歯の亀裂で痛みが出たため、被せ物に。

こんにちは。

現在の診療時間で診療するのも残りわずかとなりました。

4月からは診療時間が変わりますので、皆様、ご注意ください。

 

 

さて、ここ最近遠方からの初診の方や歯科医療従事者からの問い合わせが非常に増えております。

また初診数増加に伴い、急患対応も多くなってまいりましたので、再度ご案内させていただきます。

 

【当院での初診の取り扱いについて】

当院は現在、予約の患者さんで2~3週間先まで完全に埋まっている状況になっております。

急患の場合は、コロナ渦も相まって、可能な限りお待ちいただかないよう予約の患者さんの治療内容等を考慮し、日時を指定させていただいております。

従って、どうしても「この曜日のこの時間で」などの希望される日時が限定的な場合は通常の予約をお願いしております。

 

皆様お仕事や私生活がお忙しい中、2~3週間お待ちいただいた上で予約を取っていただいております。

無理に初診の方の希望に対応することで予約の患者様の治療に影響を及ぼすことは、当院が目標としている「公平公正な医療の提供」には反してしまうと考えております。

 

痛みがあるなどの急を要する場合は、通常の予約枠ではないため希望の時間のご案内ができかねることを予めご了承ください。

 

(基本的な初診時の受診の流れはこちらをご覧ください。)

 

 

さて、本日はダイレクトボンディングではなくセラミッククラウンについてです。

では、医療法(医療広告ガイドライン)の兼ね合いで毎回書いている内容をまた今回も記載したいと思います。

 

セラミッククラウンのメリットは

・生体親和性材料の為、アレルギーなどの反応は生じない。

・細菌繁殖しにくい為、虫歯や歯周病になりづらい。

・化学的に安定している為、変形変色などは生じない。

 

です。

 

逆にデメリットとしては、

 

・一部欠けてしまった場合はそこだけの修理などはできず、完全に一度破壊してやり直す必要が出てくる。

・所謂「陶器」の為、衝撃などに弱く、術者の腕や噛み合わせによっては割れたり欠けたりすることがある。

・適正な厚みを確保する必要があるため、それが出来ないケースには使用できない。

・金属の被せ物に比べると歯を削る量が多め。

・保険が使えない為、高額(当院では1本154,000円(税込)です)。

 

といったところです。

 

ダイレクトボンディングのブログの時に毎度書いていますが、私はよく「歯の治療は回数券」と患者さんにお伝えしています。

 

20枚綴りの回数券を治療の度に消費していくとします。

 

ダイレクトボンディングは1~2枚程度しか消費しない治療法ですが、部分的な金属の詰め物は一気に3~5枚くらい消費するようなイメージで、被せ物についてはは5~10枚消費するようなイメージです。

セラミッククラウンは被せ物ですので大体5〜10枚使用するような感じです。

ただしメタルクラウンCAD/CAM冠に比べ、その物性的に非常に予後が良くなりやすい材料でもあります。

そのため、1回1回の治療が長持ちしやすくなり、結果として前述の2つのクラウンよりも歯を残せる確率が上がってきます。

大体何年もつの?と聞かれることがありますが、残念ながら断言しかねます。

神経の治療の有無・噛み合わせや歯並び・TCHなどの習癖など様々な要因によって持ちは変わって来るためです。

 

ただ一般的には10年を超えて生じるトラブルは寿命と考えた方がいいと言われていますので、大体そのくらいを目安に考えてもらった方がいいかもしれませんね。

 

 

では症例写真に移ります。

 

術前の状態からです。

 

 

歯の亀裂で痛みが出たため、被せ物に。|坂寄歯科医院(取手市藤代)

 

術前というより形作りして型取りする直前の状態ですね。

 

基本的にセラミックは全周綺麗に厚みが取れるようにしておかないと噛む力を支えられずにセラミックが割れてしまいます。

そのため、こういう感じで全体的に大きく削る必要が出てきます。

 

今回は金属の詰め物を詰めた歯に亀裂が入ってしまい、その結果噛むと痛むという症状が出てしまっていました。

通常であれば歯の温存を考えるとこういうケースでは金属の方が有利なのですが、下の奥歯で口を開くと普通に見えてしまう場所だったため、セラミックを希望されました。

 

側面からの写真がこちらになります。

 

歯の亀裂で痛みが出たため、被せ物に。|坂寄歯科医院(取手市藤代) - 画像2

 

歯の亀裂部分を覆い隠せばいいだけだったので、審美性よりも歯の温存を優先して歯茎の下まで削り込まないようにしました。

側面にある亀裂に関してはここは問題ないと判断し、除去はしていないです。

 

 

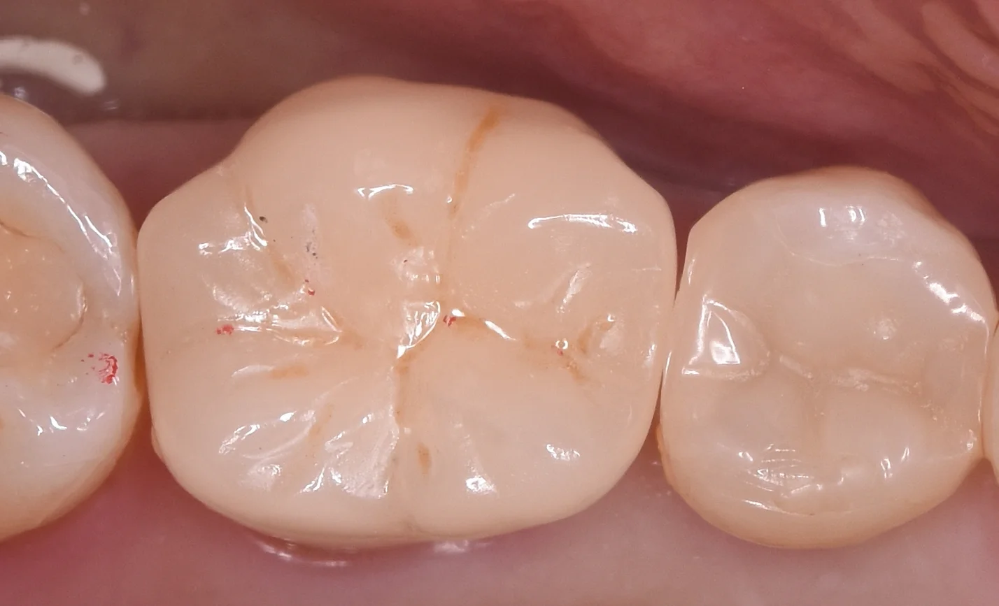
被せ物の調整を終え、Set直前の状態がこちらになります。

 

歯の亀裂で痛みが出たため、被せ物に。|坂寄歯科医院(取手市藤代) - 画像3

 

歯の色は前後の歯と調和しているのがわかるかと思います。

 

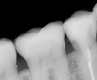
適合を確認するために撮影したレントゲンがこちらになります。

 

歯の亀裂で痛みが出たため、被せ物に。|坂寄歯科医院(取手市藤代) - 画像4

前後の歯に歯石がついているのが気になるところではありますが・・・

適合自体は問題なく、綺麗に隙間なく入っているのがわかるかと思います。 仮歯の時点で噛んだ時の痛みは消えていたので、安心してセラミックに出来ましたね。

いくらセラミックとはいえ、生活習慣が乱れて、歯磨きがしっかりとできていないと虫歯になってしまいますので、しっかりとお手入れして長持ちさせてもらいたいですね!

 

長時間の治療、お疲れ様でしたヽ(゚∀゚)ノ パッ☆

← ブログ一覧に戻る