こんにちは。
前回の記事で県外の方がいらっしゃることがあるという事を書かせて頂きましたが・・・
今回は前の医院で勤務していた時に治療を行った患者さんです。
高速を利用して2時間以上かけて来てくださいました。 遠い所から本当にありがとうございます。
ちょうど3年前にダイレクトボンディングを行った方でしたので、その経過を写真に撮らせてもらいました。
こちらがダイレクトボンディングから3年経過後の状態です。

当然前の医院での治療ですので、術前術後などの写真はありません・・・orz
一応詰めているところを赤い線で表すと、

こうなります。
手前の歯の着色などを考えるともう少し濃いめにステインを入れても良かった気がします。
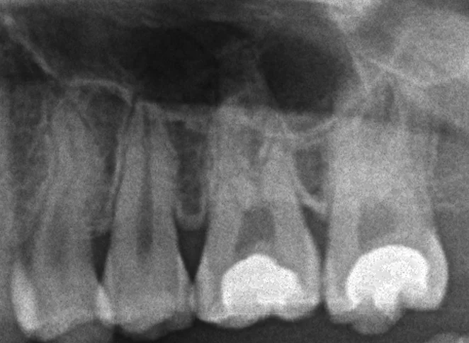
この歯のレントゲンがこちらですが、

実は前後とも神経が一層出るほどのギリギリな虫歯でした。
神経が露出した場合の対応は歯科医師によって大きく異なります。
・神経を抜くか
・神経を温存するか
の2択なんですが、
歯科医師サイドとしては神経を抜いてしまったほうが正直、楽です。
というのも、神経を温存する処置をしてみたとしても、結果として上手くいかずに死んでしまう事もあります。
そうなった場合は当然痛みが出てきてしまう訳です。
うちでは、基本的に虫歯などの治療を行った後は必ず痛みがでる可能性はゼロではないという説明はさせて頂いていますが・・・
そういった説明をしない先生であったり、或いはその説明を患者さんが忘れてしまった場合・・・
患者さん側からすると
「少し前に治したところが痛くなった!あそこはヤブなんじゃないか!?」
という感覚になってしまいます。
そうなると医院の評価が下がってしまい、結果として歯科医院を継続させることが厳しくなってしまうという事もあり得ます。
ですので、神経が出た場合、さっさと神経を抜いてしまったほうが歯科医師側からするとリスクが少なくて済むんです。
しかも、神経の温存は実は非常に手間が掛かり、難しいです。
そしてその手間の割に、保険内では金額が非常に安く設定されています。
温存した場合と比較すると、神経を抜く治療の方が遥かに高額になります。
そのため、医院側からすると経営的には「神経が出たら神経を抜く」の方が手軽なんです。
ですが、
「残せる可能性のある神経を抜くという事」は全くお勧めしません。
「神経を抜く」ことを抜髄と言いますが、その成功率はおおよそ50~80%と言われています。
失敗するとどうなるのかというと・・・
根の先にじわじわと膿が溜まって、数年後に痛みが出てしまい、再治療となります。
(この再治療の事を感染根管処置と言います。)
まだ痛みが出た場合は良いのですが・・・定期検診にも行かずに、しかも痛みが無かった場合、気付いたらもう歯を抜かなければならないという状況になることすらあります。
また、感染根管処置は何回も出来るものではなく、治療の度に歯を削ってしまうため、3回が上限と言われています。
そして、繰り返せば繰り返すほど、歯が無くなっていくため、その難易度も高くなっていきます。
つまり、神経を抜くという事は歯を失う事に一歩近づく行為なのです。
(あ、でも神経抜かないとダメなときは、無理に温存しようとしても悪くなる一方なので注意してくださいね。)
ですので私はなるべく神経を温存するように気を付けながら診療を行っています。
私がこの医院に入ってから抜髄を行ったのは約5名で、それ以外の方は全て温存するような形で治療をさせて頂いています。
歯科医師をしていると、自分の歯や神経をどれだけ残せるかどうかは歯医者選びに掛かっていると本当に思います。
今回の方も、幸い神経の温存も成功しているようで、ダイレクトボンディング自体も欠けたりもせずに順調に使用できているようで良かったです。
このまま使えるだけ使ってくださいねヽ(゚∀゚)ノ パッ☆
#ダイレクトボンディング #虫歯の治療 #自費診療