こんにちは。
9月24日に歯科商社であるFEEDさんにて大型のセミナーを行うこととなりました。
募集開始3日くらいで250人を超える応募があったとのことで非常に緊張しております。
話す内容の量に過不足がないようにスライドを一から作成していますので、すこしブログの更新が中途半端になるかもしれないですね^^;
まぁ1回このスライドを作っておけばまた依頼などあった際にはそこをベースに変えていけばいいので、今回頑張っておくと後々楽と思い、頑張って行きます!
さて、ここ最近遠方からの初診の方や歯科医療従事者からの問い合わせが非常に増えております。
また初診数増加に伴い、急患対応も多くなってまいりましたので、再度ご案内させていただきます。
【当院での初診の取り扱いについて】
当院は現在、予約の患者さんで1~2週間先まで比較的埋まってきている状況になっております。(土曜日は相変わらず1月先まで埋まっております。)
急患の場合は、コロナ渦も相まって、可能な限りお待ちいただかないよう予約の患者さんの治療内容等を考慮し、日時を指定させていただいております。
従って、どうしても「この曜日のこの時間で」などの希望される日時が限定的な場合は通常の予約をお願いしております。
皆様お仕事や私生活がお忙しい中、1~2週間お待ちいただいた上で予約を取っていただいております。
無理に初診の方の希望に対応することで予約の患者様の治療に影響を及ぼすことは、当院が目標としている「公平公正な医療の提供」には反してしまうと考えております。
痛みがあるなどの急を要する場合は、通常の予約枠ではないため希望の時間のご案内ができかねることを予めご了承ください。
さて、本日はスライド作成の際に収集したダイレクトボンディングの経過の写真を載せたいと思います。 術直後に綺麗なのももちろん大事ですが数年後の状態が安定しているのかどうかも非常に大事な部分になりますからね。
では、医療法(医療広告ガイドライン)の兼ね合いで毎回書いている内容をまた今回も記載したいと思います。
ダイレクトボンディングのメリットは
・基本的には歯をできる限り多く残すことを目指す治療法である。
・もし一部欠けたりしても、そこだけ治療しなおすことが出来る。
・歯よりも少し柔らかい(反対側の歯が割れたりはしない)。
・金属を使用しないため、金属アレルギーは生じない。
です。
逆にデメリットとしては、
・材質的に経年劣化を起こしてくるので、後々磨き残しが溜まりやすくなる。
・強度が弱いため、割れたり欠けたりすることがある。
・保険が使えない為、高額(当院では4万円+税です)。
材質的なデメリットは非常に大きいのですが、それを考えても患者さんにお勧めできるメリットは、被せ物になるのを、5年でも10年でも先に伸ばすことが出来るという点です。
1回治療したところは必ずいつか駄目になりますが、その時に歯が残っていれば、ひょっとするとまたダイレクトボンディングで対処できるかもしれませんからね。
私は良く「歯の治療は回数券だ」と患者さんにお伝えしています。
20枚綴りの回数券を治療の度に消費していくとします。
ダイレクトボンディングは1~2枚程度しか消費しない治療法ですが、部分的な金属の詰め物は一気に3~5枚くらい消費するようなイメージで、被せ物についてはは5~10枚消費するようなイメージです。
(先生によってはインレーの段階で10枚くらい一気に行くかもしれません・・・。)
例えばダイレクトボンディングが1回の治療で5年持ったとして…クラウンと同様の5枚消費するには25年かかります。
逆にクラウンを25年以上持たせることが出来るのなら良いのかもしれませんが…それが出来る!と自信満々に答えられる歯科医師はまずいないでしょう。
もちろん先生によって考え方は違いますし、価値観も違うため患者さんがどこの医院を選び、何の材料を選ぶかは人それぞれですが…
少なくとも私が同じような状態で治療を受ける際には可能な限りはダイレクトボンディングで治療してもらいたいですね。
で、ダイレクトボンディングでは無理というサイズになってきたら、今度は被せ物(クラウン)に移行するという流れを希望すると思ってます。
また、治療とは削る量が増えれば増えるだけその難易度も増していきます。それに伴って、持つ期間としても短くなっていってしまいます。
だからこそ小さいサイズの虫歯の時点で、ダイレクトボンディングで治療する意義は非常に大きいんです。
当院は保険医療機関ですので、非常に小さい虫歯の場合は保険適用内の「コンポジットレジン修復」にて治療を行っていますので、もし精度や持ちに拘りがあるのであれば、最初から「ダイレクトボンディングを希望」とお伝えください。
先日来院されてから自費診療を希望された方がいらっしゃったのですが、保険と自費の治療ではその予約時間が大きく異なりますので、本数が制限されてしまい、来院回数が増えてしまうことがあります。
ですので、次回予約の際には「自費診療希望である旨を伝えておいていただければ幸いです。」
さて。
では症例写真に移ります。
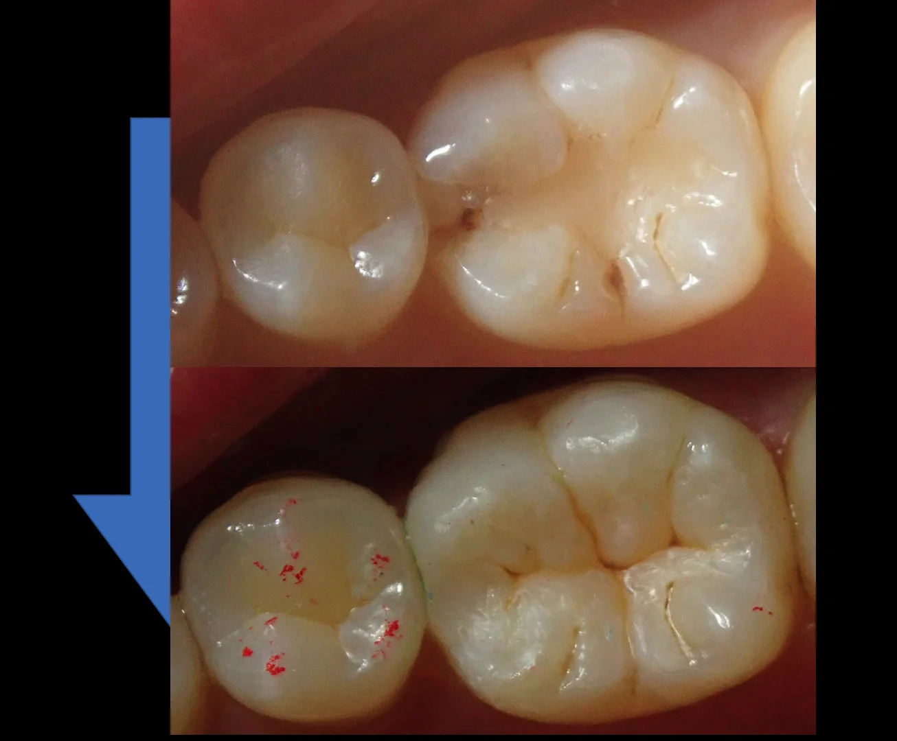
1人目はこちらの、他の医院にて勤務されている歯科衛生士の方です。
処置当日がこちらです。リンク先からも確認できますが、術前の写真がピンボケしているという大ポカをしでかしてしまいましたので、虫歯を取り切った状態の写真からのスタートです。

