こんにちは。
明日は敬老の日ですね。
今はコロナでなかなか気軽に実家に帰省できないので、祖母にお祝いのプレゼントを送っています。
末永く元気でいて頂きたいところですね。
さて。
今日は白い詰め物になりますが、正直サイズとしては非常に大きなものになりますので、割れてしまう可能性も十分にあるレベルです。
ただ、歯というものは削ると二度と元に戻すことは出来ないので、可能な限り歯を温存するようにやってみて、無理だったらその時被せ物に切り替えるという流れでやっておいた方が20年30年後に見た時に大きな差になっていることが多々あります。
ではまず術前から

非常に大きく金属の詰め物が詰められているのですが・・・
まず赤丸の部分ですが、マージンライン(金属と歯の境界線)の適合が悪く、ここでも虫歯になっています。
一番の問題は青丸の部分です。
ここは金属の詰め物を入れた際に健康な歯を薄ーく残し過ぎたのか、その部分が割れて中に虫歯が入り込んでいる状態になっていました。
金属の詰め物を入れる際には必ず残っている歯の厚みや噛み合わせの力などから相対的に金属で覆う部分を決めるのですが・・・
今回のこのケースのように噛み合わせの力などを見誤ってしまうと、こんな感じですぐに割れてしまって、また虫歯になってしまいます。
また今回のはそもそもの適合が悪いため、その分更に歯に亀裂が加わるような力が掛かってしまったというのも原因の一つです。

金属を外した写真がこちらです。
ここが色が違っているのがわかると思いますが、ここが大きな虫歯になっています。
そして、虫歯を取りきったのがこちら。

あ、ちなみに、一つ奥の方も虫歯だったので、一緒に治療に入ってます。
基本的にうちで治療する場合は複数本纏めて一気に治療進めていきます。
皆さんも忙しい中来院してくれてますので、なるべく回数が掛からないように効率よく治療を進めるようにしています。
後ろ3/4の部分が歯がない状態になってしまっていました。
金属の詰め物での治療の場合は発見が遅れやすいため、こういう感じでかなり状態が悪くなってから治療に入らざるを得ないことになってしまうことがあります。
そういう点でも白い詰め物の方が有利なことが多いですね。
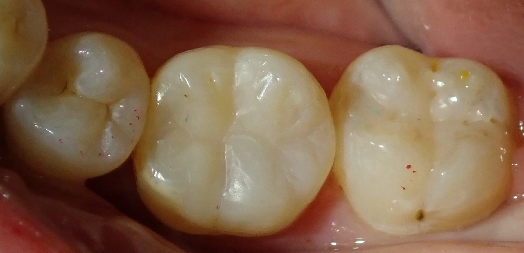
で、最後詰め終わったのがこちら。

ある程度の形の再現は出来たかと思います。
後は結構なサイズだったので、もし短い期間で割れたり欠けたりするようであれば、もうそこは諦めて被せ物に移行するしかないです。
ですが、使えるだけ使って、駄目になったとしても、この治療法であれば歯をほとんど削らないので、ダメージが少ないというのもレジンでの治療の大きなメリットですね。