こんにちは。
ここ最近予約が非常に埋まってきており、曜日によっては次回予約が10月になってしまうという状況になってきてしまいました。
その為、前々から考えておりましたが、初診の制限を行わせていただきたいと思います。
ひとまずは日曜・祝日・また平日であっても夜の時間帯のみ通院可能の方の初診受付を停止させていただきますのでご了承ください。
またその旨を近々HPTOPにも書かせていただきますね。
さて、ここ最近遠方からの初診の方や歯科医療従事者からの問い合わせが非常に増えております。初診数増加に伴い、急患対応も多くなってまいりましたので、再度ご案内させていただきます。
【当院での初診の取り扱いについて】
当院は現在、予約の患者さんで2~3週間先まで完全に埋まっている状況になっております。
急患の場合は、コロナ渦も相まって、可能な限りお待ちいただかないよう予約の患者さんの治療内容等を考慮し、日時を指定させていただいております。
従って、どうしても「この曜日のこの時間で」などの希望される日時が限定的な場合は通常の予約をお願いしております。
皆様お仕事や私生活がお忙しい中、2~3週間お待ちいただいた上で予約を取っていただいております。
無理に初診の方の希望に対応することで予約の患者様の治療に影響を及ぼすことは、当院が目標としている「公平公正な医療の提供」には反してしまうと考えております。
痛みがあるなどの急を要する場合は、通常の予約枠ではないため希望の時間のご案内ができかねることを予めご了承ください。
さて、本日の症例写真はダイレクトボンディングについてです。
今回は他県からお越しの歯科医師の方の治療です。
歯科医師の方の治療は説明も割と専門用語を使って説明できるのでそういう点では非常に楽ですね(○´ω`○)ホクホク
じゃ、医療法(医療広告ガイドライン)の兼ね合いで毎回書いている内容をまた今回も記載したいと思います。
ダイレクトボンディングのメリットは
・基本的には歯をできる限り多く残すことを目指す治療法である。
・もし一部欠けたりしても、そこだけ治療しなおすことが出来る。
・歯よりも少し柔らかい(反対側の歯が割れたりはしない)
・金属を使用しないため、金属アレルギーは生じない。
です。
逆にデメリットとしては、
・材質的に経年劣化を起こしてくるので、後々磨き残しが溜まりやすくなる
・強度が弱いため、割れたり欠けたりすることがある。
・保険が使えない為、高額(当院では4万円+税です)
材質的なデメリットは非常に大きいのですが、それを考えても患者さんにお勧めできるメリットは、被せ物になるのを、5年でも10年でも先に伸ばすことが出来るという点です。
1回治療したところは必ずいつか駄目になりますが、その時に歯が残っていれば、ひょっとするとまたダイレクトボンディングで対処できるかもしれませんからね。
私は良く「歯の治療は回数券だ」と患者さんにお伝えしています。
20枚綴りの回数券を治療の度に消費していくとします。
ダイレクトボンディングは1~2枚程度しか消費しない治療法ですが、部分的な金属の詰め物は一気に3~5枚くらい消費するようなイメージで、被せ物についてはは5~10枚消費するようなイメージです。
(先生によってはインレーの段階で10枚くらい一気に行くかもしれません・・・。)
例えばダイレクトボンディングが1回の治療で5年持ったとして…クラウンと同様の5枚消費するには25年かかります。
逆にクラウンを25年以上持たせることが出来るのなら良いのかもしれませんが…それが出来る!と自信満々に答えられる歯科医師はまずいないでしょう。
もちろん先生によって考え方は違いますし、価値観も違うため患者さんがどこの医院を選び、何の材料を選ぶかは人それぞれですが…
少なくとも私が同じような状態で治療を受ける際には可能な限りはダイレクトボンディングで治療してもらいたいですね。
で、ダイレクトボンディングでは無理というサイズになってきたら、今度は被せ物(クラウン)に移行するという流れを希望すると思ってます。
また、治療とは削る量が増えれば増えるだけその難易度も増していきます。それに伴って、持つ期間としても短くなっていってしまいます。
だからこそ小さいサイズの虫歯の時点で、ダイレクトボンディングで治療する意義は非常に大きいんです。
当院は保険医療機関ですので、非常に小さい虫歯の場合は保険適用内の「コンポジットレジン修復」にて治療を行っていますので、もし精度や持ちに拘りがあるのであれば、最初から「ダイレクトボンディングを希望」とお伝えください。
先日もお1人、次回保険の詰め物ね~って言って予約を取ってもらうときに「自費のでお願いします。」と言われました。
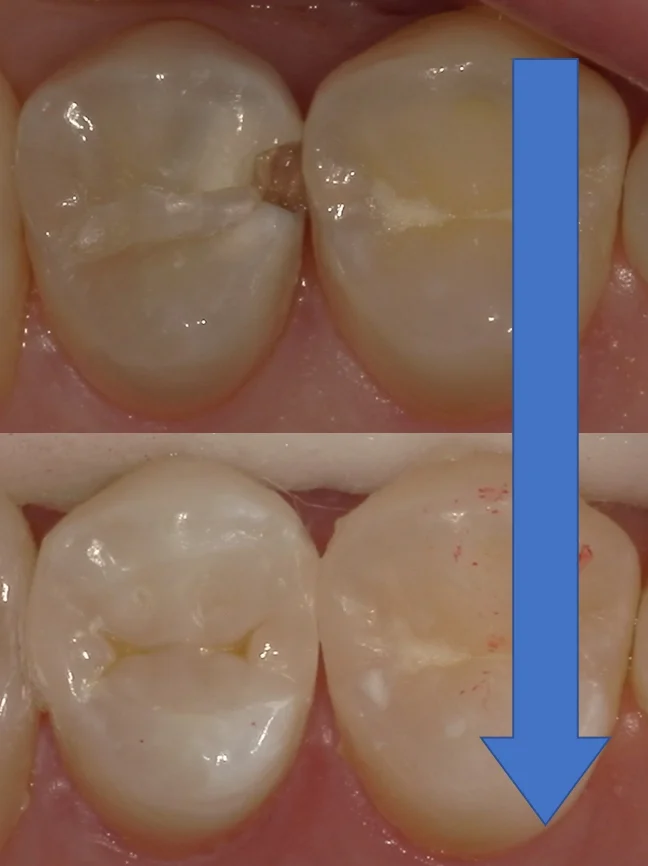
では術前の写真からです。

