こんにちは。
最近やたらと県外の方からの問い合わせが多いです。
一番多いのはやはり千葉なんですが・・・
先日は神奈川県から2名・東北地方の方から1名の問い合わせがあり、その予約が入りました。
また歯科医師や歯科衛生士の方の予約の問い合わせも増えてきている状況です。
非常に有難いことではありますが・・・皆さんの中でやたらとハードルが高くなってそうで怖いですね・・・。
私はただの一般開業医なので、そこまで激しく期待はしないでくださいね(;^_^A
さて、本日はダイレクトボンディングについてです。
最近は毎回書いていますが・・・
ダイレクトボンディングのメリットは
・基本的には歯をできる限り多く残すことを目指す治療法である。
・もし一部欠けたりしても、そこだけ治療しなおすことが出来る。
・歯よりも少し柔らかい(反対側の歯が割れたりはしない)
・金属を使用しないため、金属アレルギーは生じない。
です。
逆にデメリットとしては、
・材質的に経年劣化を起こしてくるので、後々磨き残しが溜まりやすくなる
・強度が弱いため、割れたり欠けたりすることがある。
・保険が使えない為、高額(当院では3万円+税です)
材質的なデメリットはもちろんありますが、それを考えてもやった方が良いメリットは、
「被せ物になるのを、少しでも先に伸ばすことが出来る」
という点です。
なにせこのブログでもこれまた何回もお伝えしていますが、
一回治療したところは必ずいつか駄目になります。
駄目になった時に歯が残っていれば、ひょっとするとまたダイレクトボンディングで対処できるかもしれません。
ですが、このタイミングで被せ物に移行してしまっていたら・・・・削ったところは元に戻せませんから、もう被せ物で治すしかなくなってしまいます。
私は良く「歯の治療は回数券だ」と患者さんにお伝えしています。
例えばですが、歯の治療を回数券制だと考えてください。
20枚綴りの回数券で治療の度に、回数券を消費していくとします。
ダイレクトボンディングは1~2枚程度しか消費しない治療法ですが、部分的な金属の詰め物は一気に3~5枚くらい消費するようなイメージで、被せ物についてはは5~10枚消費するようなイメージです。
先生によってはインレーの段階で10枚くらい一気に消費する方もいらっしゃいます。
例えばダイレクトボンディングが1回の治療で5年持ったとして…クラウンと同様の5枚消費するには25年かかります。
逆にクラウンが25年以上持つなら良いのかもしれませんが…そこまで持たせられる!と自信満々に答えられる歯科医師はまずいないでしょう。
というか、居たら不味いです。下手すると詐欺ですからね(;・∀・)
もちろん先生によって手技も技術も違いますし、それに伴い考え方も変わってきます。
先生同様、患者さんももちろん十人十色なわけですから、価値観人によって大きく変わってきます。
そのため患者さんが何を選ぶかは人それぞれですが…
少なくとも私が同じような状態で治療を受ける際には可能な限りはダイレクトボンディングで治療してもらいたいです。
・・・と、同じように考える歯科医療従事者が多いのか、うちに来る歯科医師・歯科衛生士の方は皆さんダイレクトボンディングを希望されて来院されます。
また、治療とは削る量が増えれば増えるだけその難易度も増していきます。それに伴って、持つ期間としても短くなっていってしまいます。
だからこそ小さいサイズの虫歯の時点で、ダイレクトボンディングで治療する意義は非常に大きいんです。
当院は保険医療機関ですので、非常に小さい虫歯の場合は保険適用内の「コンポジットレジン修復」にて治療を行っていますので、もし精度や持ちに拘りがあるのであれば、最初から「ダイレクトボンディングを希望」とお伝えください。
最近は一般の方にも広がってきたのか、初診の時点で「ダイレクトボンディングで出来るところはダイレクトボンディングでお願いします。」と伝えて頂くことが多くあります。
最初から伝えておいていただけると、こちらとしても準備であったりが楽なので、非常に助かりますm(_ _)m
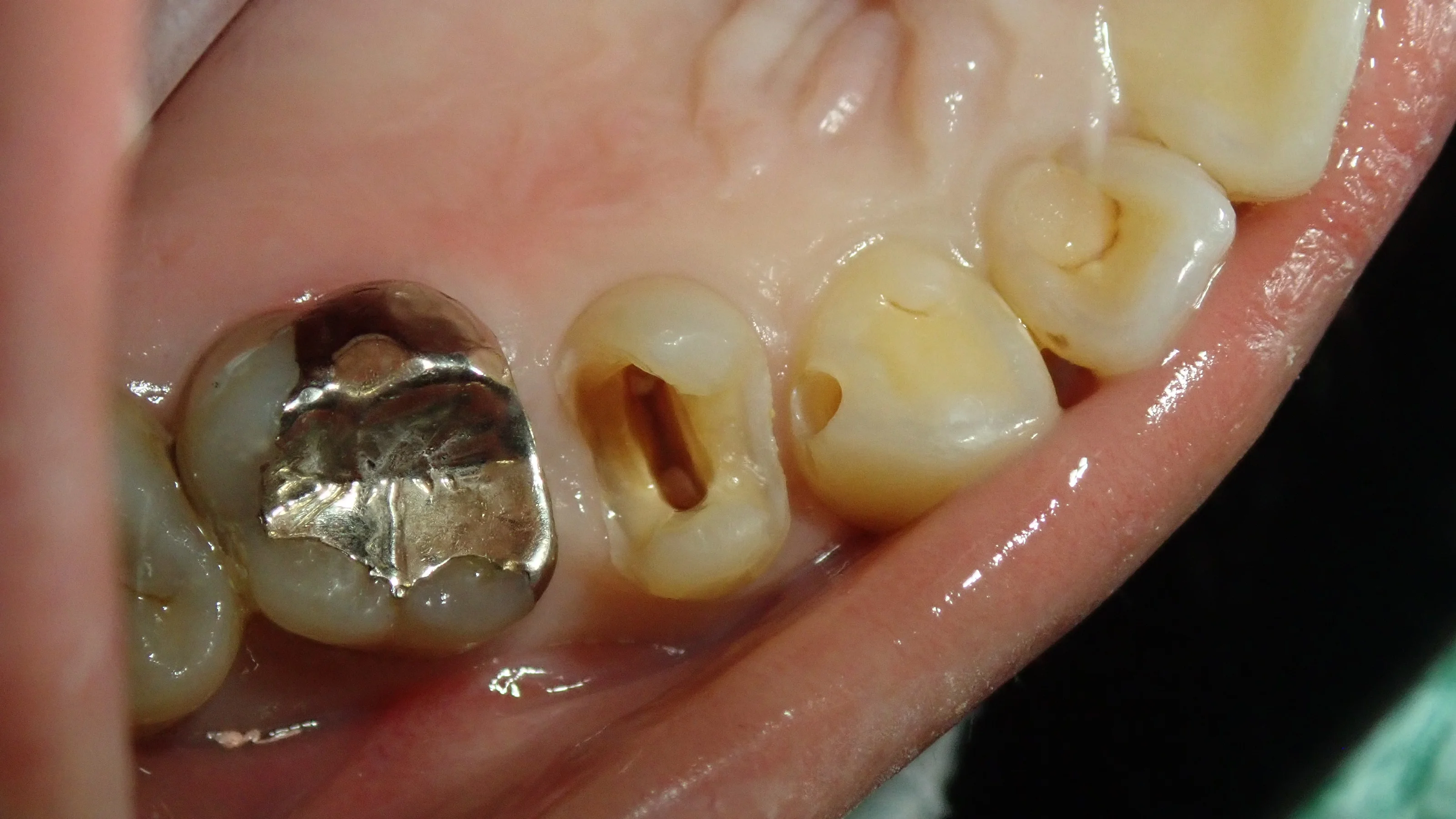
では、症例写真に移ります。

