こんにちは。
もう完全に猛暑ですね。
なるべく外出は控えてエアコンの効いた部屋で生活するようにしたいところですね。
特にうちは小さい子供が3人いますが、輻射熱で大人よりも熱の影響を受けるので外出は可及的に控えたいところではあります。
さて、ここ最近遠方からの初診の方や歯科医療従事者からの問い合わせが非常に増えております。
また初診数増加に伴い、急患対応も多くなってまいりましたので、再度ご案内させていただきます。
【当院での初診の取り扱いについて】
当院は現在、予約の患者さんで2~3週間先まで比較的埋まってきている状況になっております。(土曜日は相変わらず1月先まで埋まっております。)
急患の場合は、可能な限りお待ちいただかないよう予約の患者さんの治療内容等を考慮し、日時を指定させていただいております。
従って、どうしても「この曜日のこの時間で」などの希望される日時が限定的な場合は通常の予約をお願いしております。
皆様お仕事や私生活がお忙しい中、2~3週間お待ちいただいた上で予約を取っていただいております。
無理に初診の方の希望に対応することで予約の患者様の治療に影響を及ぼすことは、当院が目標としている「公平公正な医療の提供」には反してしまうと考えております。
痛みがあるなどの急を要する場合は、通常の予約枠ではないため希望の時間のご案内ができかねることを予めご了承ください。
ただし、歯科医師の方はある程度の診断を自分でも問題なく行えるでしょうし、口腔内写真やレントゲン写真を事前に送っていただけるのであれば、当日に処置を行うことも可能となっております。
そのため歯科医師の方はご予約の際には問い合わせフォームよりお問い合わせていただけると比較的スムーズに進むかも知れません。
さて、本日の症例写真はダイレクトボンディングについてです。
今回は栃木県からいらっしゃってくださっている方です。
かかりつけの歯科医院がおありなので、治療完了後はそちらの医院さんで引き続き定期検診を受けていただくこととなっています。
では、医療法(医療広告ガイドライン)の兼ね合いで毎回書いている内容をまた今回も記載したいと思います。
ダイレクトボンディングのメリットは
・基本的には歯をできる限り多く残すことを目指す治療法である。
・もし一部欠けたりしても、そこだけ治療しなおすことが出来る。
・歯よりも少し柔らかい(反対側の歯が割れたりはしない)。
・金属を使用しないため、金属アレルギーは生じない。
です。
逆にデメリットとしては、
・材質的に経年劣化を起こしてくるので、後々磨き残しが溜まりやすくなる。
・強度が弱いため、割れたり欠けたりすることがある。
・保険が使えない為、高額(当院では4万円+税です)。
材質的なデメリットは非常に大きいのですが、それを考えても患者さんにお勧めできるメリットは、被せ物になるのを、5年でも10年でも先に伸ばすことが出来るという点です。
1回治療したところは必ずいつか駄目になりますが、その時に歯が残っていれば、ひょっとするとまたダイレクトボンディングで対処できるかもしれませんからね。
私は良く「歯の治療は回数券だ」と患者さんにお伝えしています。
20枚綴りの回数券を治療の度に消費していくとします。
ダイレクトボンディングは1~2枚程度しか消費しない治療法ですが、部分的な金属の詰め物は一気に3~5枚くらい消費するようなイメージで、被せ物についてはは5~10枚消費するようなイメージです。
(先生によってはインレーの段階で10枚くらい一気に行くかもしれません・・・。)
例えばダイレクトボンディングが1回の治療で5年持ったとして…クラウンと同様の5枚消費するには25年かかります。
逆にクラウンを25年以上持たせることが出来るのなら良いのかもしれませんが…それが出来る!と自信満々に答えられる歯科医師はまずいないでしょう。
もちろん先生によって考え方は違いますし、価値観も違うため患者さんがどこの医院を選び、何の材料を選ぶかは人それぞれですが…
少なくとも私が同じような状態で治療を受ける際には可能な限りはダイレクトボンディングで治療してもらいたいですね。
で、ダイレクトボンディングでは無理というサイズになってきたら、今度は被せ物(クラウン)に移行するという流れを希望すると思ってます。
また、治療とは削る量が増えれば増えるだけその難易度も増していきます。それに伴って、持つ期間としても短くなっていってしまいます。
だからこそ小さいサイズの虫歯の時点で、ダイレクトボンディングで治療する意義は非常に大きいんです。
当院は保険医療機関ですので、非常に小さい虫歯の場合は保険適用内の「コンポジットレジン修復」にて治療を行っていますので、もし精度や持ちに拘りがあるのであれば、最初から「ダイレクトボンディングを希望」とお伝えください。
先日来院されてから自費診療を希望された方がいらっしゃったのですが、保険と自費の治療ではその予約時間が大きく異なりますので、本数が制限されてしまい、来院回数が増えてしまうことがあります。
ですので、次回予約の際には「自費診療希望である旨を伝えておいていただければ幸いです。」
今のところはこちらからダイレクトボンディングは如何ですか?という聞き方はしていないため、隠しメニューみたいな存在になってますので、希望される方はよろしくお願いいたします。
さて。
では症例写真に移ります。
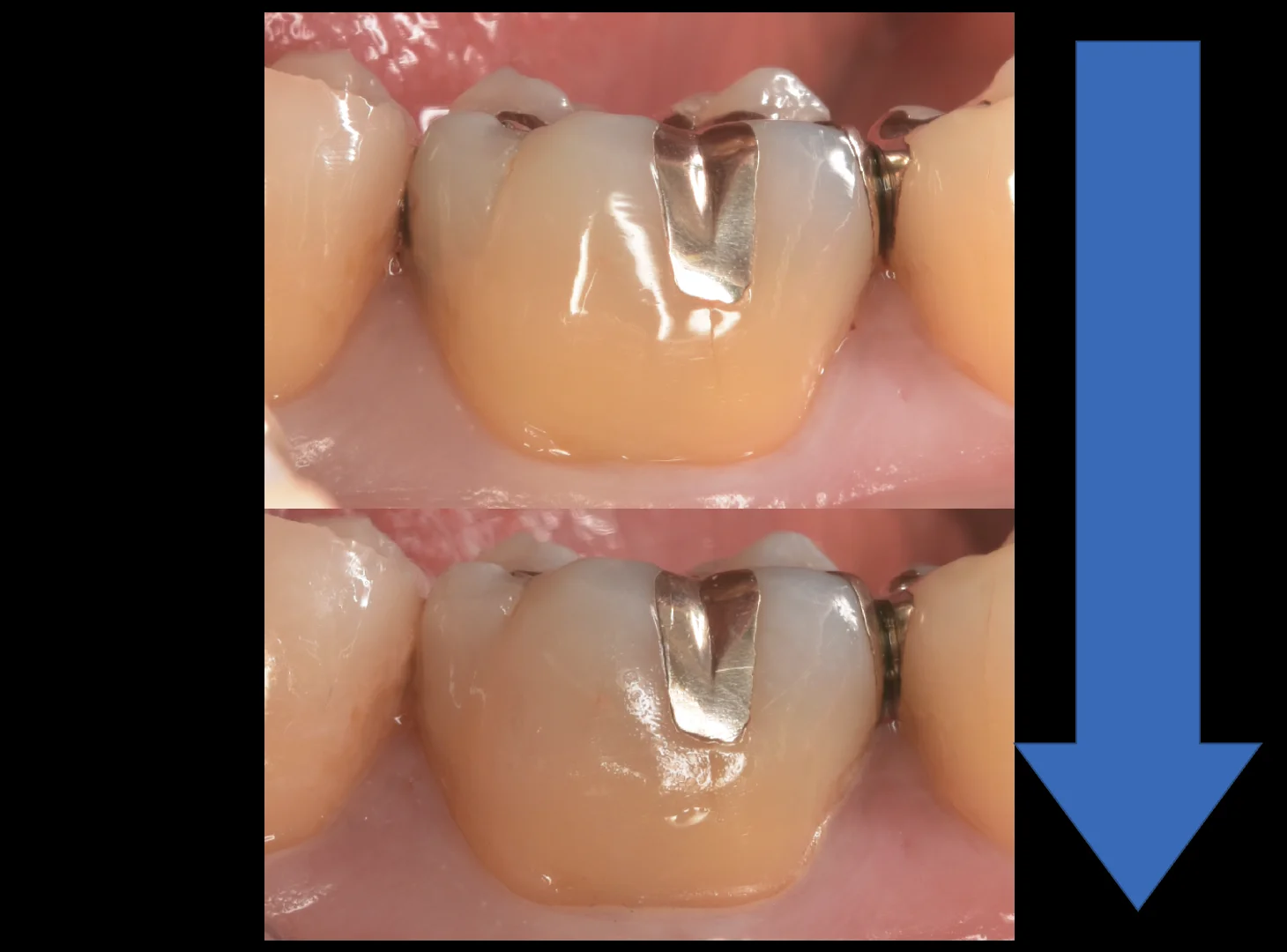
まずは術前からです。

