こんにちは。
最近涼しくなってきましたね!
私は暑がりなので、非常に幸せです・・・。
これからは過ごしやすくなりそうで嬉しい限りですが、涼しくなっても熱中症って起こりますから引き続き注意してくださいね。
さて、今日は前歯の虫歯の治療についてです。
基本的なことになりますが、治療したところというのは必ずまた虫歯になります。
一生持つ治療なんて存在しないわけです。
なので、こういった感じで、前歯の虫歯の治療をした後に、数年後にまた虫歯になってしまうことはよくあります。
あまり大きくなる前であれば結構サクッと対応も出来ますが・・・
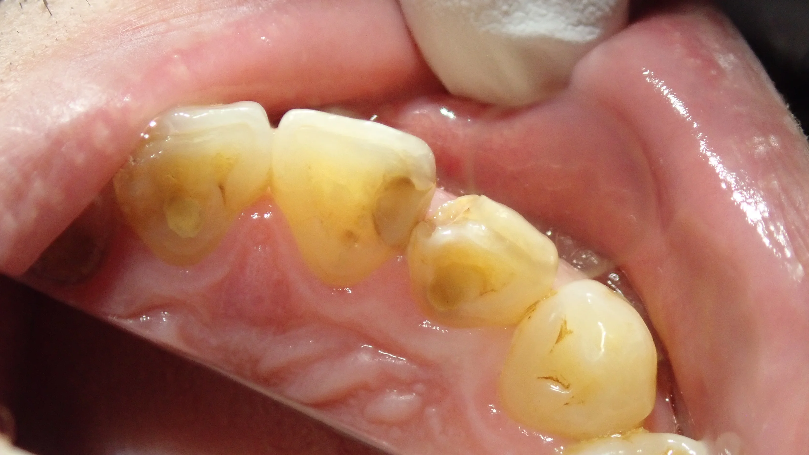
こんな感じで、虫歯が大きくなりすぎて詰めた物が取れたりすると結構大変なことになっていることが多いです。
例えば、この方なんですが・・・

前歯の詰め物が割れたって言って来られたんですが、実際は割れたのではなく、虫歯で外れたって感じでした。
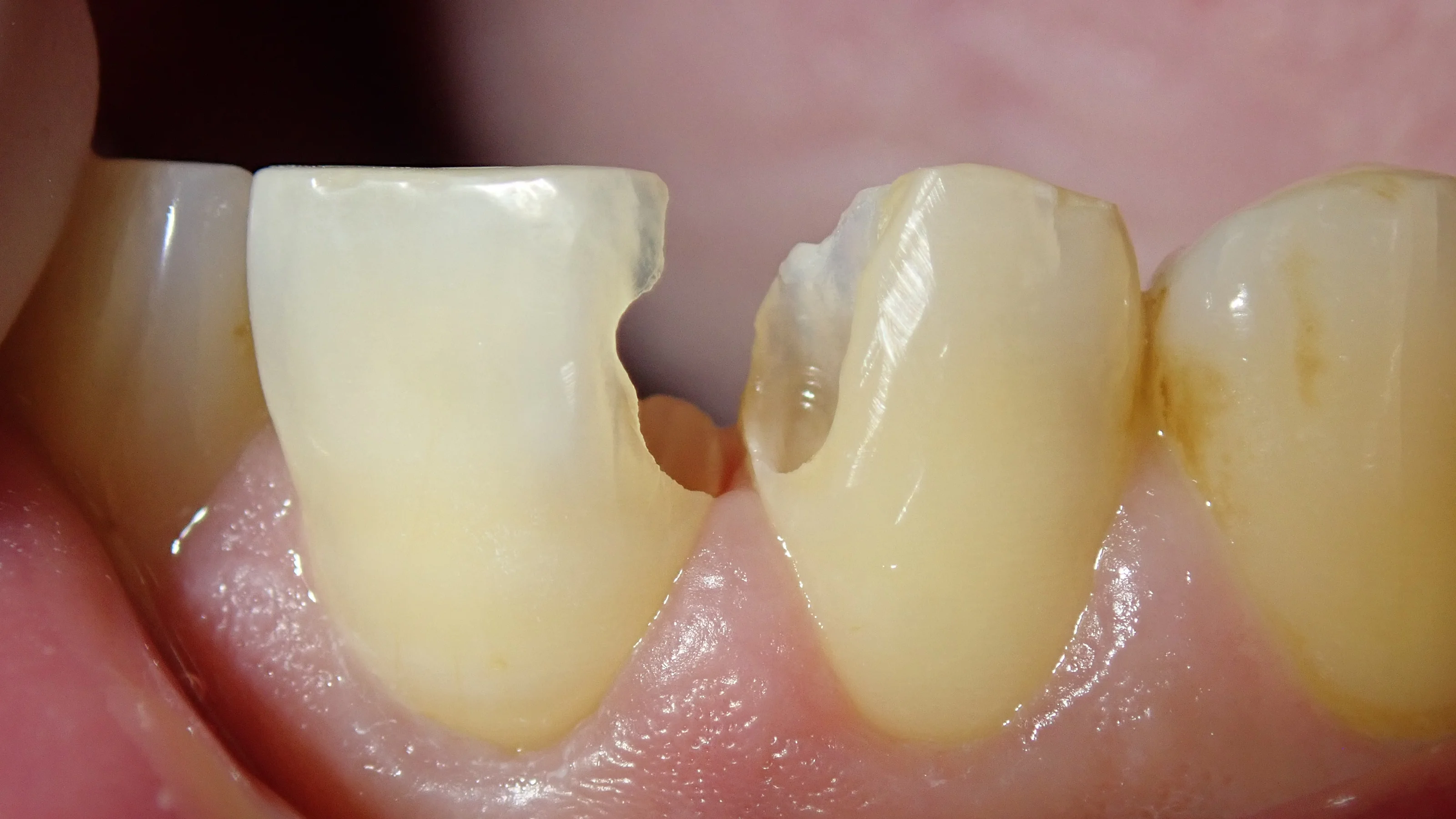
裏側から見た写真がこちらです。

