こんにちは。
いよいよ夏っぽい気温になってきましたね。
熱いのが苦手な私にとっては地獄のような季節になってきました。
ちなみに、当院は材料の安定性を加味し、室温は常時25℃となっておりますので、もし寒いようであれば荷物置きの傍にあるひざ掛けをご自由にお掛けください。
さて、今日はセラミックのブリッジです。
そういえば、毎回毎回セラミックの症例写真を載せることはあってもその特性について記載することが少なかったように思いますので、併せて軽く書いていきます。
「セラミック」の特性を
・白い
・汚れが付着しづらい
・固い(ただし衝撃に弱い)
こーんな感じで1つ1つ言われてもピンとこない方も多いかと思います。
要はセラミックって陶器なんですよね。
身の回りのもので陶器を使用しているのってどこかを考えてもらうと分かりやすいかと思います。
食器・洗面所・便器・お風呂・・・
などですよね。
これらに共通するのは「水気が多く」「汚れ(細菌繁殖)が起きやすい」場所なんです。
これだけ科学技術が進歩しても、上記の場所については陶器をひたすら使用されていますよね?
これは純粋にそういう場所に強く、持ちが良いからこそ使用されているんです。
そして口の中も同様に「水気(唾液)が多く」「汚れ(細菌繁殖)が起きやすい」場所なんです。
だからこそ汚れが付きづらく、長持ちしやすいセラミックを選択するかどうかで10年20年後のお口の健康寿命に大きな差が生まれてきます。
口の状態が悪ければ悪いだけ感染症は元より様々な病気になりやすくなってしまいますので、実際はお口の健康寿命だけでなく、体全体の健康寿命にも影響を及ぼしてきます。
とはいえ、セラミックは自費の為、保険に比べ非常に高額になってしまいますからね。
何を優先するのか・・・
ご自身にとって10年後に後悔しない選択はどれなのか・・・
をしっかりとご自身で考えて選択する必要があります。
では、実際の写真に移ります。
まずは模型の写真です。

セラミックに関わらず被せ物・詰め物において、歯を削るためのルールというものが厳密に決められています。
どれだけ歯を温存しながら無駄なく綺麗な形作り出来るかが歯科医師としての腕の見せ所というわけです。
ブリッジの場合はさらにその前後の歯で並行性を揃えなければならないため、ますます歯科医師の技術が分かりやすい治療法ではあります。
基本的には上から見たときに、平行になっているか。
あとは、下図の赤色の部分と青色の部分の距離が一定であるかどうかも結構上手さの指標になると思います。

