こんにちは。
私の診療を見学したいと希望する歯科医師の方がチラホラと居ますが・・・
うちは大学病院などの教育機関と違い、一般開業医になります。
当然患者さんも見学されるなど想像もしていないで来られている方ばかりなので、基本的に見学はお断りさせて頂いております。
ご自身の知人・友人など気心が知れている方であれば特に問題はありませんので、そういった方の場合にのみ見学は受け付けておりますので、ご了承ください。
またそのうちHPのトップに注意書きとして書かせて頂きますが、ひとまずここに書かせて頂きました。
さて、本日は神経の治療。

よく誤解される方がいらっしゃいますが、
治療というのは行った所は必ずまたダメになります。
それは通常の虫歯の治療であっても、神経の治療であっても同じです。
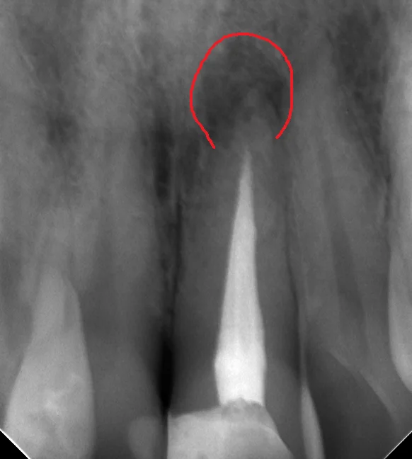
神経の治療がダメになるとどうなるかというと、画像の赤で囲まれている所のように根の先に膿が溜まってきます。
根の先に膿が溜まった状態で長期間放置することで、根管(神経の管)内に限局していた感染源が根管の外に出てしまい、そこで巣を作ることがあります。
そうなると神経の治療でどれだけ根管内を綺麗にしても、原因は根管の外に出ているので治りません。
なので、レントゲン上で膿が認められて、担当医から「治療した方が良い」と言われた場合は早めに治療に入った方が無難です。
また神経の治療後は詰め物なり被せ物に移行することになりますが・・・
そこがまた虫歯になり、それが根管内に侵入してしまうと、また神経の治療が必要になります。
ですので、治療終了後もしっかりと定期検診を受けておいた方が、後々の神経の治療のリスクを減らすことが出来るのでお勧めです。
根管内が綺麗に出来たので、根管充填(最終的なお薬を詰めること)を行ったときのレントゲンがこちらです。

根の先の膿に変化はありません。
治療開始から根管充填まで治療回数は3回、治療期間は1ヵ月半くらいでした。
この膿はうちのレントゲンで確認出来るだけでも、前の院長の時代からありましたので、最低でも4~5年以上前から放置されている状態でした。
当然それだけの年月をかけてゆっくりと骨が溶かされて行っていますので、1ヵ月半程度で直ぐに骨が出来てくるという事はありません。
・・・このタイミングで治癒傾向が見えると私としてはすごいホッとするんですけどね・・・(-_-;)
で、この間、口腔内を見た際に1年経過するところだったので、その経過のレントゲンを撮らせて頂きました。
その写真がこちらです。

まだ骨が治りきってはいませんが、大分骨が出来てきていますね!
治療スタート時→根管充填時→根管充填から1年経過後のレントゲンがこちらです。

分かりやすくするために歯のサイズを大体揃えてみました。
根の先の膿が大分小さくなってきているのが分かるかと思います!
神経の治療後、この方はかなり歯が残っている状態だったので、そのまま保険の白い詰め物で終了しています。
今後もし、白い詰め物が虫歯になったとしても・・・
歯を温存出来ているので、まだ詰め物で大丈夫かもしれません。
歯をなるべく残すというのは30年後など遠い未来を見た時に非常に有利に働きます。
現在定期検診中の方ですので、今後も引き続き定期検診を行い、トラブルが起こらないように注意しながら・・・もし起こったとしても直ぐに治療に介入できるようにしておきたいですね。