掛けたところの左側にある歯も詰めている部分が黒くなっているのがなんとなくわかるかと思います。
手前側の古い詰め物を除去したのがこちらです。
表から見た写真と

裏から見た写真です

裏から見ると内面がくろーくなってるのが分かりやすいですね。
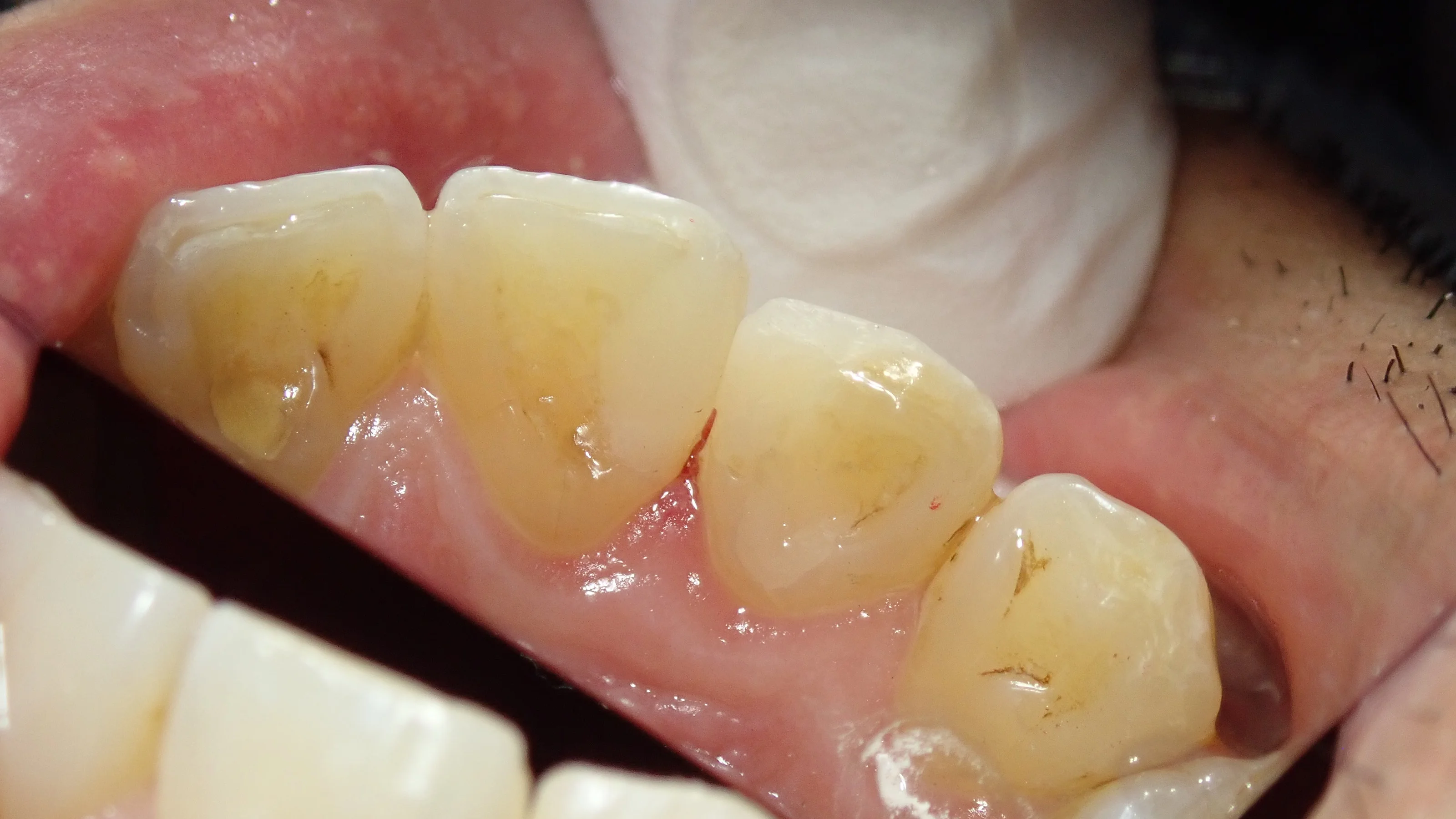
で、虫歯を取りきった時の写真がこちらです。
表面と、

裏面です。

やはり適切な時期に治療に介入できなかったのは痛いですね。
歯の半分くらいは人工物になってしまいます。
ここまで大きくなると、次虫歯の治療を行うときには間違いなく被せ物になってしまいますね。
定期的に口の中を確認し、早いタイミングで治療介入出来ればまだまだいけるかもしれません。
で、詰めた後がこちらです。
表面と、

裏面です。

裏は特に目立つわけでもないので、見た目よりも強度を意識しました。
この治療法は一日で終わりますし、歯を削る量は最小限にすることが出来ますが・・・
脆く掛けやすく、後々着色が起こってくることも結構あります。
なので、しっかりと歯磨きを出来る方で食生活も規則正しい方だとかなり持ちますが、逆にそこら辺がしっかりと出来ていない方であればむしろ悪くなりやすい材料でもあります。
だからこそ「使い方」が大事になってくるんですよね。