こんにちは。
ここにきて急速に感染者数が増えていますね。ワクチン接種者の重症化リスクは非常に低いようではありますが、引き続き感染予防には注意して生活していきましょう。
さて、前回も書きましたが、ここ最近遠方からの初診の方や歯科医療従事者からの問い合わせが非常に増えております。初診数増加に伴い、急患対応も多くなってまいりましたので、再度ご案内させていただきます。
【当院での初診の取り扱いについて】
当院は現在、予約の患者さんで2~3週間先まで完全に埋まっている状況になっております。
急患の場合は、コロナ渦も相まって、可能な限りお待ちいただかないよう予約の患者さんの治療内容等を考慮し、日時を指定させていただいております。
従って、どうしても「この曜日のこの時間で」などの希望される日時が限定的な場合は通常の予約をお願いしております。
皆様お仕事や私生活がお忙しい中、2~3週間お待ちいただいた上で予約を取っていただいております。
無理に初診の方の希望に対応することで予約の患者様の治療に影響を及ぼすことは、当院が目標としている「公平公正な医療の提供」には反してしまうと考えております。
痛みがあるなどの急を要する場合は、通常の予約枠ではないため希望の時間のご案内ができかねることを予めご了承ください。
さて、本日の症例写真はダイレクトボンディング・・・ではあるのですが、いつもの虫歯になってというパターンではなく、外傷によって歯が折れてしまったパターンについてです。
では、医療法の兼ね合いで毎回書いている内容をまた今回も記載したいと思います。