噛む面のみならず、上下の噛み合わせがしっかりと当たる場所も歯がなくなってしまっています。
1年後の経過の写真がこちらになります。

黒いまるで囲ったところの変化を見て欲しいのですが、やや削れてるのがわかるかと思います。
とはいえ、1年経ってこの程度の変化なんですね。
噛み合わせは年々変化して行きますし、それに伴って同様な感じですり減ってくれるため、ダイレクトボンディングは実は長期的な安定をしやすいものだと個人的には思っています。
2人目はこちらの、北陸の方から車で5時間かけて通院してくださった方です。
色が分かりづらいと思いますので、もし気になるならリンク先から飛んでみてください。
非常に虫歯が大きくほとんど歯が残っていないような状況でした。

その1年予後の写真です。

特に大きな変化は起こっていないのがわかるかと思います。
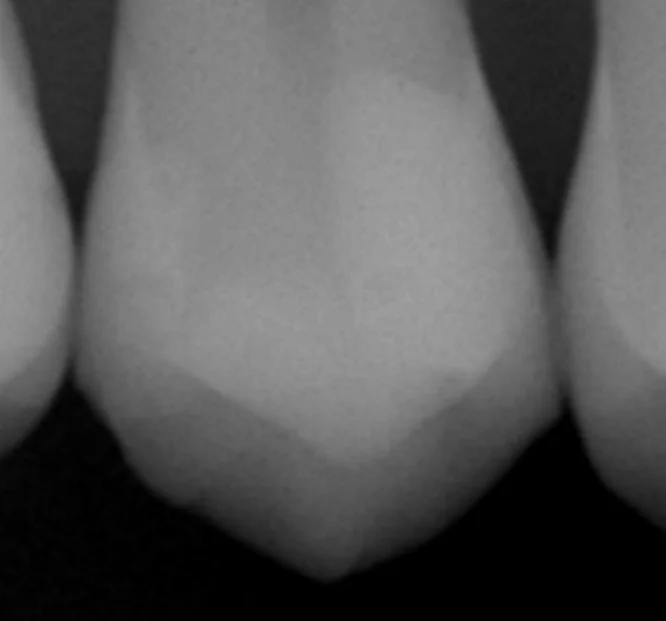
とはいえ、このサイズだと歯科医療従事者の場合実際の適合が安定しているのか気になると思いますので、合わせて経過のレントゲンも撮らせていただきましたので、それも載せておきます。

やや白みが強いところが詰めたレジンですね。
歯との間に一才の段差はなく、内部に虫歯が新たにできているような所見は全くありません。
歯としては、画面上の右側半分と左側の1/2がないような状態だったので1/4しか歯は残っていませんが、良好な状態をキープできています。
3人目はこちらの、竜ヶ崎市にて開業されている歯科医師の方です。
こちらが処置当日の写真ですね。
少し前すぎてカメラがあまりいいものではないため、画質が荒いです(⌒-⌒; )

その3年半後の写真がこちらになります。

著変なく状態は安定しているのがわかるかと思います。
この方は歯との間にも詰めているのですが、歯茎の状態も非常に良好なのがわかるかと思います。
レジンは汚れがつきにくいという特性があるのですが、結局それは材料や研磨のレベルで改善できる部分になりますので、そういう点でも術者の依存度合いが高い治療になりますね。
まぁだからこそ術者としては楽しいところでもあるんですけどね(●´ω`●)
これからも私が処置した方々全員の長期予後を追って行きますので、もっと長い経過も今後見えてくると思いますヽ(゚∀゚)ノ パッ☆