既に大きな穴が開いているのが分かるかと思います。
この写真の段階で、多くの歯科医療従事者の方は神経の治療を考えるレベルの虫歯です。
ご本人は痛みや沁みなどの症状は一切なかったんですが、実は虫歯って基本的に痛みを感じません。
虫歯で痛みを感じない理由はこちらに書いてありますので、ご覧ください。
歯科医師の方というのは、術者の技量が写真などで分かってしまうため、受診先に悩むことが非常にたくさんあります。
その結果、実は一般の患者さんよりも虫歯が大きく進んでしまってからの来院になってしまうケースが多々あります・・・。
これをご覧になっている歯科医師の方も恐らくは数年以上歯科をちゃんと受診していない人が多いと思いますから・・・まぁ実際に治療するのはしっかりと吟味してもらうとして、とりあえずなるべく早めに口腔内を診査してもらうだけしてもらいましょう(笑)
そして虫歯を見えやすくしたのがこちらです。

内面が黒い部分と白い部分に分かれていますが、これは虫歯の種類が違うためです。
黒い部分が慢性う蝕といって、非常にゆっくりと横に広がるような形で進む虫歯です。
大して白い部分は急性う蝕といって、急速に狭く深く進行していく虫歯になります。
そして急性う蝕の場合は基本的に白く透けて見えないため、発見が遅れがちになってしまうのが怖い所ですね。
そういう点でも定期的なレントゲン診査というのは必須になってくると思います。
そして虫歯を取りきったのがこちらです。

ごっそりと歯が亡くなったのが分かるかと思いますが・・・
実は歯の表面のエナメル質の部分だけが残っている状態(遊離エナメルといいます)になります。
こういう状態の時にダイレクトボンディングでの治療という選択肢が無ければ、元気な神経を抜いて、被せ物を入れるという手法を取るしかなくなってしまいます。
あくまでも先生の考え方に左右されるのですが、なるべく神経を抜きたくないのであれば、こういった手法を行うことが出来る先生を選んでおいた方が良いこともあります。
(注:必ずしも神経を残すのが最善にはならないことも多々あります。)
ここら辺については後日解説させていただきますね。
本当は今日書こうかと思ったんですが、ちょろっと気軽に書けるってレベルではなかったので、ちゃんとブログに別で記載します。
そして、詰め終わったのがこちらになります。

エナメル質が乾燥しており、白くなっているため、随分と色が合っていないように見えるかと思いますが、エナメル質に水分が戻り本来の色に戻るとこの違和感は綺麗に消えていきます。
術前術後の写真がこちらですね。

歯のカーブも、適合も問題なく行けたと思います。
術後の疼痛も無いようでホッとしました。
今後もし痛みなどが出てしまったら神経を抜くしかないですので、大事に使っていただきたいですねヽ(゚∀゚)ノ パッ☆