ダイレクトボンディングのメリットは
・基本的には歯を最も多く残すことが出来る治療法である。
・もし一部欠けたりしても、そこだけ治療しなおすことが出来る。
・歯よりも少し柔らかい(反対側の歯が割れたりはしない)
・金属を使用しないため、金属アレルギーは生じない。
です。
逆にデメリットとしては、
・材質的に経年劣化を起こしてくるので、後々磨き残しが溜まりやすくなる
・強度が弱いため、割れたり欠けたりすることがある。
・保険が使えない為、高額(当院では4万円+税です)
材質的なデメリットは非常に大きいのですが、それを考えても患者さんにお勧めできるメリットは、被せ物になるのを、5年でも10年でも先に伸ばすことが出来るという点です。
一回治療したところは必ずいつか駄目になりますが、その時に歯が残っていれば、ひょっとするとまたダイレクトボンディングで対処できるかもしれませんからね。
私は良く「歯の治療は回数券だ」と患者さんにお伝えしています。
20枚綴りの回数券を治療の度に消費していくとします。
ダイレクトボンディングは1~2枚程度しか消費しない治療法ですが、部分的な金属の詰め物は一気に3~5枚くらい消費するようなイメージで、被せ物についてはは5~10枚消費するようなイメージです。
(先生によってはインレーの段階で10枚くらい一気に行くかもしれません・・・。)
例えばダイレクトボンディングが1回の治療で5年持ったとして…クラウンと同様の5枚消費するには25年かかります。