左の歯との間が一部分虫歯になってしまっているって状況です。
元々入っている保険のメタルインレーの適合は非常に良好でした。
見た目の改善が希望というのであれば話は別なのですが、そうじゃないなら無闇矢鱈と歯を削ったりするのは歯の寿命を大きく縮めてしまうことになります。
なにせ上でも書いていますが、治療が一生持つなんてあり得ないわけですからね。
残せるに越したことはありません。
またこのインレー自体が非常に大きかったため、除去することでインレーでの対処ができずにクラウンに発展してしまう可能性が非常に高い状態でした。
少なくとも私が患者さんなら取らずに治療してほしかったため、
初診時に
①インレーごと取って全て綺麗にする(ただし歯を大きく削ることになる。)
②虫歯のところだけ上手いこと取れるかやってみる
という選択肢を提示させていただきました。
その結果、歯の温存を主目的としたいとのことで②の方を希望されました。
ただ金属の詰め物がかなりギリギリまで隣の歯の方まで近づいていたため、虫歯を除去していく中で金属の詰め物が削った面に露出してしまう可能性がありました。
金属とレジンを口の中で接着させるのは至難の業ですので、もし露出した場合は①に移行せざるを得なくなるとの説明もした上で次回治療となりました。
歯を削って虫歯を見やすくしたのがこちらです。

