こんにちは。
この間、100人に対してセミナーを行いましたが・・・
その後、元々行っていたプライベートセミナーの申し込みが非常に増えて対応に苦慮している状況になっております。
(プライベートセミナーとは、その医院に伺ったり、うちに来てもらって少数の先生方に指導するセミナーの事です。)
しばらくは休みの都合もありますので、なかなか予定が付かないことが多くなります。
上手くタイミングが合わなかった先生方にはこの場を借りて謝罪させていただきます。
また都合が合えば、よろしくお願いいたします。
さて、本日は保険の白い詰め物のコンポジットレジンについてです。
何回かお話していますが、コンポジットレジンは現在世界中で使用されているメインの材料の1つです。
その最大のメリットは、歯を最大級に温存出来ること。
デメリットは後々の変形や着色・欠けなどですかね。
ですが、このデメリットをメリットの部分が大きく上回っているため、世界中で開発がすすめられ、どんどん進化していっています。
日本は薬事法があるため、新しい材料が出てもすぐに使えるようになるわけではありません。
また薬事を通ったからと言って、それが保険内適用になるのにはもっと長い時間が掛かってしまいます。
そのため、日本の保険診療は基本的に型落ち家電と同じような様相を呈しています。
それでもいいから安くしたいという方には向いていますが、値段は良いから、とりあえず一番いいので治したい!って方には向いていません。
現在、日本では「金属は恥ずかしい」「健康は重要」という考え方が大きくなってきていますので、保険診療とのギャップが出来てきているように感じます。
より良い治療を受けたいとお考えであれば、自費診療がベターかと思います。
私はなるべく保険でも治療成績は良好になるようになるべく努力はしていますが・・・どうしても材料的にも時間的にも限界はありますからね・・・。
さて。
では症例写真に移ります。
まずは術前

あからさまに詰め物の下が黒くなっているのが分かるかと思います。
かるーく削ったところ・・・

こんな感じで、中で大きく虫歯が進んでいました。
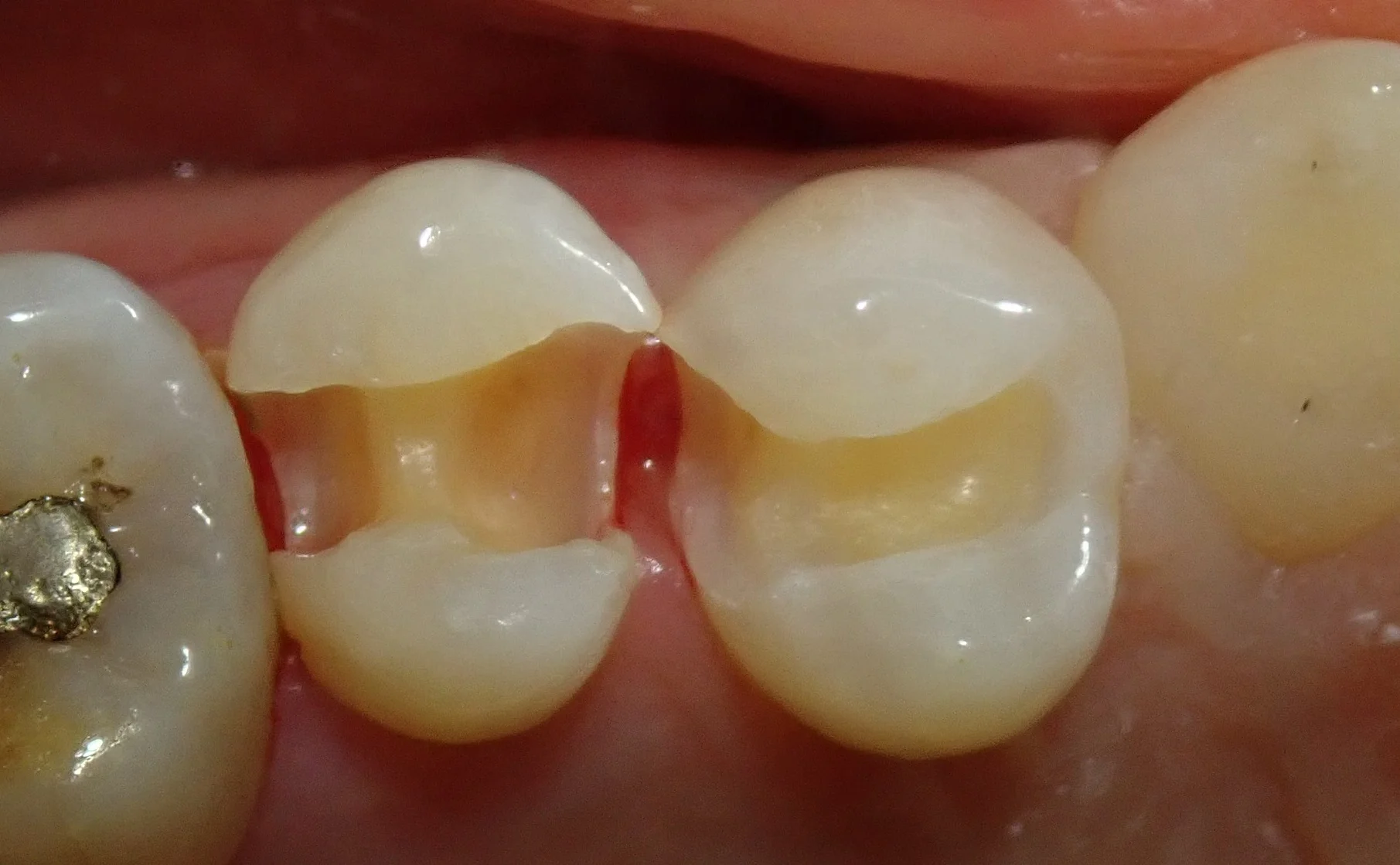
詰め物だけを除去した写真がこちらです。

右側の歯はそこまでのサイズではなかったですが、やはり左側の歯は歯の中心付近まで見た目上で虫歯になっていました。
そして除去しきったのがこちら。

綺麗な色が露出したのがわかると思います。
左の虫歯については、歯の中央を超えて大きく進んでいましたね・・・。
結果として、リンゴの芯みたいな感じでしか、健康な部分が残りませんでした。
そして、詰め終わったのがこちらです。

前後的に歯がズレていたので、なるべく本来あるべき形に治しました。
ここまでやるのは保険上だとちょっと審美領域に掛かってくるので、微妙なところなんですが・・・
それでも本来あるべき形に戻したいという欲求が出ちゃうので、ついついやっちゃいますね(笑)
#保険診療,#コンポジットレジン修復,#虫歯の治療