左下奥の白い詰め物

こんにちは。

 

ここ最近、「ブログを見ました」という初診の方が非常に増えてきています。

つくば・稲敷・牛久などのうちから30分~60分圏内の方が多いですね。

千葉県の印西や佐倉からいらっしゃる方もチラホラと増えてきました。

 

それに伴い、最初のカウンセリングの時点で

「可能ならダイレクトボンディングでお願いします。」

と仰られる方も増えてきました。

 

この辺の地域にはあまりダイレクトボンディングという治療方法は流行っていなかったのか知らない人が非常に多かったのですが、最近は結構認識されている人が増えてきているようで良かったです。

 

 

さて、今回載せる方も同じくHPを見てダイレクトボンディングを希望された方です。

まずは術前から。

左下奥の白い詰め物|坂寄歯科医院(取手市藤代)

元々は金属の詰め物が詰まっていたとのことでした。

外れた下が黒くなっていて、大きな虫歯があるのが分かりますね。

 

こちらの記事でも書きましたが、金属の詰め物(メタルインレー)を詰めるときには多くの場合スライスカットを入れられてしまう事があります。

 

あまりにひどい量のスライスカットを入れられてしまうと、ダイレクトボンディングを行ったとしても、その部分が雪崩を起こすように割れてしまう事があります。

 

なので、メタルインレーの後の治療でダイレクトボンディングを行う時には結構注意すべき点が多いです。

 

 

ちなみに、虫歯を取りきった後の写真がこちらです。

左下奥の白い詰め物|坂寄歯科医院(取手市藤代) - 画像2

 

結構神経ギリギリになりました。

歯に色がついている所が残っていますが、ここは十分な硬さもあり、虫歯に汚染されている部分ではありません。

このまま詰めてしまっても全く問題はありません。

というより、ここまで取りきると神経が出てしまいかねないので、むしろここは取るとマズイ所ですね。

 

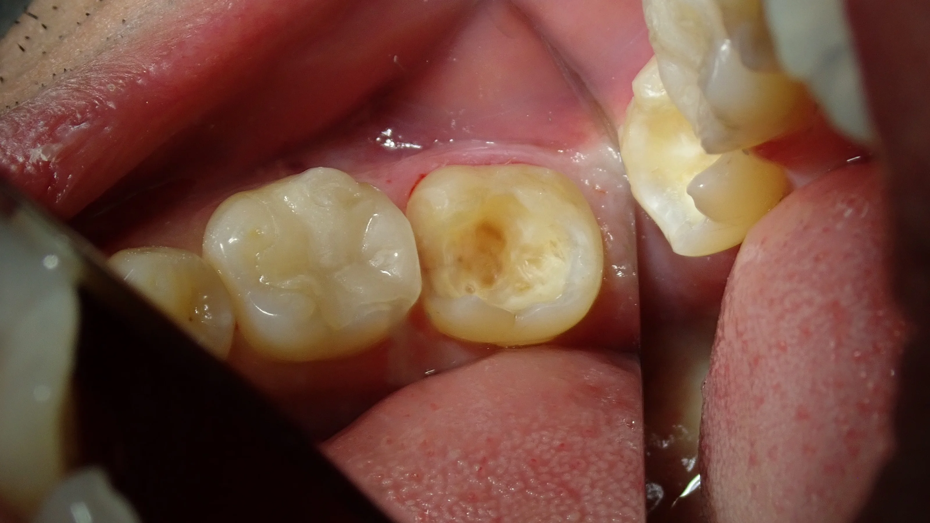
そして、詰め終わったのがこちらです。

左下奥の白い詰め物|坂寄歯科医院(取手市藤代) - 画像3

咬合面が全く形態が残っていなかった割りには良い感じに出来たのではないでしょうか!?

 

患者さんには喜んでいただけたので、良かったです!

 

 

ダイレクトボンディングは、強度的には金属やセラミックには及びませんが・・・

「歯を可能な限り多く残せる」という点と、

「もし欠けたりしてもまたダイレクトボンディングを取りきったりすることなく補修修復が出来る」という点で非常にメリットが大きい治療です。

 

ただし、技工士さんが介在しないため、歯科医師のセンスや技術によって持ちが変ってしまうセンシティブな治療でもあります。

 

ダイレクトボンディングを希望する場合は事前に症例写真などでその先生の技術力を確認しておいた方が良いですね。

 

#ダイレクトボンディング,#自費診療,#虫歯の治療

← ブログ一覧に戻る