逆にクラウンを25年以上持たせることが出来るのなら良いのかもしれませんが…それが出来る!と自信満々に答えられる歯科医師はまずいないでしょう。
もちろん先生によって考え方は違いますし、価値観も違うため患者さんがどこの医院を選び、何の材料を選ぶかは人それぞれですが…
少なくとも私が同じような状態で治療を受ける際には可能な限りはダイレクトボンディングで治療してもらいたいですね。
で、ダイレクトボンディングでは無理というサイズになってきたら、今度は被せ物(クラウン)に移行するという流れを希望すると思ってます。
また、治療とは削る量が増えれば増えるだけその難易度も増していきます。それに伴って、持つ期間としても短くなっていってしまいます。
だからこそ小さいサイズの虫歯の時点で、ダイレクトボンディングで治療する意義は非常に大きいんです。
当院は保険医療機関ですので、非常に小さい虫歯の場合は保険適用内の「コンポジットレジン修復」にて治療を行っていますので、もし精度や持ちに拘りがあるのであれば、最初から「ダイレクトボンディングを希望」とお伝えください。
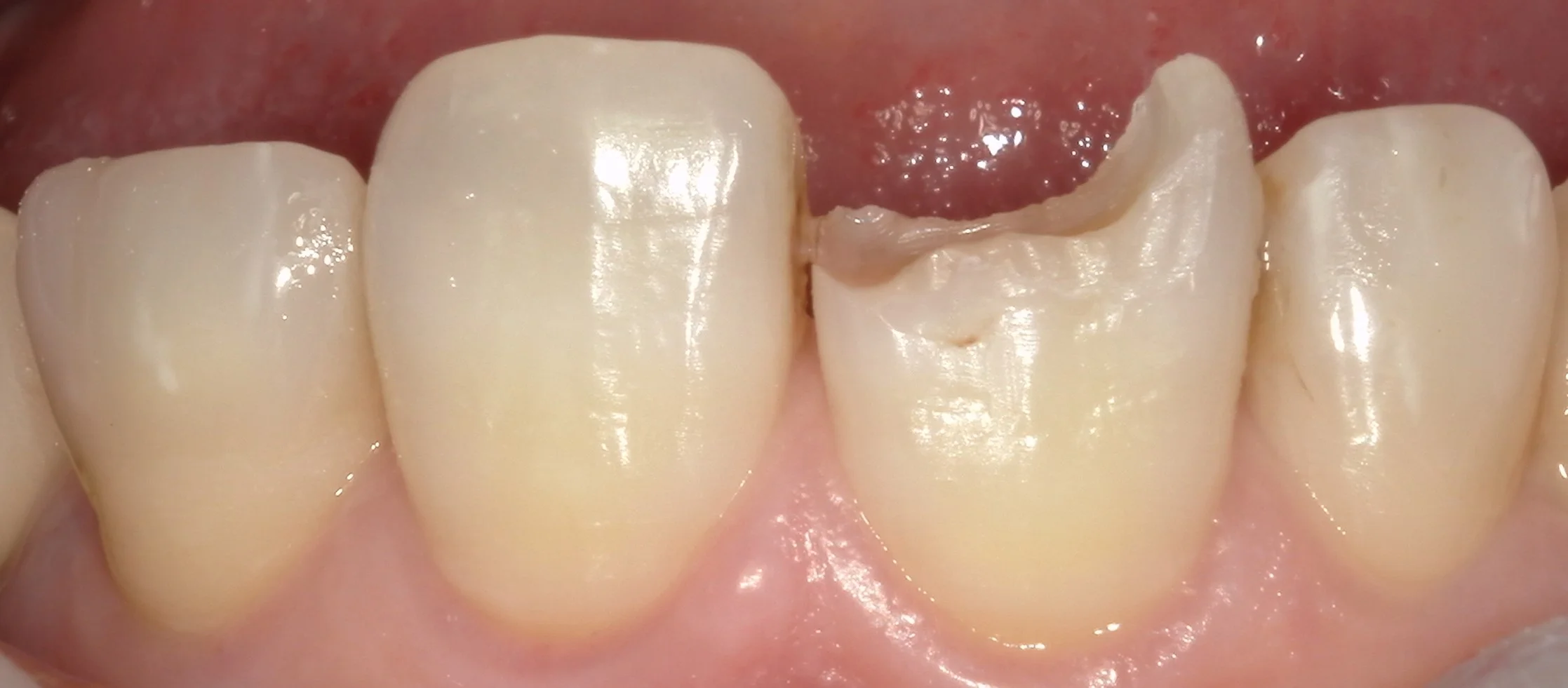
では術前の写真からです。

画面中央の大きな前歯のうち、左側が今回処置したところになります。
歯が折れてきたので、前回その折れたものをくっつけるだけくっつけて応急処置をしました。
見た目はやはり全く合っていないですね。
で、割れた部分を除去して、軽く感染していた歯を除去したのがこちらです。

中央付近に若干着色が残っています。
