CAD/CAM冠について

こんにちは。

 

そういえば、今更ですが・・・

パラジウムの高騰を受け、当院でもCAD/CAM冠の届け出を出しました。

 

今日はそのCAD/CAM冠について書いていきたいと思います。

 

そもそもCAD/CAMとは何ぞやって所からですが・・・

 

Computer Aided Design(コンピュータ支援設計)

および

Computer Aided Manufacturing (コンピュータ支援製造)

 

の略です。

 

要はコンピューターを使って歯の形態を設計し、コンピューターを使ってその設計したものを作り出すことを言います。

 

仕上げのところは必ず人間による微調整が必要ですが、歯の形づくりなどに問題がなければほぼ機械任せで作製することが出来るため、職人技が必要だった技工士さんの仕事が随分と楽することが出来る素敵な機械になります。

 

材料も通常のレジン~ハイブリッドセラミックス・セラミックスまで幅広く選べます。

 

 

ただ、現在保険適用で使用されているCAD/CAM冠の材料は「ハイブリッドセラミックス」となっています。

当院では私自身がお勧めしていない材料ということもあって症例写真などはありませんが、セラミックとプラスチックを混ぜ合わせた材質になります。

 

そんなCAD/CAM冠の特徴としては

 

【利点】

・保険適用のレジン単体のものよりも変色しにくい。

・通常のセラミックよりも柔らかい為、かみ合わせの調整をシビアに行う必要がない。

 (多少咬み合わせが高くても、咬んでると勝手にハイブリッドの方が削れて行きます)

・金属を使用しないため、金属アレルギーのリスクがない。

 

【欠点】

・細かい色の調整が出来ないため、審美的ではありません。

・プラスチック成分が吸水を起こすため、変色・変形が生じます。(長期安定性がない)

・強度が弱く、欠けたりする。

・接着が難しく、外れてしまう可能性がある。

 

 

といった感じですね。

 

強度的に歯ぎしりや食いしばり、TCHなどの力のコントロールが出来ていない方の場合は割れてしまうリスクが非常に高いため、かなり症例を選びます。

 

そのため、CAD/CAM冠を保険で行う際には担当医が「強度的に問題がない」と判断する必要があります。

現在の保険ルール上では上下左右で前から4・5・6番目の歯についてこのCAD/CAM冠を使用することが出来るようになっていますが・・・

 

私は根本的に前から6番目の歯についてはCAD/CAM冠は適さないと考えていますから、患者さんから希望されたとしてもお断りさせていただくことになると思います。

 

まぁまず治療の選択肢に挙げないので、そもそも希望する方がいないと思いますが(笑)

 

一応メーカー的にもこういった注意事項があります。(添付文書より)

 

【使用上の注意】

[重要な基本的注意]

1)本材の使用により発疹、湿疹、発赤、潰瘍、腫脹、かゆみ、しびれ等の過敏症状が現れた患者には使用を中止し、医師の診察を受けさせること。

2)本材の使用により発疹、湿疹、発赤、潰瘍、腫脹、かゆみ、しびれ等の過敏症状が現れた術者は使用を中止し、医師の診察を受けること。

3)本材への研磨作業の際には、粉塵による人体への影響を避けるために、局所吸塵装置、公的機関が認可した防塵マスク等を使用すること。

[その他の注意]

1)完成して、患者に装着した修復物は、食習慣等にかかわって口腔内で表面着色したり、プラーク付着することがあるため、患者に対し口腔内の日常清掃を指導すること。

2)不正咬合やブラキシズム(クレンチング、グラインディング)の習癖を伴う症例への適応はしないこと。

 

というわけで、メーカーも力が加わりやすい部位への使用は基本的には推奨していません。

 

 

 

 

では実際の症例を載せていきたいと思います。

 

