こんにちは。
タイトルで「お?久々にダイレクトボンディング以外?」と思った方、ごめんなさい。
今回の内容はダイレクトボンディングによる接着性ブリッジです(;^ω^)
結局いつも通りですみませんm(_ _)m
さて、本日もダイレクトボンディング・・・なんですが、少し毛色が違い・・・
接着性ブリッジです。
これについては先生によって考え方が異なり、行うべきではないという先生もいらっしゃいます。
私も積極的に行うのではなく、患者さんの状況次第で判断しています。
今回は珍しく治療可能なタイプの方でした。
まずは術前から

よく見かける、スーパーボンドで両サイドにくっ付けるだけのなんちゃって接着性ブリッジが入っています。
ただ、これも「①患者さんが見た目に満足しており」「②頻繁に取れること無く」そしてなにより「③プラークコントロールを行いやすければ」全然アリだと思います。
が、今回は ①→患者さん本人が見た目に満足していない。 ②→5年で1回しか取れていない。(素晴らしい!) ③→表層が滑沢ではなく、プラークが付着しやすくなっている。 しかもダミー部分に使用されているのは即時重合レジンと言って、仮歯で使われる素材・・・ これは経年劣化が激しくプラークがどんどん付着しやすくなっていきます。
②に関してはむしろ素晴らしかったのですが、患者さんからやり直しの希望があり、また①③で考えてもやり直した方が良いと思い、今回介入することとなりました。
今回ダイレクトボンディングによる接着性ブリッジを選択した理由としては、 ・幸い上の歯と全く噛まない咬合関係である ・この方は片道2時間以上掛かる所からの通院の為、なるべく治療回数を減らしたい。
という理由から1日で終了できるダイレクトボンディングによる接着性ブリッジで治療を行う事に。
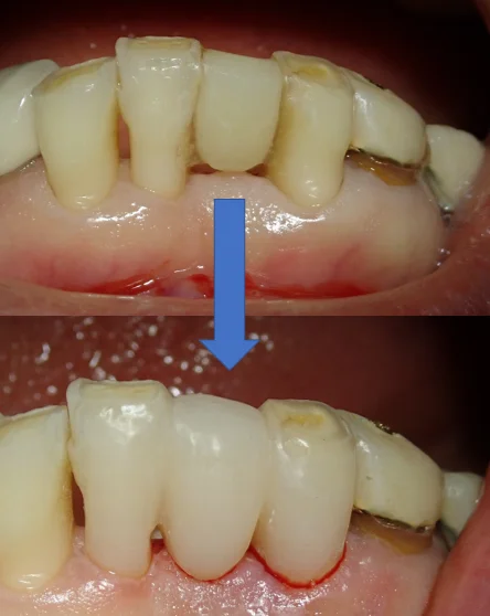
スーパーボンドを外した状態の歯がこちら。

非常に綺麗にブラッシングされているので、除去した時点での出血などはほとんどなし。 歯石が付いていたのでそれを取ったため、若干出血していますが、触らなければ出血は全くしない状況でした。
そして、治療終了後の状態がこちら。

歯間ブラシのSSSがギリギリ入る程度のスペースを鼓形空隙(赤丸の部分)に作成し、元の歯の形をなるべく崩さないようにしました。 また、歯頚部のラインを合わせることで、今までの「明らかに歯がくっついている」という状況は改善できたかと思います。
基底面形態(ダミー部の歯茎と当たっている所)は清掃性と審美性との兼ね合いからリッジラップ形態にしました。 ここに段差が出来るとプラークが繁殖しやすくなってしまいますので、非常に大切な部分なんですが、実はダイレクトボンディングによる接着性ブリッジで一番難しいのもこの部分です。 今回はフロスで通してみても一切の引っ掛かりが無い様につるっつるに仕上げることが出来ましたヽ(゚∀゚)ノ
ちなみに、咬合紙を噛んでで診てもらった所、ダミー部と接着部分には全く当たらない状況となりました。
これなら敢えてそこで噛んだり、何かがぶつかったりしなければ、そうそうは外れません。
術前術後の比較写真がこちらです。

ダイレクトボンディングによる接着性ブリッジはまだまだ開拓途中の分野であまり知られてはいませんが、お口の中の状況等によっては十分に長持ちさせることが出来ます。 歯を0.1mm以下のごく微量しか削らないで済むため、1mm以上大きく削るブリッジに比べて遥かに歯を温存出来ます。 また、もし割れたり、外れてしまったとしても、レジンですので補修修復が出来ます。
ですので、この治療法はどんどん広がってほしいと思うものの1つです。
#ダイレクトボンディング #自費診療