こんにちは。
アイスペシャル4を導入してから色を合わせるのが非常に楽になっており、助かっています。
やはり審美領域(前から4番目までの歯をいう事が多いです。)などは特に気を付けたいですからね。
今回の上の前歯なんかは特に、審美領域ですね。
Set前の写真が残っていなかったので、Set後の写真しかありませんでした(;'∀')
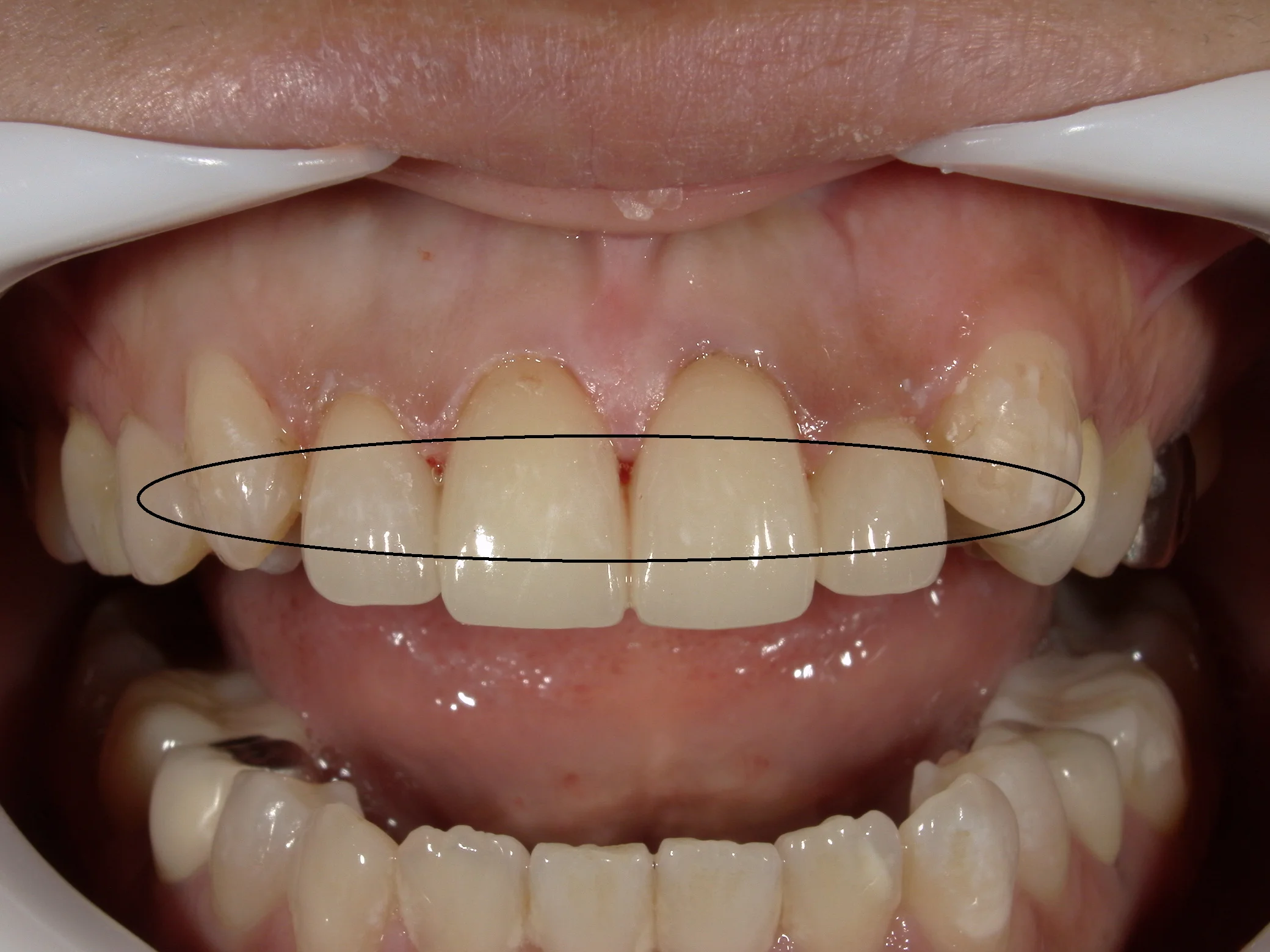
どこがセラミックか分かりますかね??
・・・いや、撮り方で分かりやすいですね(笑)

