こんにちは。
前回も書きましたが、ここ最近遠方からの初診の方や歯科医療従事者からの問い合わせが非常に増えております。
初診数増加に伴い、急患対応も多くなってまいりましたので、再度ご案内させていただきます。
【当院での初診の取り扱いについて】
当院は現在、予約の患者さんで2~3週間先まで完全に埋まっている状況になっております。
急患の場合は、コロナ渦も相まって、可能な限りお待ちいただかないよう予約の患者さんの治療内容等を考慮し、日時を指定させていただいております。
従って、どうしても「この曜日のこの時間で」などの希望される日時が限定的な場合は通常の予約をお願いしております。
皆様お仕事や私生活がお忙しい中、2~3週間お待ちいただいた上で予約を取っていただいております。
無理に初診の方の希望に対応することで予約の患者様の治療に影響を及ぼすことは、当院が目標としている「公平公正な医療の提供」には反してしまうと考えております。
痛みがあるなどの急を要する場合は、通常の予約枠ではないため希望の時間のご案内ができかねることを予めご了承ください。
さて、では本日の症例写真は前回・前々回と続き、全体的なダイレクトボンディングについてです。
上下左右に分かれて複数本をダイレクトボンディングでの治療を希望されて2つほど隣の県から来院された方です。
じゃ、医療法の兼ね合いで毎回書いている内容をまた今回も記載したいと思います。
ダイレクトボンディングのメリットは
・基本的には歯をできる限り多く残すことを目指す治療法である。
・もし一部欠けたりしても、そこだけ治療しなおすことが出来る。
・歯よりも少し柔らかい(反対側の歯が割れたりはしない)
・金属を使用しないため、金属アレルギーは生じない。
です。
逆にデメリットとしては、
・材質的に経年劣化を起こしてくるので、後々磨き残しが溜まりやすくなる
・強度が弱いため、割れたり欠けたりすることがある。
・保険が使えない為、高額(当院では3万円+税です)
材質的なデメリットは非常に大きいんですが、それを考えても患者さんにお勧めできるメリットは、被せ物になるのを、5年でも10年でも先に伸ばすことが出来るという点です。
一回治療したところは必ずいつか駄目になりますが、その時に歯が残っていれば、ひょっとするとまたダイレクトボンディングで対処できるかもしれませんからね。
私は良く「歯の治療は回数券だ」と患者さんにお伝えしています。
20枚綴りの回数券を治療の度に消費していくとします。
ダイレクトボンディングは1~2枚程度しか消費しない治療法ですが、部分的な金属の詰め物は一気に3~5枚くらい消費するようなイメージで、被せ物についてはは5~10枚消費するようなイメージです。
(先生によってはインレーの段階で10枚くらい一気に行くかもしれません・・・。)
例えばダイレクトボンディングが1回の治療で5年持ったとして…クラウンと同様の5枚消費するには25年かかります。
逆にクラウンを25年以上持たせることが出来るのなら良いのかもしれませんが…それが出来る!と自信満々に答えられる歯科医師はまずいないでしょう。
もちろん先生によって考え方は違いますし、価値観も違うため患者さんがどこの医院を選び、何の材料を選ぶかは人それぞれですが…
少なくとも私が同じような状態で治療を受ける際には可能な限りはダイレクトボンディングで治療してもらいたいですね。
で、ダイレクトボンディングでは無理というサイズになってきたら、今度は被せ物(クラウン)に移行するという流れを希望すると思ってます。
また、治療とは削る量が増えれば増えるだけその難易度も増していきます。それに伴って、持つ期間としても短くなっていってしまいます。
だからこそ小さいサイズの虫歯の時点で、ダイレクトボンディングで治療する意義は非常に大きいんです。
当院は保険医療機関ですので、非常に小さい虫歯の場合は保険適用内の「コンポジットレジン修復」にて治療を行っていますので、もし精度や持ちに拘りがあるのであれば、最初から「ダイレクトボンディングを希望」とお伝えください。
さて、では写真の方に移らせていただきます。
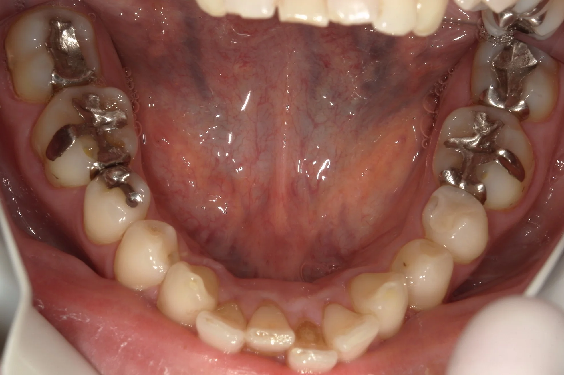
まずは術前ですね。

こちらの金属が入っている3本が治療予定の歯です。
右の2本については金属の下のみならず、根本の歯茎辺りにも虫歯があり、非常に広範囲となっています。
また、真ん中の金属については、金属の周りが咬耗と言って、歯が多く削れている状態になっています。
少量であれば削ったりする必要はないのですが、これほど深く削れている場合は、治療する際に邪魔してくることが多いので、今回は一緒に治療することとしました。
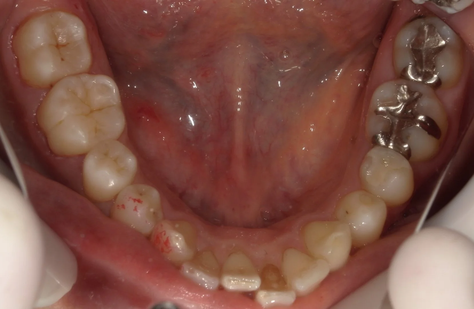
そして金属を外し、虫歯を見やすくしたのがこちらです。

一番右側の歯の内面が真っ黒なのが分かるかと思います。
また、先ほど記載した、歯の根元付近も黒いのが出てきたて虫歯が分かりやすくなりましたね。
虫歯を取りきったのがこちらの写真です。

ところどころ黒い部分が残っているように見えますが、この部位は着色が付いているだけで、虫歯になっている所ではありません。
ここを完全に取りきろうとすると、神経にダメージが行ってしまう可能性が高かったため、今回は除去しないで温存しておくこととしました。
通常、これほどのサイズの虫歯であれば・・・
左から順に
金属の詰め物・金属の被せ物・金属の被せ物
という治療方針になることが多いかと思われます。
ダイレクトボンディングであれば、残っている部分の歯質をそのまま温存して治療を終了させることが出来る為、被せ物や詰め物と違って歯を無駄に大きく削る必要がありません。
また、1回で治療が終われるのも大きなメリットの1つですね。
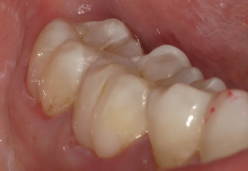
そして詰め終わったのがこちらです。

根元の方が分かりやすい角度でも写真を撮らせてもらいました。

一切の段差なく綺麗に詰まっているのが分かるかと思います。
角度を変えて、咬む面からのみ撮影した術前術後がこちらになります。
術前

↓
術後

如何でしょうか?
歯の削れていた部分も綺麗に治り、自然な仕上がりになったかと思います。
エナメル質という表層部分が詰めるときに乾燥する影響で白っぽくなり、色が合っていないように見えますが・・・1週間もすれば色が戻り、違和感はなくなってくるかと思われます。
適合もしっかりと合わせているので、長く使っていただければ幸いですヽ(゚∀゚)ノ パッ☆
長時間の治療、お疲れさまでした!