こんにちは。
最近一般の方にダイレクトボンディング同様、ICON治療の認知が広がってきているのを感じますね。
問い合わせもそこそこ増えてきました。
ICON治療は実はテクニカルセンシティブ・・・つまり術者によって綺麗にホワイトスポットを消せるかどうかが変わってきます。
なので当院以外でも行う場合は必ず術前術後でどう変わったのかの症例写真を見せてもらうことをお勧めします。
では医療法の兼ね合いで、どう言った治療なのかを説明していきたいと思います。
そもそもホワイトスポットとは何かというと、

こんな感じで、歯の表面に白い点があることってありませんか?
この部分をホワイトスポットと言います。
今までこの部分を治療するためには
①白くなっている部分を削って、プラスチックを詰める(コンポジットレジン)
②歯の表面部分全体を削ってセラミックを貼り付ける(ラミネートベニア)
③全周の歯を削ってセラミックの被せ物を入れる(セラミッククラウン)
と、この3種類が主たる方法でした。
それぞれ侵襲の小さい順に①<②<③となる訳ですが、毎回書いていますが、
治療したところは自費だろうが保険だろうが必ずまた虫歯になります。
その為、治療介入する際には侵襲の小さい物から順に行っていくのが通常です。
その方が歯を多く残せますからね。
今回ご紹介する治療方法(ICON)は、従来の治療方法とは異なり、
歯を削る量を抑えて対応できる治療法のひとつです(症例によって適応が異なります)。
研磨レベルで0.0何mmの厚みを削ったりすることもありますが、歯の形が変わるほど削れることは術式上あり得ません。
そのため、侵襲の順が小さい順に、
ICON<超えられない壁<①<②<③
といった感じになるんです。
ではここでICON治療のメリットデメリットを書かせていただきます。
ICON治療のメリット:
・歯を削る量を抑えられる(研磨レベルで0.0何mmの厚みを削ったりすることはありますが、歯の形が変わるほど削れることは術式上あり得ません)
・審美的に違和感なく仕上げることが出来る
・歯を削ったりする不快感を感じないで済む
ICON治療のデメリット:
・比較的新しいため、長期予後が不明
・ホワイトスポットの種類によっては改善しきらないことがある
・強い薬剤を使用するため、ラバーダム防湿(ゴムのマスク)が必須
・審美的目的の為、保険適用ではなく自費診療の為治療費が高額となる。
(当院では1本辺り50,000円(税込)となります。)
といった感じですね。
審美的な目的を達成しつつ、歯の温存もできる、低侵襲なアプローチのひとつだと考えております。
海外では10年予後のデータも出始めており、経過も良好というのがまたいいですね。
ただ、ICON治療は治療の際に塩酸を使用するためもしそれが歯茎に漏洩したら大変です。
そのため、このように

口にゴムのマスクをつけて、患歯だけ露出させるラバーダム防湿というものが必須になります。
(実はこちらも漏洩をしないように付けるのは地味に難しかったりします・・・(⌒-⌒; ))
15%の塩酸を使用するため、歯茎に漏れたりすると火傷しちゃいますからね。
そして、薬剤を使用し、ホワイトスポットを改善させ、固定化させたのがこちらです。

やはり一部分残存している部分が出てしまっていますね。
残念ながら完全に消し切ることはできませんでした。
ラバーダムを外したのがこちらになります。

乾燥させていたため、ラバーダムに覆われていなかった前歯2本だけ白っぽくなっているのがわかるかと思います。
こちらは施術直後のため、元々目立っていなかったホワイトスポットの部分がやや露出してきている状態になっていますが、1週間もすれば歯に水分が戻り元通りの色に戻ります。
そしてその過程で、元々のホワイトスポット部分も馴染んでくれるはずですね。
この方は遠方のため、これ以上の経過を当院で追うことはできませんが、予想としては特に気にならないレベルになってくれるかと思われます。
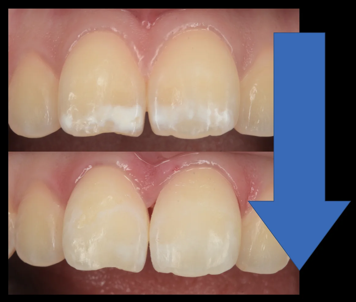
そして術前術後がこちらです。

こう見ると最初に比べると違和感がなくなっているのがわかるかと思います。
実はホワイトスポットに悩む人は結構多いです。
そう言った方々にとって非常におすすめできる治療だと思いますので、ご希望の方はお気軽にお問い合わせください。
遠方から長時間の治療、お疲れ様でしたヽ(゚∀゚)ノ パッ☆