内部が真っ黒になってしまっているのがわかるかともいます。
このまま金属が露出しないよう、虫歯も取り残さないよう、また隣の歯を傷つけないように注意しながら虫歯を除去していきました。
特に、裸眼で治療をしている場合、こう言った隣の歯と関わる部分を削る際には99%多かれ少なかれ隣の歯を削っているというデータもあります。
もし傷つけてしまうとそこからまた新たな虫歯が生じてしまう可能性が高いので、隣の歯を金属で保護しつつ削っていきました。
虫歯を除去し切ったのがこちらになります。

隣の歯を傷つけることなく、綺麗に虫歯を取り除くことができました。
また、歯の再表層のエナメル質も全周温存することができました。
再表層のエナメル質と内部の象牙質では接着力が全然違うので、このエナメル質を全周残せるかどうかで治療の予後も大きく変わってきます。
特に象牙質に関しては歯の接着剤に含まれる成分によって長期的に見た際に接着面が加水分解を起こし、外れてしまいます。
そうなった時にそこからまた虫歯になりやすくなるんですよね。
そういう点でもエナメル質を温存させるというのは非常に重要になってきます。
そして詰め終わったのがこちらになります。

側面とはいえ、歯の形態をある程度模倣しておかなければ食べかすが挟まりやすくなったりしてしまうため、なるべく術前と同じ形態になるように充填しました。
術前術後の比較がこちらになります。

さほどの違和感なく充填できたかと思います(●´ω`●)
かかりつけの歯医者さんで今後もしっかりと管理していただければ長持ちできると思いますから、頑張ってくださいね。
遠方から長時間の治療、お疲れ様でした!
【以下歯科医師向け】
今回の削り方をスロット窩洞といいますが、この術式は咬合面の部分をほとんど削らないで済むため、上手く行えば咬合調整などもほぼ不要に仕上げられるのがメリットです。
また歯質の温存も多くできるのもポイントです。
対してデメリットとしてはそもそもむし歯の除去の難易度が極めて高い部分があります。
器具を適切にアクセスしなければ歯を削る量はさらに増えますし、結果として多くの本来であれば残せたはずの歯質を失うということもあり得ます。
また、詰める時の難しさもあります。
当然マトリックスを入れて充填していきますが、その装着難易度・適合難易度どちらも極めて高いです。
今回のケースでは私はプレカーブの付与されているメタルマトリックスを使用し、歯頸部付近は探針で合わせて充填していきました。
内部にバルク系にてライニング後、マトリックスを挿入してコンタクトを付与してその後残った内部を充填していったという術式ですね。
形態に関してはフロアブルの表面張力を用いて、ほとんどの形態を付与しています。
上記の通り咬合調整は不要になりますので、充填後そのまま研磨するような感じですね。
上手くできるようになるとチェアタイムは大きく短縮できる術式になりますので、個人的にはこのテクニックは習得しておいて損はないかなって思います。