こんにちは。
今回もダイレクトボンディングですが、今回は少し毛色が違います。
というのも、普通に充填したのみで終了したのではなく、神経の治療も行ったためです。
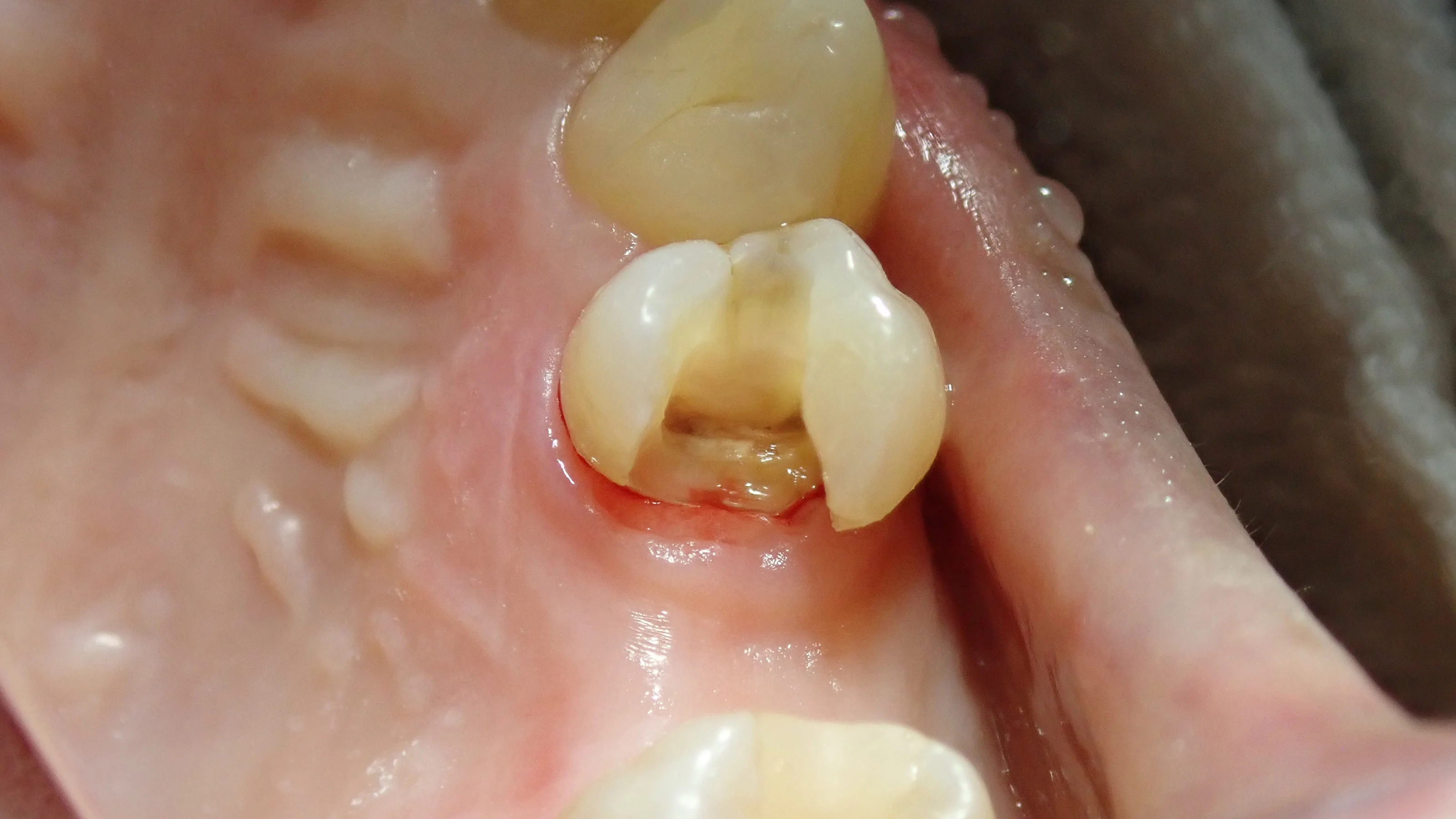
術前の状態です。

元々白い詰め物が詰められていますが、亀裂が入っており、その付近から虫歯が黒く透けて見えています。
術前のレントゲンです。

若干、根尖(根の先)が黒くなっており、膿が溜まっているように見えます。
また、詰めたものと歯の間に大きなギャップがあり、その中で虫歯が進んでいます。
神経の治療になる可能性が非常に高いことを説明して治療をスタート。
虫歯を取り切った状態がこちら。

・・・案の定、虫歯が神経まで行ってしまっていました。
神経が生きていれば、露出した段階で出血してきますが・・・神経のあるはずの場所を触ってみても全く出血せず。
確実に神経が死んでおり、神経の治療が必要である旨を説明し、同意を得たので、神経の治療へ。
と、その前に。
既に歯の後ろ半分は全くない状態のため、緊密な仮封(仮の蓋)を行うためにダイレクトボンディングで使用する予定の材料を使って、壁を作成しました。

これで神経の治療を行う準備ができました。
またそのうち書きますが、神経の治療で最も大事なのは次回まで仮封が取れないこと。
仮封が微妙だとどれだけ根管(神経が入っている管のこと)内を清潔にしても、細菌だらけの唾液が入り込んでくるので全くの無意味になってしまいます。
それだけならやり直せば良いんですが・・・唾液の中にはなかなか殺せない細菌が含まれていることがあり、それが入り込んだ場合は治療が長期化してしまう可能性もあります。
そして神経の治療を1回行って、2回目で最終的なお薬を詰めました。

根が2本ありましたが、1本がやたらと曲がっていたため、非常に難しい根管治療でした。
元々少々の違和感がある歯だったそうですが・・・その違和感も無事に消失したそうです。

この写真の歯の中央に見えているのが最終的な詰め物です。
ガッタパーチャポイントという柔らかいゴムのようなものを使います。
で、中断していたダイレクトボンディングを完了したのがこちら。

こちらの患者さんはステイニングを希望されなかったので、一切着色を使用せずに行いました。
ステイニングを行っていない為、立体感は乏しいですが、パット見た時の違和感はないようにできたと思います。
教科書的には神経の治療を行ったものに関しては、かぶせ物をすることが正しいのですが・・・
歯というものは削れば削るだけ寿命が短くなってしまいます。
そういうことを考えると、根管治療+ダイレクトボンディングは非常に相性の良い治療かと思います。
ちなみに、術前術後でのレントゲンと口腔内写真がそれぞれこちらです。


ではまた、近いうちに更新したいと思います。
#自費診療 #ダイレクトボンディング #根管治療