こんにちは。
最近発展の目覚ましすぎるAIの勉強に忙しく全くHPを更新することを忘れていました。
骨折についてですが、ようやく骨もくっつき両足でしっかりと立てるようになりました。
ただ靭帯部分がまだまだ治っていないため、しばらくは歩き方が変になり移動速度も落ちますので、ご迷惑をおかけしますがよろしくお願いいたします。
さて、ここ最近遠方からの初診の方や歯科医療従事者からの問い合わせが非常に増えております。
また初診数増加に伴い、急患対応も多くなってまいりましたので、再度ご案内させていただきます。
【当院での初診の取り扱いについて】
当院は現在、予約の患者さんで2~3週間先まで比較的埋まってきている状況になっております。(土曜の定期管理の予約はすでに年内は終了しました。)
急患の場合は、可能な限りお待ちいただかないよう予約の患者さんの治療内容等を考慮し、日時を指定させていただいております。
従って、どうしても「この曜日のこの時間で」などの希望される日時が限定的な場合は通常の予約をお願いしております。
皆様お仕事や私生活がお忙しい中、2~3週間お待ちいただいた上で予約を取っていただいております。
無理に初診の方の希望に対応することで予約の患者様の治療に影響を及ぼすことは、当院が目標としている「公平公正な医療の提供」には反してしまうと考えております。
痛みがあるなどの急を要する場合は、通常の予約枠ではないため希望の時間のご案内ができかねることを予めご了承ください。
ただし、歯科医師の方はある程度の診断を自分でも問題なく行えるでしょうし、口腔内写真やレントゲン写真を事前に送っていただけるのであれば、当日に処置を行うことも可能となっております。
そのため歯科医師の方はご予約の際には問い合わせフォームよりお問い合わせていただけると比較的スムーズに進むかも知れません。
さて、本日の症例写真はダイレクトボンディングについてです。
今回は都内からお越しの方です。
自費のインレーを入れたが違和感があるとのことでした。
では、医療法(医療広告ガイドライン)の兼ね合いで毎回書いている内容をまた今回も記載したいと思います。
ダイレクトボンディングのメリットは
・基本的には歯をできる限り多く残すことを目指す治療法である。
・もし一部欠けたりしても、そこだけ治療しなおすことが出来る。
・歯よりも少し柔らかい(反対側の歯が割れたりはしない)。
・金属を使用しないため、金属アレルギーは生じない。
・時間を十分に取れるため、接着に必要な処理を全て丁寧に行える。
です。
逆にデメリットとしては、
・材質的に経年劣化を起こしてくるので、後々磨き残しが溜まりやすくなる。
・強度が弱いため、割れたり欠けたりすることがある。
・保険が使えない為、高額(当院では税込5万円です)。
材質的なデメリットは非常に大きいのですが、それを考えても患者さんにお勧めできるメリットは、被せ物になるのを、5年でも10年でも先に伸ばすことが出来るという点です。
1回治療したところは必ずいつか駄目になりますが、その時に歯が残っていれば、ひょっとするとまたダイレクトボンディングで対処できるかもしれませんからね。
私は良く「歯の治療は回数券だ」と患者さんにお伝えしています。
20枚綴りの回数券を治療の度に消費していくとします。
ダイレクトボンディングは1~2枚程度しか消費しない治療法ですが、部分的な金属の詰め物は一気に3~5枚くらい消費するようなイメージで、被せ物についてはは5~10枚消費するようなイメージです。
(先生によってはインレーの段階で10枚くらい一気に行くかもしれません・・・。)
例えばダイレクトボンディングが1回の治療で5年持ったとして…クラウンと同様の5枚消費するには25年かかります。
逆にクラウンを25年以上持たせることが出来るのなら良いのかもしれませんが…それが出来る!と自信満々に答えられる歯科医師はまずいないでしょう。
もちろん先生によって考え方は違いますし、価値観も違うため患者さんがどこの医院を選び、何の材料を選ぶかは人それぞれですが…
少なくとも私が同じような状態で治療を受ける際には可能な限りはダイレクトボンディングで治療してもらいたいですね。
で、ダイレクトボンディングでは無理というサイズになってきたら、今度は被せ物(クラウン)に移行するという流れを希望すると思ってます。
また、治療とは削る量が増えれば増えるだけその難易度も増していきます。それに伴って、持つ期間としても短くなっていってしまいます。
だからこそ小さいサイズの虫歯の時点で、ダイレクトボンディングで治療する意義は非常に大きいんです。
当院は保険医療機関ですので、非常に小さい虫歯の場合は保険適用内の「コンポジットレジン修復」にて治療を行っていますので、もし精度や持ちに拘りがあるのであれば、最初から「ダイレクトボンディングを希望」とお伝えください。
先日来院されてから自費診療を希望された方がいらっしゃったのですが、保険と自費の治療ではその予約時間が大きく異なりますので、本数が制限されてしまい、来院回数が増えてしまうことがあります。
ですので、次回予約の際には「自費診療希望である旨を伝えておいていただければ幸いです。」
今のところはこちらからダイレクトボンディングは如何ですか?という聞き方はしていないため、隠しメニューみたいな存在になってますので、希望される方はよろしくお願いいたします。
さて。
では症例写真に移ります。
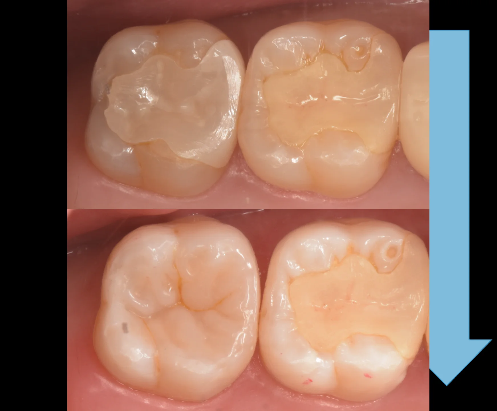
まずは術前からです。

