こんにちは。
ある歯科商社さんからご依頼いただいたオンラインセミナーが終了しました。
リアルタイムでの参加者は276名で、オンデマンド配信を含めるとトータル400人超えの方に受講していただいたようです。

拙い講演ではありましたが、質問も100件を超える質問が届き、40分確保していた質疑応答の時間内に回答しきれないという非常に活気あふれるセミナーとなることができました。
募集開始3日目にして予定していた300人を大幅に超える応募があり、急遽枠を増枠することになったのは担当者と共に驚いておりました。
直後に行ったアンケートでは200名の方からお返事をいただき、
満足・やや満足の方が193名
普通の方が5名
やや不満の方が2名
不満0名
ということで、満足度の高いセミナーを行えたようで一同ホッとしております。
今後シリーズ化が決定しましたので、今しばらくお付き合いくださいm(_ _)m
さて、通常のブログの話に戻ります。
ここ最近遠方からの初診の方や歯科医療従事者からの問い合わせが非常に増えております。
また初診数増加に伴い、急患対応も多くなってまいりましたので、再度ご案内させていただきます。
【当院での初診の取り扱いについて】
当院は現在、予約の患者さんで1~2週間先まで比較的埋まってきている状況になっております。(土曜日は相変わらず1月先まで埋まっております。)
急患の場合は、コロナ渦も相まって、可能な限りお待ちいただかないよう予約の患者さんの治療内容等を考慮し、日時を指定させていただいております。
従って、どうしても「この曜日のこの時間で」などの希望される日時が限定的な場合は通常の予約をお願いしております。
皆様お仕事や私生活がお忙しい中、1~2週間お待ちいただいた上で予約を取っていただいております。
無理に初診の方の希望に対応することで予約の患者様の治療に影響を及ぼすことは、当院が目標としている「公平公正な医療の提供」には反してしまうと考えております。
痛みがあるなどの急を要する場合は、通常の予約枠ではないため希望の時間のご案内ができかねることを予めご了承ください。
さて、本日の症例写真はダイレクトボンディングについてです。
今回は車で1.5時間ほどの場所から通院してくれている方です。
では、医療法(医療広告ガイドライン)の兼ね合いで毎回書いている内容をまた今回も記載したいと思います。
ダイレクトボンディングのメリットは
・基本的には歯をできる限り多く残すことを目指す治療法である。
・もし一部欠けたりしても、そこだけ治療しなおすことが出来る。
・歯よりも少し柔らかい(反対側の歯が割れたりはしない)。
・金属を使用しないため、金属アレルギーは生じない。
です。
逆にデメリットとしては、
・材質的に経年劣化を起こしてくるので、後々磨き残しが溜まりやすくなる。
・強度が弱いため、割れたり欠けたりすることがある。
・保険が使えない為、高額(当院では4万円+税です)。
材質的なデメリットは非常に大きいのですが、それを考えても患者さんにお勧めできるメリットは、被せ物になるのを、5年でも10年でも先に伸ばすことが出来るという点です。
1回治療したところは必ずいつか駄目になりますが、その時に歯が残っていれば、ひょっとするとまたダイレクトボンディングで対処できるかもしれませんからね。
私は良く「歯の治療は回数券だ」と患者さんにお伝えしています。
20枚綴りの回数券を治療の度に消費していくとします。
ダイレクトボンディングは1~2枚程度しか消費しない治療法ですが、部分的な金属の詰め物は一気に3~5枚くらい消費するようなイメージで、被せ物についてはは5~10枚消費するようなイメージです。
(先生によってはインレーの段階で10枚くらい一気に行くかもしれません・・・。)
例えばダイレクトボンディングが1回の治療で5年持ったとして…クラウンと同様の5枚消費するには25年かかります。
逆にクラウンを25年以上持たせることが出来るのなら良いのかもしれませんが…それが出来る!と自信満々に答えられる歯科医師はまずいないでしょう。
もちろん先生によって考え方は違いますし、価値観も違うため患者さんがどこの医院を選び、何の材料を選ぶかは人それぞれですが…
少なくとも私が同じような状態で治療を受ける際には可能な限りはダイレクトボンディングで治療してもらいたいですね。
で、ダイレクトボンディングでは無理というサイズになってきたら、今度は被せ物(クラウン)に移行するという流れを希望すると思ってます。
また、治療とは削る量が増えれば増えるだけその難易度も増していきます。それに伴って、持つ期間としても短くなっていってしまいます。
だからこそ小さいサイズの虫歯の時点で、ダイレクトボンディングで治療する意義は非常に大きいんです。
当院は保険医療機関ですので、非常に小さい虫歯の場合は保険適用内の「コンポジットレジン修復」にて治療を行っていますので、もし精度や持ちに拘りがあるのであれば、最初から「ダイレクトボンディングを希望」とお伝えください。
先日来院されてから自費診療を希望された方がいらっしゃったのですが、保険と自費の治療ではその予約時間が大きく異なりますので、本数が制限されてしまい、来院回数が増えてしまうことがあります。
ですので、次回予約の際には「自費診療希望である旨を伝えておいていただければ幸いです。」
さて。
では症例写真に移ります。
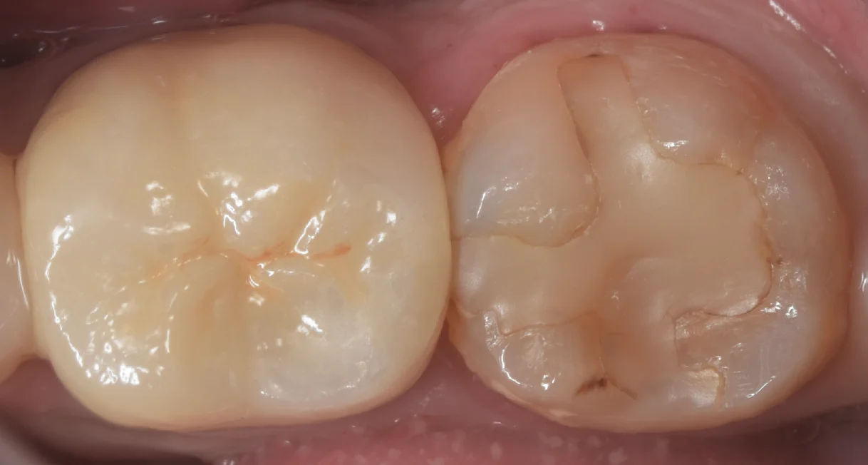
まずは術前からです。