正解は、上の前歯4本分です。
ちょうど画面中央なので、分かりやすいですね(笑)
個人的に技工士さんに気を付けて!とお願いしたのが・・・

白帯の再現!
(この黒丸の所にうっすらと見えている白い部分です。)
前後の歯に明瞭な白帯が存在しているのに、セラミックの部分だけそれがないとあからさまに違和感が出てしまいます。
ですので、技工士さんに「ここ!ここ気を付けてね!!」ってお願いして作ってもらいました。
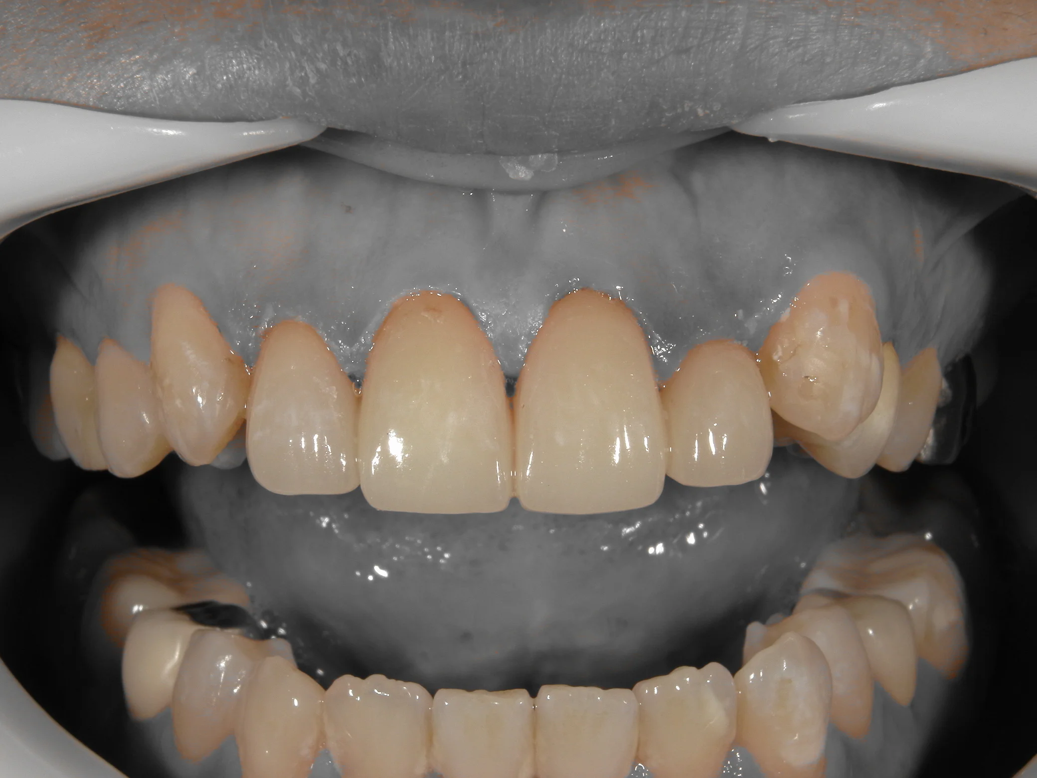
色の比較を行いやすい様にした画像で確認しても・・・

前後の歯とは良い感じに色が合っていると思います(`・ω・´)!
歯並びも元の状態とほぼ変わらず・・・。
仮歯から合わせているとは言え、いつもいい仕事をしてくれます。
本当にありがとうございます。
仮歯もしっかりと適合をあわせて入れており、患者さんも一生懸命磨いてくれたので、歯肉の状態も非常に良好だったため、出血なども全くなく綺麗に入れられて良かったです。
なるべく長持ちしてくれると嬉しいですね!