こんにちは。
ここ最近肌寒くなってきましたね。
暑がりな私も流石に日常生活で長袖を着る機会が増えてきました。
こういうタイミングで風邪をひきやすくなるので、注意してくださいね。
さて、皆さんのお口の中には欠けた或いはひび割れた詰め物・被せ物ってありませんか?!
また、治療が完了したからと言って定期検診をサボっていたりしませんかね?
このブログでもしつこい位に言っていますが・・・
「一度治したところは自費保険問わず、必ずまた虫歯になります!」
身の回りの「物」で考えて貰えば分かりますが、一生を通して使える物ってまずないですよね。
歯の治療というのは、虫歯等に罹患した体の一部を別の「物」に置き換えています。
特に口の中なんて、熱いもの(お鍋など)を食べると70℃を超えて、アイスを食べるとマイナスまで一気に行きます。
歯科も湿度は唾液があるので、常時100%近く。
こんなに物質を劣化させる環境って地球上には存在していないんです。
そのため、その歯の治療を行った所は必ずまたどこかでダメになってしまうんです。
だからこそ定期検診などを通して、早めにトラブルになりそうなところをトラブルにならないように抑えたり、既に発生してしまっている軽度なトラブルを軽度なうちに解決することが大切なんです。
と、ここまで書いておいてなんですが・・・定期検診もとりあえず行けば良いわけではなく、トラブルを発見してもらえなかったら意味がありません。
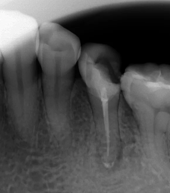
今回の方は非常に長年定期検診を受け続けていた方です。。。

ちょうど真ん中の歯になりますが、歯の後ろ半分に欠けてしまった詰め物が入っています。
そしてそれでいて、根の先に膿が溜まってしまっていますね。(図の赤の部分)
ようやく治療が完了した!と思ってせっせと定期検診を行っていても、ここまで虫歯が進んでしまっては意味がありません・・・。
大体は5~10年も経てばどこかしらでトラブルが起こってきますので、仮に定期検診を行っていたとしてもそれだけの期間何の指摘も無いのであれば、一度別の歯科医院にて診査して頂いたほうが良い様に思います。
一応当院では、1年~2年に一度は全体的なレントゲン診査をして見逃しを最小限にするようにしていますが・・・
保険のルール上、レントゲンを撮影できない方(主に若年者)もいらっしゃいますので、肉眼のみの診査となってしまいます・・・。
そういう場合には私もどれだけ注意して診ていても虫歯を見逃してしまうというケースは出てきてしまいます。
仕方ないんですよね。
保険て「疾病に対する給付」なので、虫歯でもなんでもない健康なケースでは給付されませんので・・・。
さて、それはそうと、
最初はこの歯に違和感がありましたが、2回目の治療の時点で消えてくれましたので、特に問題はないと判断し、そのまま最終的なお薬を詰めました。
なので、神経の治療を2回で終わらせた感じですね。
そして神経の治療を終わった直後のレントゲンがこちらです。

少し根の先から材料の一部が飛び出してしまいましたが、これは最終的な薬を根の管にくっ付ける為の接着剤で、割と早く吸収されるので特に害はありません。
1回目の治療と2回目の治療が3週間くらいしか開いていないので、根の先の膿が入っていた黒い影はまだ全く消えていません。
根の先のこの影は数年単位で膿がじわじわと骨を溶かして起こってくるものですので、神経の治療が終わった途端に骨が出来て、黒い部分が無くなる!という事はあり得ません。
大体治療から半年~1年経過して、ようやく治療が上手くいったかどうかが判断できます。
なので、いつも神経の治療が終わったらスムーズに被せ物に移っていますが・・・実は「上手くいっていますように!!」と祈りながら進めています(笑)
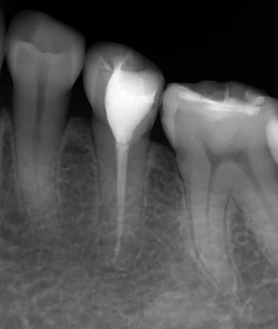
そして神経の治療後1年経過時のレントゲンがこちらです。

根の先に飛び出した薬剤はもちろん、骨にあった黒い影もほとんど消えています。
(あ、ちなみに、この方はそこそこ歯を残せたのでダイレクトボンディングで治療を終了させました。)
そして、術前術後がこちらです。

今回、非常に綺麗に治ってくれましたが・・・
例えば、この後、ダイレクトボンディングの部分が虫歯になってしまい、神経の治療で最終的に詰めた薬にまで感染が及んでしまうと、再度根の先に膿が溜まってくることになります。
今後も定期検診をしっかりと行って、私の方でも注意して診査していきたいと思います。