こんにちは。
最近、割と遠方から車や電車で来られる患者さんが増えてきました。
インターネットやHPで調べて来てくださっているようで、じりじりとこのHPの認識が増えてきているようなので良かったです。
さて、本日は、
最近増えてきた前歯のダイレクトボンディングを載せていきたいと思います。
今回は下の歯ですね。
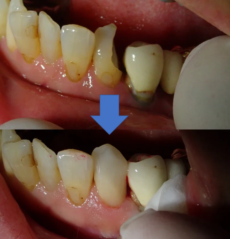
術前取り忘れたので、虫歯を取り除いた状態からのスタートです。

虫歯を取り終わった段階で、見た目上は歯の半分が無い状態です。
表層を残しているので半分残っているように見えていますが、実際は1/4程度しか残っていない状態です。
通常この場合だと治療の選択肢ではクラウンを挙げられることが多いかと思います。
しかし、毎回説明していますが・・・

歯の治療というものは何回でも無制限にやり直せるものではありません。
治療の回数を重ねれば重ねるほど歯をどんどん削っていきますので、治療の難易度は上がり成功率は下がっていきます。
これも毎度書いていますが、
歯の治療とは「回数券」のようなものです。
ダイレクトボンディングは非常に歯を温存出来る治療法ですので、回数券としては1枚程度の消費で済みますが、クラウン形態で治療を行おうとすると一気に3~5枚消費するようなイメージです。
先生によっては一気に10枚なんてことも・・・。
そして治療法はもちろんですが、その材質によっても持ちが変わってきます。
ダイレクトボンディングは確かに非常に優れた治療法であると思いますが、その適用範囲を超えて無理やり治療を行ったとしても1年や2年程度しか使用できなければ、意味がありません。
回数券を1枚無駄に切っただけになります。
なんでもかんでも治療できる万能薬のような治療法は残念ながらありません。
だからこそ適切に使用できる材料を診断しながら1回1回の治療を確実に完了させていくのが大事ということですね。
なので、うちにダイレクトボンディング希望で来院された方で、「これは無理です。」とお話しさせていただくこともあります。
ただ、基本的には前歯はかみ合わせの時に当たらないのが普通ですので、そのように調整すればそこそこ持ちます。
なので、奥歯の治療に比べるとダイレクトボンディングの適応範囲は広いですね。
では症例に戻って・・・
術後の写真です。

可能な限り色を合わせましたが、若干影のようなものが出来てしまいましたね。
それでも、あからさまに目立つような状態ではありませんので、患者さんにも満足して頂けました。
そして、いつもの術前術後です。

長時間の治療、お疲れさまでした!
#自費診療 #ダイレクトボンディング #虫歯の治療