白い詰め物が入っていますが、前後に大きな隙間がある状態で詰められています。
そのせいで、前後の歯に虫歯が出来てしまっている状態でした。
軽く歯を削った状態がこちらです。

じりじりと虫歯が見えてきたのが分かるかと思います。
画面左側の歯は神経の治療後なのですが、レントゲン上では根の先の膿などは確認出来ていませんでした。
ですが、もし虫歯が神経の治療の際に詰められている古い薬にまで到達していた場合は、「まだ膿が溜まっていないだけの状況」と考えられますので、その場合は神経の治療を行う必要があります。
虫歯を取りきったのがこちらです。

最終的な薬には虫歯は到達していなかったので、神経の治療は今回はしないで大丈夫と判断し、詰めていきました。
で、実際に詰め終わったのが、こちらです。

最初にあった隙間が綺麗に埋まっているのが分かるかと思います。
ああいう感じで隙間があると、そこに食べかすが入りやすくなってしまうため、前後の歯との間に虫歯が非常にできやすくなってしまうんですよね。
なので、こんな感じで、歯との間には隙間を作らない方が良いことが多いです。
下手にキツキツにするとそれはそれであまり良くないので、あくまでも、適正な当たり方にする必要がありますけどね。
そのままなるべく長く使って貰えると有難いです!