画面右側が今回行う予定の古い白い詰め物です。
これ自体もそこそこ前のものらしいですが、目立った虫歯などはない状態でした。
虫歯ではない歯の治療は「審美目的」となるため保険での給付は行えないため、自費になります。
昨今、金属を白いものにしませんかという文句で保険内で白いものに置き換えようとする歯科医師が居るようですがそれは完全に違法行為であるとお伝えしておきます。
完全に全て違法行為をせずに生きていくのは実際難しいのかもしれませんが、せめて自分の職業に関わる部分については違法行為はしないで真っ当に生きていきたいものです。
特に我々は人の健康を扱っていますからね。
虫歯でもない歯の治療は歯の寿命を縮めるため本来なら避けるべきところです。
コンプレックスがあるなどの精神的な問題があるのであれば致し方なしですが、そうでないなら気軽に歯の寿命を縮めるような動きはしないようにしたいものです。
特に時間に追われて精度の確保が難しくなりがちな保険診療で行うのは歯科医院の経営的なメリット以外メリットがないですからね。
今回は何度かのカウンセリングの元、どうしても見た目が自然じゃなくて気になるとのことでしたので、治療介入と至りました。
古い詰め物を除去し切ったのがこちらになります。

詰め物の精度を確保するためにはどうしても健康な歯の部分を削ることになりますので、術前の状態よりも多少大きく削られている状態になっています。
そして詰め終わったのがこちらになります。

手前の歯と似たデザインで仕上げました。
比較的違和感は少なくできたかなと思います。
治療の術前術後はこちらになります。

遠方より長時間の治療、お疲れ様でしたヽ(゚∀゚)ノ パッ☆