アングル的に均一ではないように見えていますが、角度変えて真上から見ると均一になっていますよ・・・!
で、模型上のセラミックがこんな感じです。

裂溝(歯の溝の部分)の再現が良い感じですね。
私は個人的にこの溝の部分は非常に深い方が好みなのですが・・・
元々の歯も溝がそんなに深いタイプの方ではなかったので、このくらいの溝になっています。
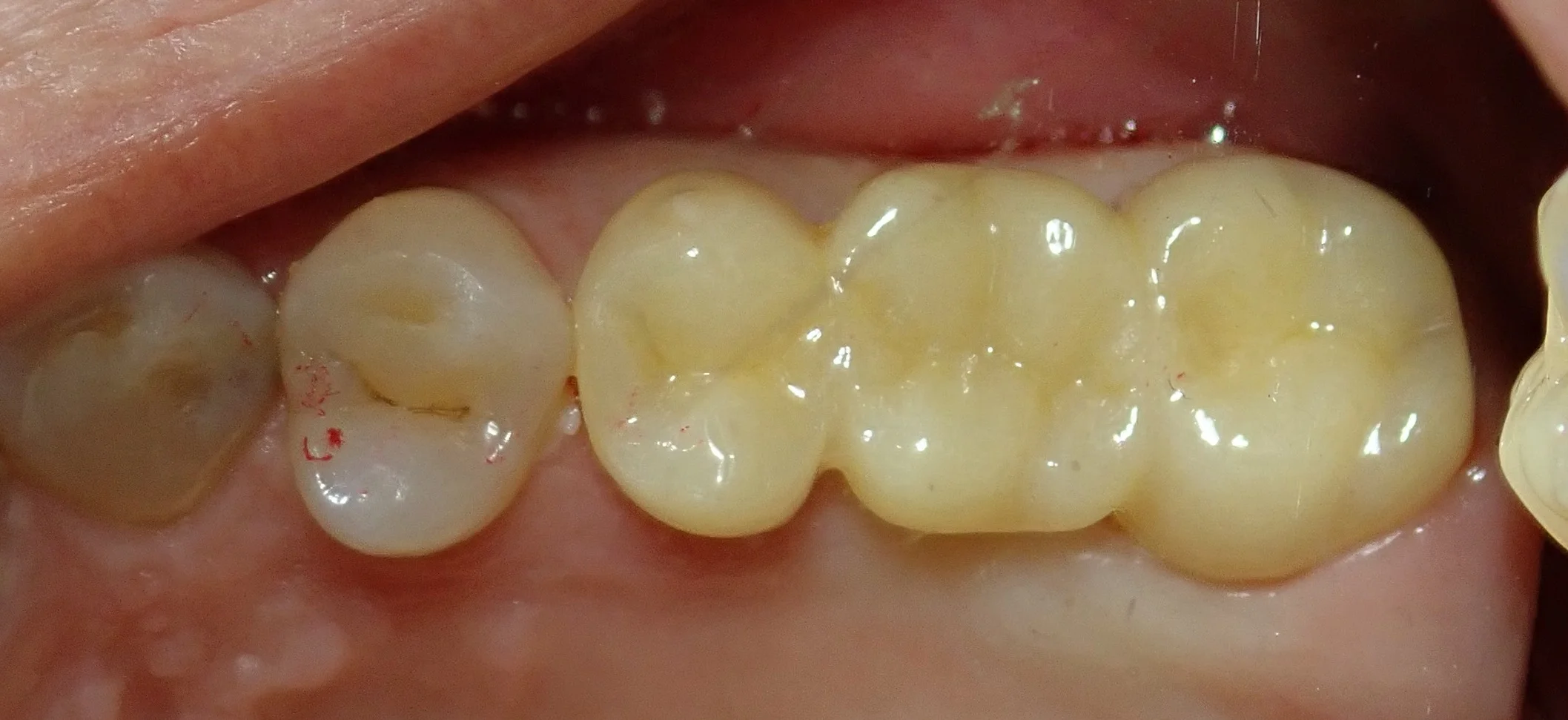
実際にお口の中につけてみたのがこちらです。

歯の色がだいぶん黄色みが強いのが分かるかと思います。
この上から見た感じだと普通に人工物だなと一般の方から見ても分かる仕上がりになっていますが・・・
側面から見ると・・・

こんな感じです。
違和感はほとんどないと思います。
今回使用した材質はセラミックの中でもジルコニアと呼ばれる非常に硬く強度の強い材質になります。
そのため、今回のようないわゆるブリッジの治療には多く用いられます。
審美領域(前から4番目までの歯の部分)であれば、内面をジルコニア・表層を柔らかいが見た目の再現が行いやすいポーセレンにすることで非常に綺麗な見た目と強度を兼ね備えることができます。
ですが、今回は奥歯です。
奥歯は噛む力が非常に強く加わるため、強度を最重要視し、すべてジルコニアにて仕上げました。
その分、出来上がったセラミックの色が単一色になってしまったんです。
噛む面と側面。
どちらに色を合わせるべきかと考えたときに、笑顔などで見えるのは側面だったため、側面の色に合わせました。
その結果、上の写真のように噛む面から見たときは色があっていないように見えたが、側面から見てみると色があっている状態になったわけです。
患者さんに実際に確認して頂き、色合いに問題はなかったとのことでしたので、そのままSetさせて頂きました。
適合が非常にいいのでしっかりと長く使っていただけると思いますヽ(゚∀゚)ノ !
#自費診療,#セラミック,#ブリッジ,#虫歯の治療