私が同じような状態で治療を受ける際には可能な限りはダイレクトボンディングで治療してもらいたいですね。
また、治療とは削る量が増えれば増えるだけその難易度も増していきます。それに伴って、持つ期間も短くなっていってしまいます。
だからこそ小さいサイズの虫歯の時点で、ダイレクトボンディングで治療する意義は非常に大きいです。
当院は保険医療機関ですので、非常に小さい虫歯の場合は保険適用内の「コンポジットレジン修復」にて治療を行っていますので、もし精度や持ちに拘りがあるのであれば、最初から「ダイレクトボンディングを希望」とお伝えください。
さて、症例の写真に戻ります。
虫歯を取りきった術中写真がこちらです。

案の定、結構な部分が虫歯で、歯がありませんでした。
・・・が、 中心部分・かみ合わせ的にダイレクトボンディングでも十分に持たせることが出来ると判断し、予定通りダイレクトボンディングの修復に入りました。
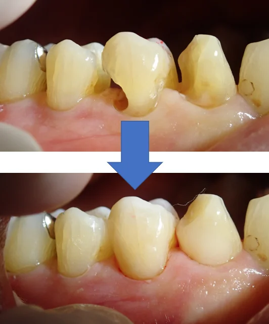
そして、術後です。
まずは咬合面観で、

次が、頬側面観です。

この治療を行ったとき、裂溝(歯の溝)の再現用のステイン剤で黒を持っていなかったので、真ん中の歯のシェードの再現が微妙になってしまいましたね・・・。
なるべく色はごまかしてみましたが・・・。
治療の精度としては問題はなく、フロスもまったく引っかからないように出来たので、安心です。
後はこれがどれだけ持つかですね!
なるべく長く持つようにしっかりとブラッシングや歯間ブラシを頑張ってもらいたいと思いますヽ(゚∀゚)ノ パッ☆
#自費診療 #ダイレクトボンディング #虫歯の治療