こんにちは。
本日もまたダイレクトボンディングについてですが・・・
今回の患者さんは竜ケ崎で開業されている歯科医師の方です。
虫歯の治療を行いたかったそうですが、近くにダイレクトボンディングでの治療を受けられる医院が無かったとのこと。
たまたま歯科医師会でお会いした時に、症例写真をお見せしたところ、その場で「虫歯治して!!」というお話になり、治療を行う事になりました。
今ブログを書きながらその先生の医院を調べてみたら地味に10km以上離れていましたが・・・そんなにこの辺でやってる先生少ないんですかね・・・。
ちなみに、よく誤解されますが、
歯科医師や歯科衛生士も虫歯や歯周病になります。
私は前までの医院では歯科医師をはじめ、歯科衛生士・歯科助手の治療を多く行わせていただいておりましたが、坂寄歯科医院では歯科医師の方の治療は初めてですね。
歯科医療従事者の治療は専門用語をどんどん使用でき、しかも説明も大幅にカットできるので正直楽(笑)
今回もダイレクトボンディング前提で来ていただいたので初診時に説明などはほとんどなく治療に入ることが出来ました( ^∇^)
では、
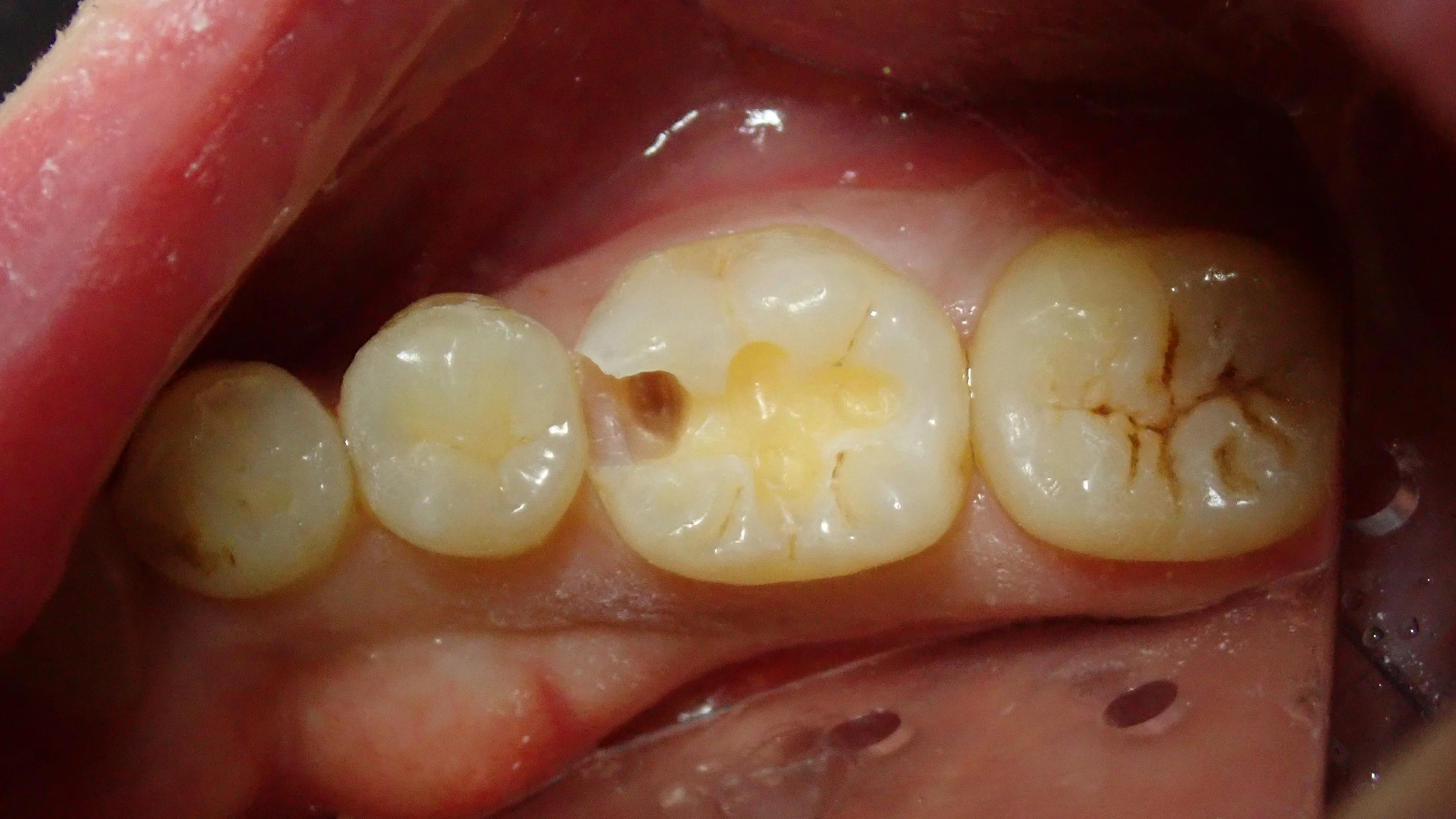
まずは術前の写真です。

どうやら保険適用内のCR(コンポジットレジン)で治療を受けられたようですが、割れてしまい、そこから中に虫歯が侵入してしまったようですね。
で、こちらがレントゲン像です。

パッと見ではそこまで大きな虫歯には見えません。
ただ、本人も言っていましたが、神経が上の方に大分伸びているタイプですので、下手に放置しすぎると神経の治療になりかねない状況です。
しっかりと麻酔を効かせた上で前に詰めていたCRを除去していくと・・・

レントゲン上で見るより結構大きく中に入り込んでいるようですね・・・
そして、虫歯を取り切った後の写真です。

一部着色が残っていますが、ここは特に虫歯とかではなく、ただ着色しているだけの部分となります。
充填後に咬合調整を終えた写真です。

比較的良い感じにステイニング(溝の部分の着色等)も出来たと思います。
そして最後に、術前術後の比較写真がこちらです。

仕上がりにご満足いただけたようで、次回4月に右上の奥歯を行う事となりました。
歯の間の部分もフロスを通しても引っ掛かりが全くない様に仕上げましたので、しっかりとフロスを通していただいて大丈夫です!
長時間の治療、お疲れさまでした。
また4月にお待ちしておりますヽ(゚∀゚)ノ パッ☆
#虫歯の治療 #ダイレクトボンディング #自費診療