これは本来除去しておきたい部分なのですが、写真を撮る前に取り残しているのに気づかなかったパターンです(-_-;)
この後ちゃんと除去しておきました。
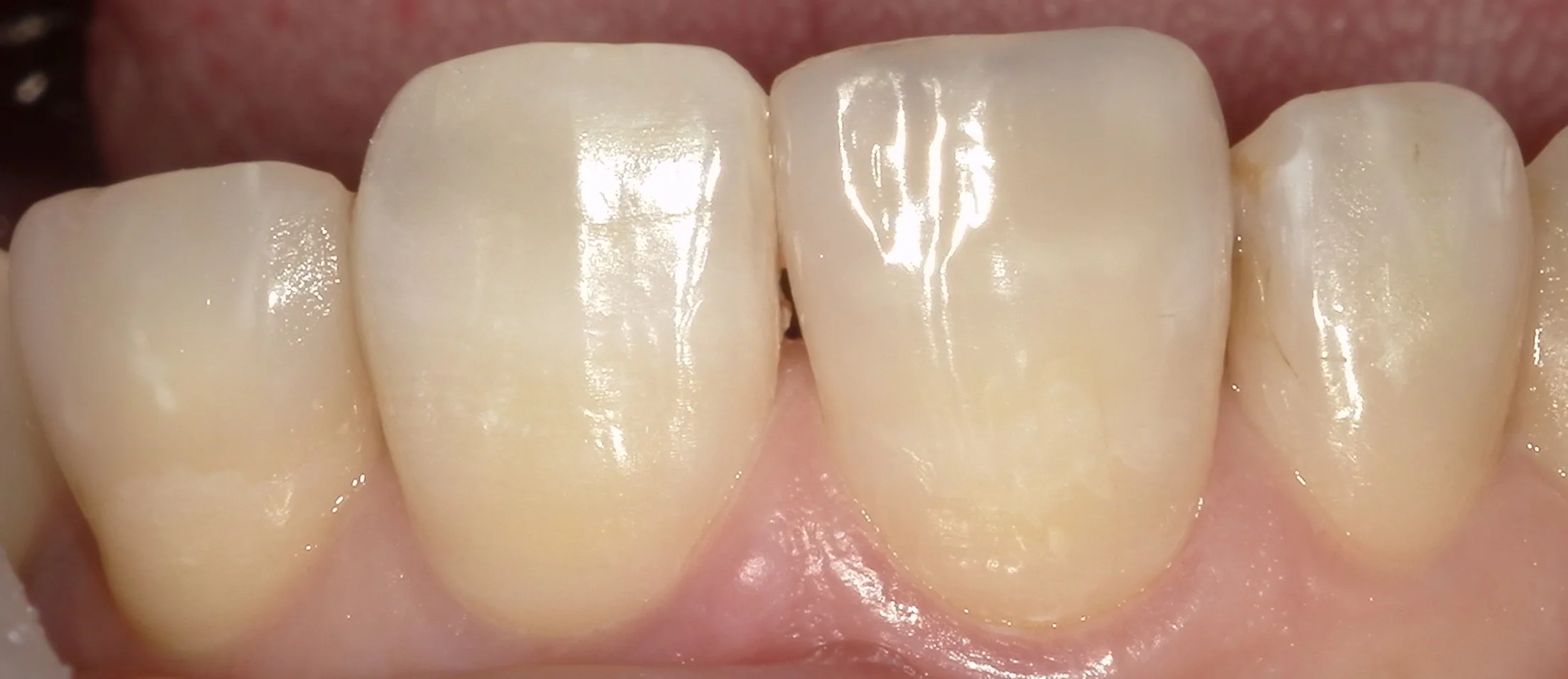
それで詰め終わったのがこちらになります。

反対側の歯を見ると丁度折れた部分辺りに白帯といって、白い部分があったので、そこを合わせるために内面に白いレジンを入れてます。
で、まぁなんやかんやの色調を合わせながら詰めていきました。
ここら辺は私がたまーにやってるクローズドセミナーで説明さえて頂く部分なので、割愛させていただきますね。
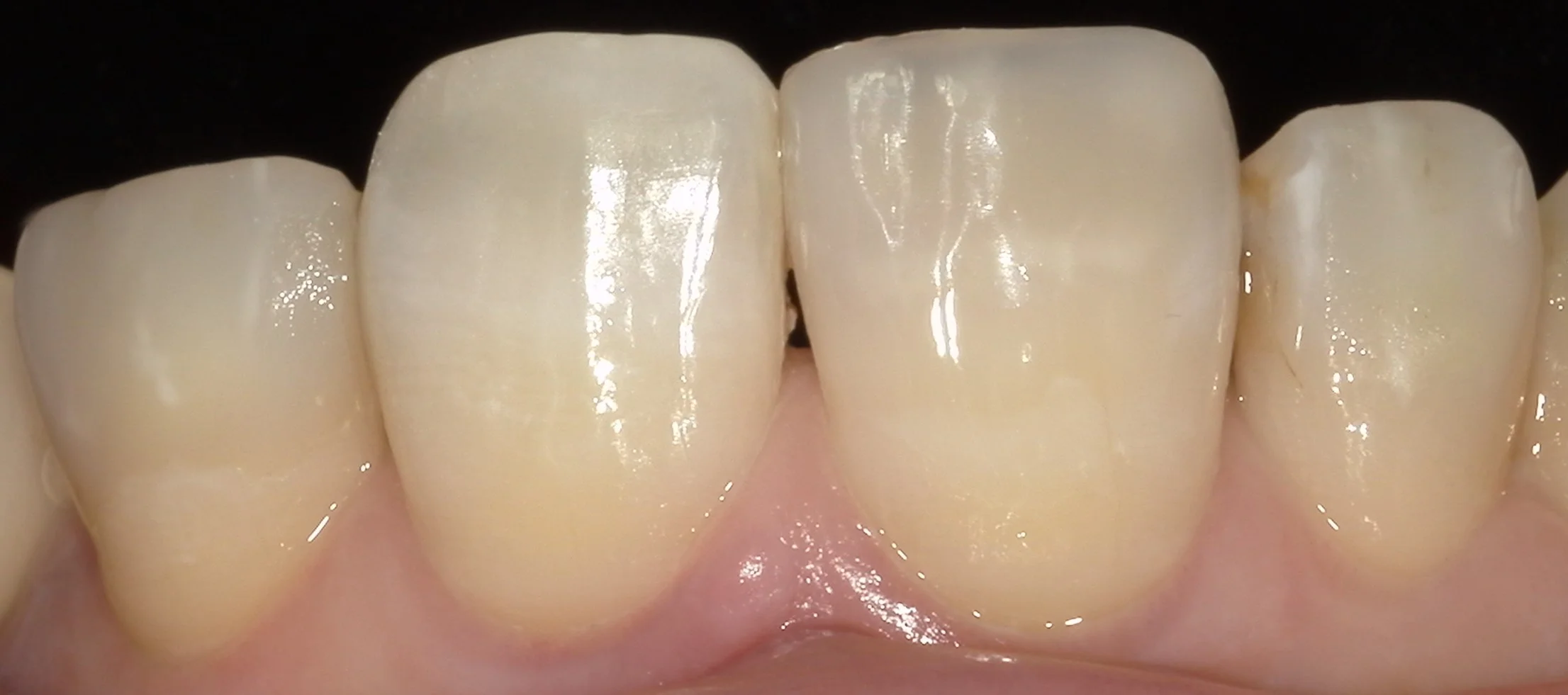
さて、前歯の時に特になのですが、背景色が舌とかだと色が非常に分かりにくいため、黒背景でも1枚撮影しておきました。
それがこちらです。

どうですかね?
比較的違和感なく仕上げられたかと思います。
この前歯を保険のCRで治療した場合、恐らくここまで色調の調和は私でも取れなかったと思います。
審美領域の為、気になる方が多いですがこれをこのくらいまで仕上げ用とすると通常は全周削っての被せ物になってしまいます。
そうなると上記した回数券を一気に10枚以上消費する形になりますね。
ダイレクトボンディングで全てのケースを対応できるという事は残念ながらあり得ませんが・・・少なくとも、今回のようなケースにおいては非常に有効な治療法であると思われます。
なるべく長持ちすると良いですねぇヽ(゚∀゚)ノ パッ☆