レジンでは無理ですって!再び・・・。

こんにちは。

 

とうとう関東圏で最後の砦だった茨城県でコロナウィルス感染者が出始めましたね。

元々当院では患者ごとに器具機材は滅菌するなど、一般開業医として必要な感染予防対策は比較的しっかりと行っているつもりです。

ですので、コロナウィルスだからここを変えました!という事はしていないです。

もし仮にうちに通院している方で感染されている方がいらっしゃった場合は2週間ほど医院を休診させて頂きますので、その場合はご協力の程よろしくお願いします。

・・・そんな事態にならないことを祈っていますが・・・(笑)

 

さて、本日は何回か前のブログ(こちらをクリックでリンクが開きます。)では・・・無理矢理レジンで治された結果、残念な経過を辿ってしまった方を紹介しました。

 

今回も同様に、レジンで治療されてしまった結果、またもや残念な経過を辿ってしまった方がいらっしゃいましたので紹介させて頂きます。

 

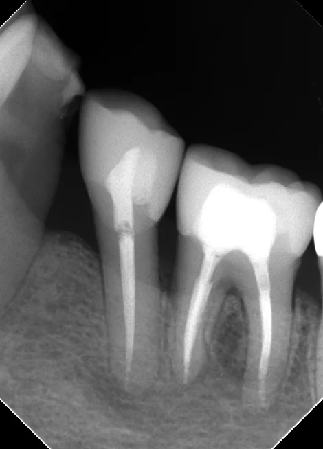
まずは術前のレントゲンです。

レジンでは無理ですって!再び・・・。|坂寄歯科医院(取手市藤代)

どちらも本来クラウン形態で治療すべきところを無理やりレジンにて治療されてしまっています。

青い部分がレジンで治療されたところなのですが・・・・一般の方が見ても、割れてしまって隙間だらけになっているのが分かるかと思います。

 

そしてその結果、本来は細菌が居ないハズの根管(神経の管の事です)内に細菌感染が生じて、根の先に大きく膿が溜まってしまっています。(赤い部分)

 

当然全く合っていない詰め物なので、食べカスは食事の度に歯に挟まり、歯周病も進んでしまっています。

年に2~3回は疲れが溜まった時に歯周病か、根の先の膿が原因かは分かりませんが・・・腫れてしまっているような状況だったそうです。

 

この方は今までの歯科医院では基本的に「1日で治療が終わり・痛みもなく・安く・白くできる」という点でほとんどをレジンにて治療して頂いていたそうです。

最初は上記のメリットからも喜んで治療を受けていたようですが・・・あまりに割れたりを繰り返す為、また治療を繰り返す毎に段々と噛んだ際の痛みが出始めて、更に強まってきたのを感じた為、次第に不安になったきたようです。

 

そんな時に知り合いからうちが神経の治療や自費診療に力を入れているというのを聞いて受診されました。

 

 

早速、前回のブログで書いたようにレジンの適用範囲を伝え、

下手に無理矢理治療を行うと短い期間でやり直さざるを得なくなり、繰り返すことでいつか抜歯せざるを得なくなってしまうという所も説明させて頂きました。

 

で、いつも通り、隔壁を作り・・・1回神経の治療を行った所、どちらの歯も叩いた時の症状が消えた為、神経の治療を完了させました。その際のレントゲンがこちらです。

レジンでは無理ですって!再び・・・。|坂寄歯科医院(取手市藤代) - 画像2

骨が溶かされた部分はこういう感じで黒く見えてくるんですが・・・

基本的に数年単位で骨が溶かされてくるので、骨が出来るのも数年単位になってきます。

 

骨代謝の激しい若年者であれば1月や2月で大きく変わってくることはありますが、通常は半年くらい経過してみないことには本当に治療が上手くいったかどうかは分かりません。

 

今回は治療開始から治療完了までが1ヵ月半という短い期間だったにも関わらず比較的骨が出来てきているのが分かりますね。

 

そしてその後、1年経過時点でメンテナンスで来院された際に再度レントゲンを撮らせて頂きました。

レジンでは無理ですって!再び・・・。|坂寄歯科医院(取手市藤代) - 画像3

ほとんど完全に黒い部分が消えてくれているのが分かるかと思います。

治療終了後はセラミックを希望されたので、通法に則って形作り・型取りを行い、Setしました。

レントゲンを見る限りだと適合は非常に良いですね。

 

術前・術後・術後1年で並べるとこんな感じです。

 

レジンでは無理ですって!再び・・・。|坂寄歯科医院(取手市藤代) - 画像4

その後も痛みなどもなく問題なく過ごすことが出来ているそうで、ホッとしております。

 

 

しかし、無理にレジンで治療することで再治療の間隔が短くなり、結果として一気に歯の寿命が縮まってしまいました。

 

「安物買いの銭失い」と言いますが・・・歯科領域で実際にいつも感じているのは、

「安物買いの健康失い」です。

 

 

仕事をリタイアした世代に行った「人生で後悔しているランキング」では

1位の貯金に次いで、2位が歯科治療となっています。

虫歯の治療とは小さければ小さいだけ、安く、治療の持ちも良くなってきます。

逆に虫歯が大きくなればなるほど、高く、治療の持ちも悪くなっていきます。

 

そのため、小さい虫歯程自費診療で精度を高く治療した方が結果として生涯で掛かる医療費を安く抑えることが出来ます。

 

将来後悔しない為に、若いころ程精度の高い治療を行っておいた方が良いと思います。

 

とはいえ、夏休みの宿題もそうですが・・・「早くやっておいた方が楽なのは分かっているけどなかなかできない」という状況になりやすいのが、治療での材料選択の難しい所かと思います。

 

#自費診療,#保険診療,#セラミック,#根管治療

← ブログ一覧に戻る