こんにちは。
お盆だというのに台風が来てしまい、色々な方に影響が出てしまっているようですね。
西日本出身の私からすると、関東圏での雨風は非常に弱く感じますが、慣れていない方々からすると結構強く感じるのでしょうね。
危ないことに変わりはないので、台風が来た時にはなるべく不要な外出しないようにしましょうね。
さて、今日は犬歯のダイレクトボンディングです。
今までのブログでもしつこく書いていますが、
「歯というものは一度無くなってしまうと元に戻すことは出来ません。」
だからこそ、適切なタイミングで治療に入り、適切な治療方法・適切な材料で修復していくことが非常に大切になってきます。
例えば、今回のケースもそうです。

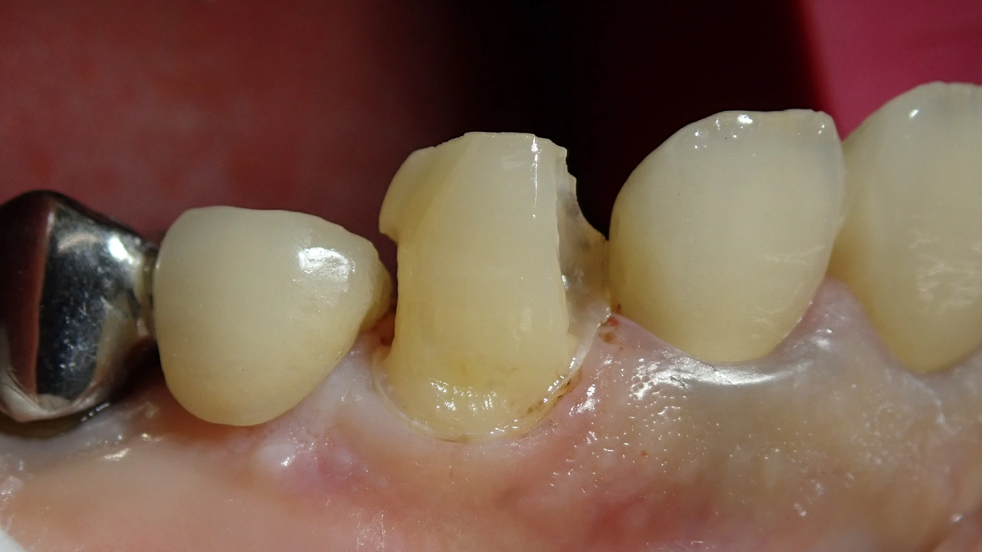
画面中央の歯が、今回処置を行った歯ですが、
既に結構広い範囲で保険適用材料である「コンポジットレジン」にて充填されてあります。
ただ、あからさまに中が黒くなってしまっているのが分かると思います。
裏の方にも薄く広く詰められてしまっていますので、先生によってはクラウンを選択されてしまうケースかと思います。
クラウンとは非常に大きく歯を削って上に被せる治療法ですので・・・
タイミングと材料を誤れば一気に歯の寿命を短くする治療法でもあるのです。
イメージ図になりますが、このくらい一気に削ることになってしまいます。

ですが、今回は強度的にも、サイズ的にもギリギリダイレクトボンディングで治せそうな状態でしたので、患者さんにもリスクを説明した上で、ダイレクトボンディングによる治療を行う事となりました。
で、こちらが虫歯とコンポジットレジンを取りきった状態です。

影の感じで分かるかもしれませんが、前後の歯の間が非常に深い虫歯になってしまっていました。
ただ、幸い歯を上手いこと温存出来ました。
もう少し大事な部分の歯が無くなってしまっていたら、治療方針を変更してクラウンを視野に入れることになりそうでした。