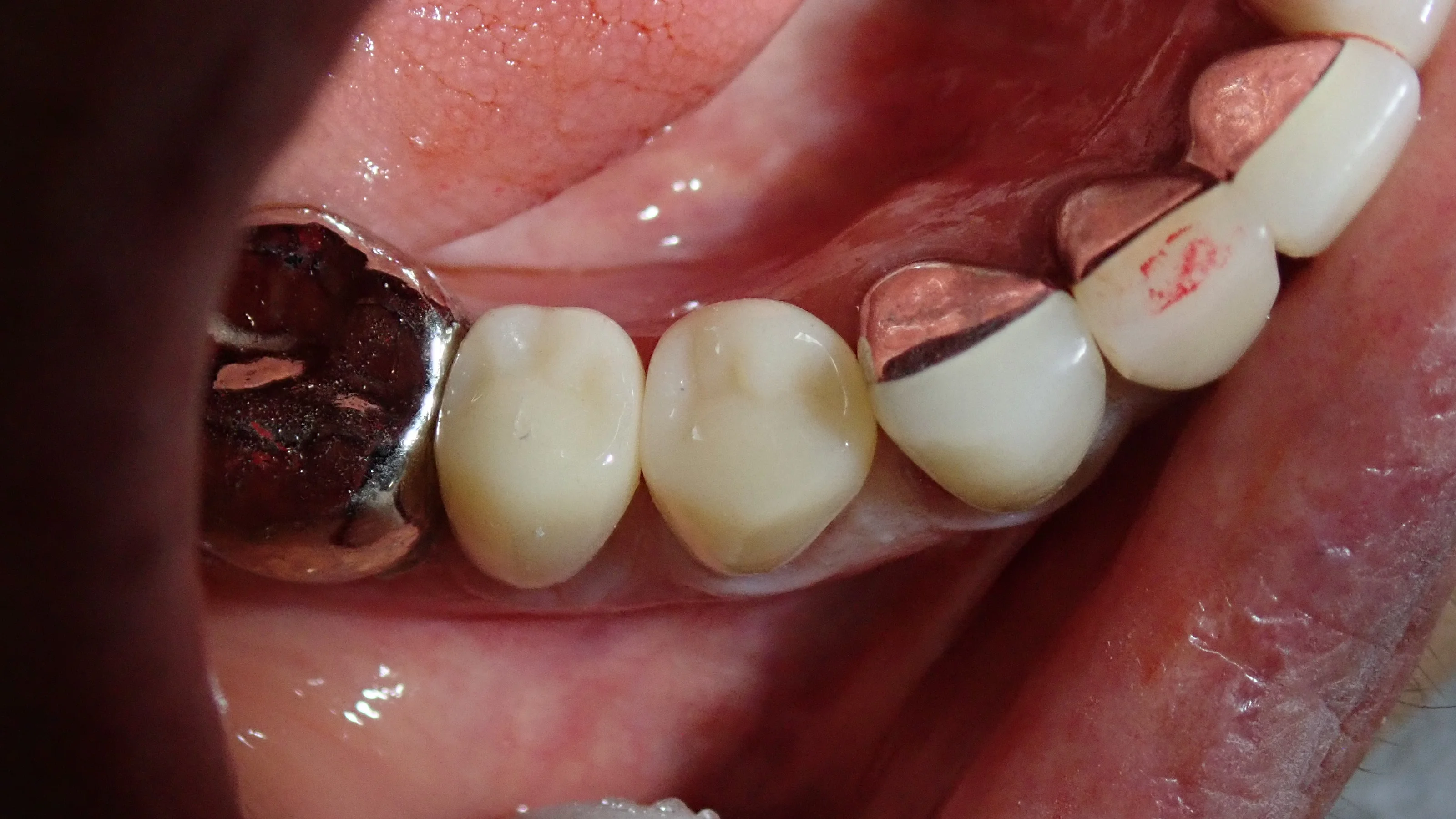
今回の方は右下前から3番目~5番目までを一度に治療しました。

CAD/CAM冠について|坂寄歯科医院(取手市藤代)

写真上の左二つがCAD/CAM冠で一番右がレジン前装冠と言われる被せ物になります。

 

レジン前装冠は内面が金属で表面にレジンを盛った被せ物です。昔から前歯の保険の被せ物は基本的にこれだったかと思います。

 

実際にお口の中につけたのがこちら。

CAD/CAM冠について|坂寄歯科医院(取手市藤代) - 画像2

上からの図がこちらです。

CAD/CAM冠について|坂寄歯科医院(取手市藤代) - 画像3

人工物感は否めませんが、少なくとも金属の被せ物よりは違和感は少ないと思います。

 

ただ、4~5年程度で激しく劣化を開始してしまうためセラミックに比べるとどうしても長期的予後は期待できません・・・。

 

まぁそもそも保険診療で長期的予後を期待するのは間違っていると厚労省の役人さんがテレビで言ってましたし、国としてはとりあえず数年持てばいいだろうという感覚なんでしょうかね・・・。

 

人生は数年で終わらないんですけどね・・・。

 

 

 

まぁとはいえ、今後ひょっとするとセラミックのCAD/CAM冠が保険適用になる可能性も否定できませんし、その場合は全力でオススメすることになると思います。

 

 

#保険診療,#虫歯の治療,#被せ物,#CADCAM冠

← ブログ一覧に戻る