こんにちは。
最近季節の変わり目で、気温が高い日もあれば低い日もあり・・・衣類調整が難しい季節になってきていますね。
こういう時に体調を崩してしまいやすいので、ご注意くださいね。
さて、今日は右上の6番のダイレクトボンディングです。
右上6とは何ぞやという方に説明しておくと・・・
歯には全て固有の番号がつけられています。
ど真ん中の一番大きな前歯を1として、そこから奥に行くにつれて2,3,4と番号が進んでいきます。
つまり、右上6とは、そのまま「右上の前から6番目の歯」という意味ですね。
歯の呼び方はいくつかありますが、一般的に日本で多く用いられているのはこの呼び方になります。
ご自身の治療を行った歯がどこかを覚えておくためにも、ちょっと頭の片隅に入れておくといいかもしれません。
ではいつも通り、術前からです。

画面の左から2番目の歯ですね。
保険内でコンポジットレジンが詰められています。
裂溝部(歯に存在する溝の部分)の再現は全くされていないのっぺらぼうな詰め物になっていますが、保険で行う治療は審美や持ちは度外視で、「虫歯を取って咬めれば良い」という感じですので、こういう凹凸の全くないコンポジットレジンは正直よく見ます。
そしてレジンを除去していくと・・・

レジンとは別の材料が2つ出てきました。
ピンク色の方が恐らくはグラスアイオノマーセメントと呼ばれるもので、黒い方が元々詰められていた金属でしょうね。
レジンには「神経に対する為害作用が存在する」と言われていた時代があり、その時代の治療ではよく見かけるものです。(確か平成1桁台とか聞いた記憶があります。)
現在ではこの考え方は否定されており、例えば神経に直接レジンを乗っけたとしても予後に影響はないとすら言われています。
また、昔の詰め物を残して詰めるメリットはありません。
「虫歯を残した状態でもしっかりと封鎖すれば虫歯が進まない」(シールドレストレーション)という考え方がありますが・・・
こちらも同様に現在では否定されています。
そもそも封鎖を完璧に行う事など不可能ですし、仮に出来てもその状態で虫歯が進むことが確認されていますからね・・・。
要は取り残しはダメ絶対。ってことですね。(懐かしい)
ただ、この治療、10年経ってないそうなんですよね・・・。
勉強会や学会には定期的に参加しないと取り残されてしまいますからね。
今後も積極的に参加しないとなとこの治療を見て、益々思いました。
さて、そこら辺の古い材料を取り除いたのがこちらです。

この画像だと深さが分かりづらいですが・・・
普通に神経がちょっと近い状況になっていました。
色がついているところは虫歯ではなく、着色しているだけの状況ですので、全く問題はありません。
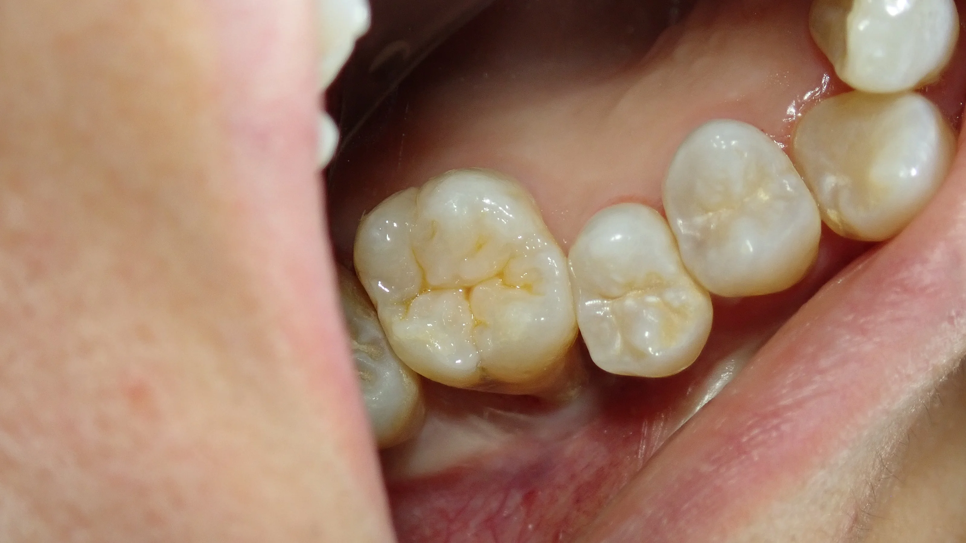
で、詰め終わったのがこちら。

手前の歯とかは着色もそんなに強くないタイプだったので、ステインは薄めにしました。
それでも、裂溝部を再現するとしないとでは天然の歯っぽさが全然ちがいますので、やはりあった方が自然だと思います。
そして今回、時間もあったので、アイスペシャルのシェード抽出機能を使って撮影も行ってみました。
ごまかしの一切効かない写真になるので、戦々恐々としながら撮影してみました。
まず、普通の状態。

そして、色の違いを分かりやすくするためのシェード抽出画像。

どうでしょうか?
若干、中心裂溝(中央の黒い点)の深さを深くしすぎてしまった感じはありますが・・・
そこまで大きな色の違いは出ていないと思います。
そして術前術後の写真がこちらです。

咬合面のみなのでブラッシングもしやすいので、かなり長持ちしてくれるとは思います!
長時間の治療、お疲れさまでした(*- -)(*_ _)ペコリ
#自費診療 #ダイレクトボンディング #虫歯の治療