画面一番左の歯を治療していきました。
今回はここに自費のジルコニアインレーが入っています。
ただ実はジルコニアは接着させることが極めて困難な材料でして・・・こう言った詰め物で使うことで歯を割ってしまう危険性があるため、私はあまり好きではない治療法です。
というのも詰め物というのは基本的に楔作用というものが歯に加わります。
簡単にいうと薪割りとかの時に斧を軽く刺したような状態なんですね。
噛み続けると長期的に見た際に歯を破折させるような亀裂が生じ割れてしまう可能性があるため、当院では行なっておりません。
ただ保険のCAD/CAMインレーよりは強度がある分いいかなという感じです。
個人的にはそれらよりも保険適用のコンポジットレジンや自費のダイレクトボンディングの方が30年後の口腔内を考えたときは有利だと思いますけどね。
さて、古い詰め物を除去したのがこちらになります。

結構内部にむし歯が残っていましたね・・・
隣の歯との間のむし歯は、その境目からだったので、接着不良による2次カリエスだと思われますが、後ろ側の方に関しては辺縁からのむし歯ではない以上、おそらくは取り残しが進んでしまったものですね・・・。
ジルコニアインレーを入れてから1年経ってないとのことなので、少し悲しい気持ちになりますね。
虫歯を取り切ったのがこちらになります。

歯茎よりも随分と深い位置までむし歯になっていましたが、そこは流石、ジルコニアが入っていたので歯茎に炎症は生じていないですね。
炎症があると一気に治療の予後が悪くなってしまいますので、こういうところは助かりましたね。
ただ歯がない部分が多いため、治療の難易度は尋常じゃなく高くなりました。
今回は自費ですしラバーダム防湿を行いました。

難易度が非常に高いラバーダムでしたが、最近ようやく慣れてきたのもあって速度、精度ともに上がってきました。
今後も付けられるケースではしっかりと付けていきたいと思います。
続いて歯の処理を行なっていきます。

歯にセレクティブエナメルエッチングをしているところです。
エッチングという操作は接着上非常に重要になるのですが、内部の象牙質についてしまうと接着能力が逆に落ちてしまうため、再表層のエナメル質にのみしっかりとエッチングを行なっていきます。
歯茎よりも下の位置にある歯の部分は全て象牙質になっていますので、エッチング剤がついていないのはそういうことです。
次は左側の歯の後ろの歯との間を詰めていきます。

詰め終わったところです。
歯の側面にバリがありますが、この部分はあとでいくらでも調整できるところなので、全く気にしないでも大丈夫です。
重要なのは歯茎のそばあたりですからね。
バリなどを除去して咬合調整研磨まで終了したのがこちらです。

ラバーダムを付けていた状態で残っていたバリを調整し、軽く咬合調整を行なって研磨したら終了です。
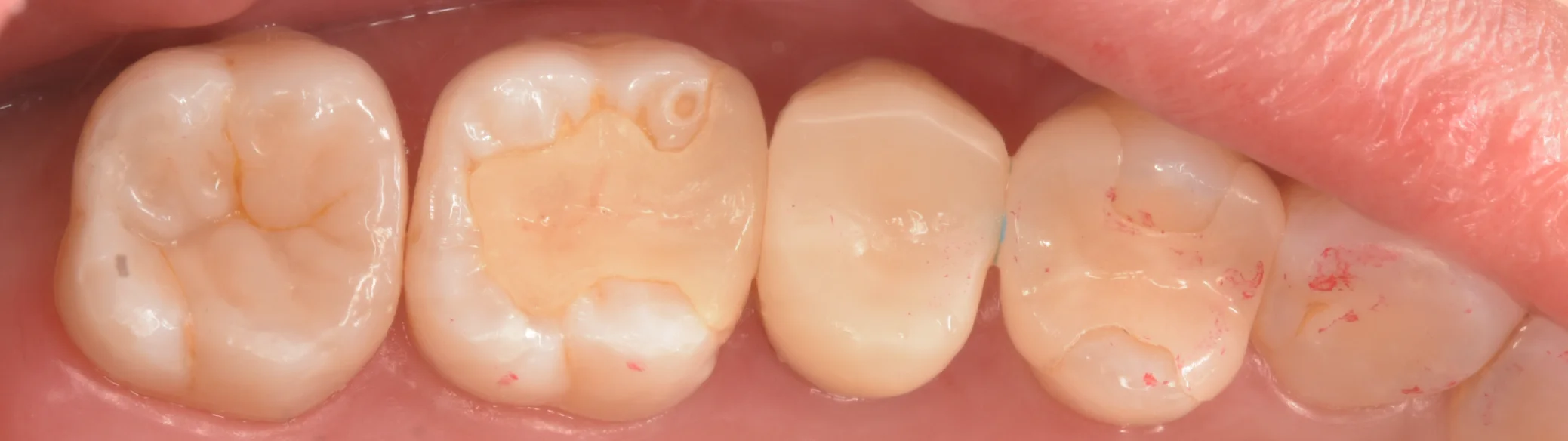
術前術後の写真がこちらです。

ちなみに斜めからみたのがこちらです。

左側に写っているのは鏡に反射した物ですね。
遠方から長時間の治療、お疲れ様でした!
なるべく長く使えるといいですね!
定期検診でしっかりと研磨することでツヤや汚れのつきにくさをキープすることができますので、ぜひしっかりと定期検診をご利用ください。