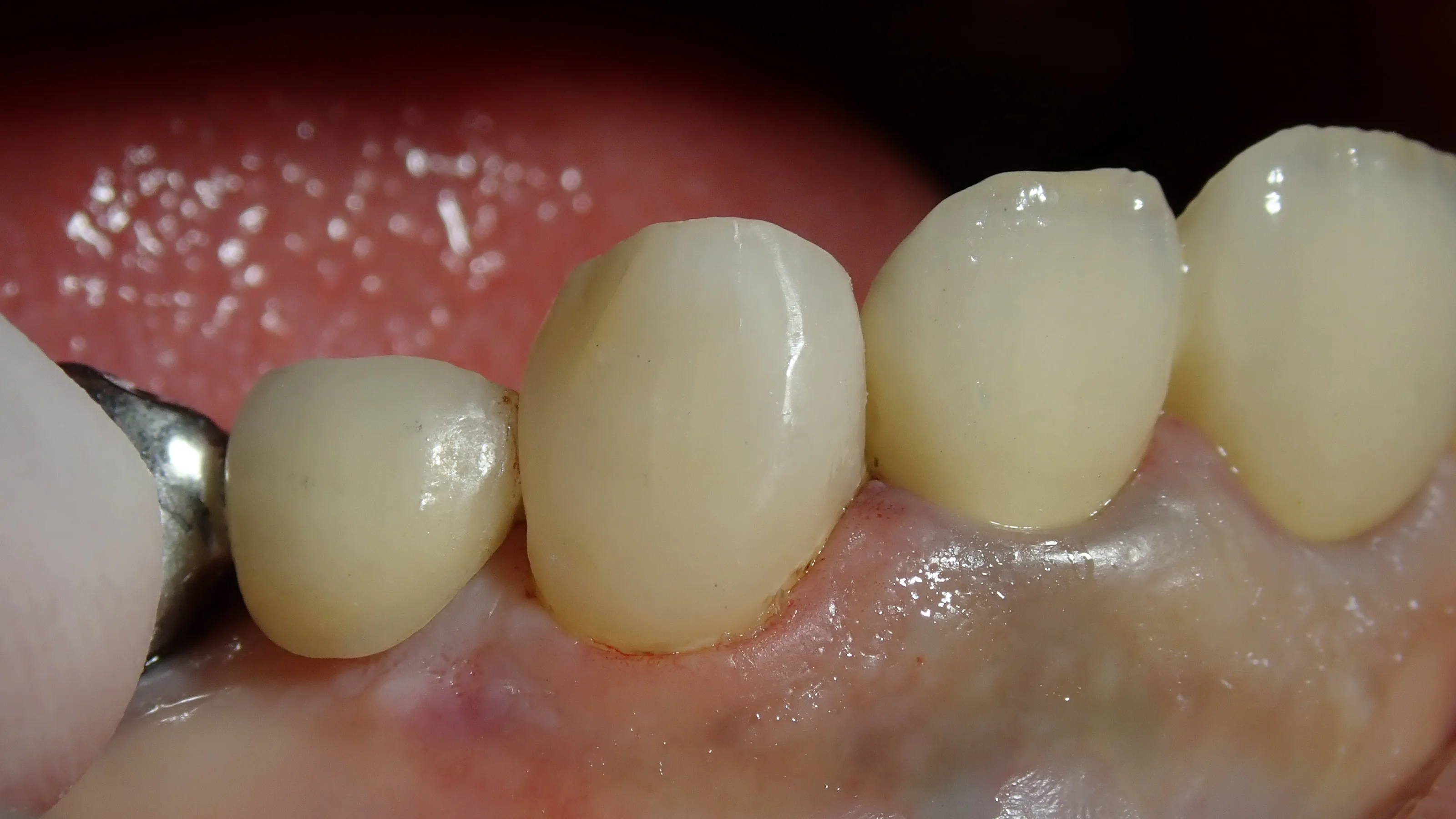
で、詰め終わったのがこちらです。
歯茎よりも深い所に虫歯が入ってしまっていたので、圧排糸と言って歯茎を押しのける糸を入れていたせいで、歯茎の一部が少し赤くなってしまっています。
この部分については2~3日程度で元に戻ってきますので、ご安心ください。
こんな感じで、最低限の歯質削除量で済ませることが出来るダイレクトボンディングは一押しの治療法です。
#虫歯の治療 #ダイレクトボンディング #自費診療