こんにちは。
最近紹介での初診が非常に増えています。
元々看板なども出していないため、知り合いからの紹介が多かったのですが、どんどん増えてきています。
現在初診で来院される方の約9割がどなたかからの紹介となっていますので、私の治療に満足して頂けているんだなぁとホッとしております。
歯科衛生士さんも更に1名増えたため、歯科医院としての規模がそろそろ限界ですね・・・。
全体的に改築して私らしい診療スタイルが実践できるような歯科医院にしたいところですが、さすがにそれは簡単には出来ないのでまだまだ先になりそうですね(-_-;)
さて、今日はあまり行うことは少ない・・・
ダイレクトボンディングによるラミネートべニア。
略してダイレクトベニアについて記載していきます。
そもそもラミネートべニアとは。

こんな感じで、歯の表面をすんごい微妙に削り、うすーいセラミックを貼り付けるという治療になります。
歯の変色が強い場合で、それが人工物ではなく天然の、ご自身の歯の場合に使用するものです。
歯の色は綺麗にしたいけどセラミックとかで大きく歯を削りたくはない・・・。
そんな時に選択する治療法です。
一部のニッチな需要に答えられる。そんな治療方法なんですが・・・
本来強度を出すために厚みが必要なのですが、十分な厚みを確保できないため、そこを使って物を食べたりすると、欠けたり割れたりすることがあります。
要は力が加わるとアウトということですので、TCHや食いしばり・歯ぎしりの癖があったりする方には長期予後が期待できないため、使えないというデメリットも存在しています。
そこで最近(・・・といってももう結構経っていますが)注目を集めているのが今回紹介するダイレクトベニアです。
もちろん力が加わったら欠けたりはするんですが、使用するのがレジンの為、修理が簡単にできます。
また、セラミックと違ってレジンはしなる為そもそもの力への抵抗力が高いです。
更にセラミックはセメントを介して歯にくっつく為、そのセメントが劣化すると外れてしまいますが、レジンの場合は歯にそのまま接着しますので、そういった心配もありません。
いいこと尽くしのように感じるかもしれませんが、そもそもの材料としての安定性はセラミックには遠く及びませんので、材料の劣化に伴い着色が起こったり、細菌が繁殖しやすくなったりします。
そのため、しっかりとプラークコントロールができる方に限定された治療法という感じになります。(要は歯磨き頑張れる人ですね。)
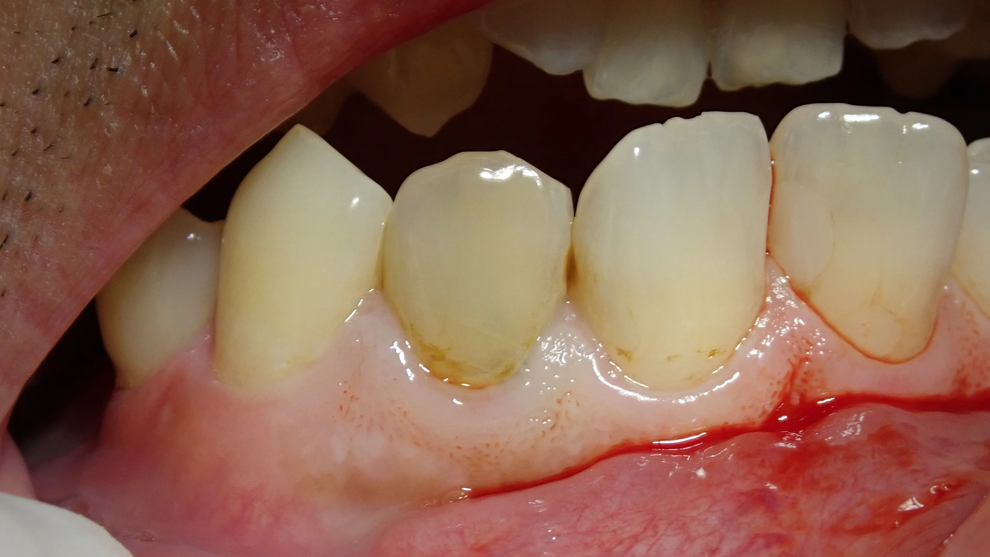
では術前から。

処置を行うのは画面中央部にある犬歯の一つ手前の歯です。
歯茎付近で亀裂が生じており、中で軽く虫歯になってしまっています。
また患者さん本人は神経を抜いているため、歯の色が年々黄色くなっていっているのが気になっているとのことでした。
歯としてはほとんどご自身の歯なので、なるべく削りたくないとのことで、ダイレクトベニアでの治療を希望されました。
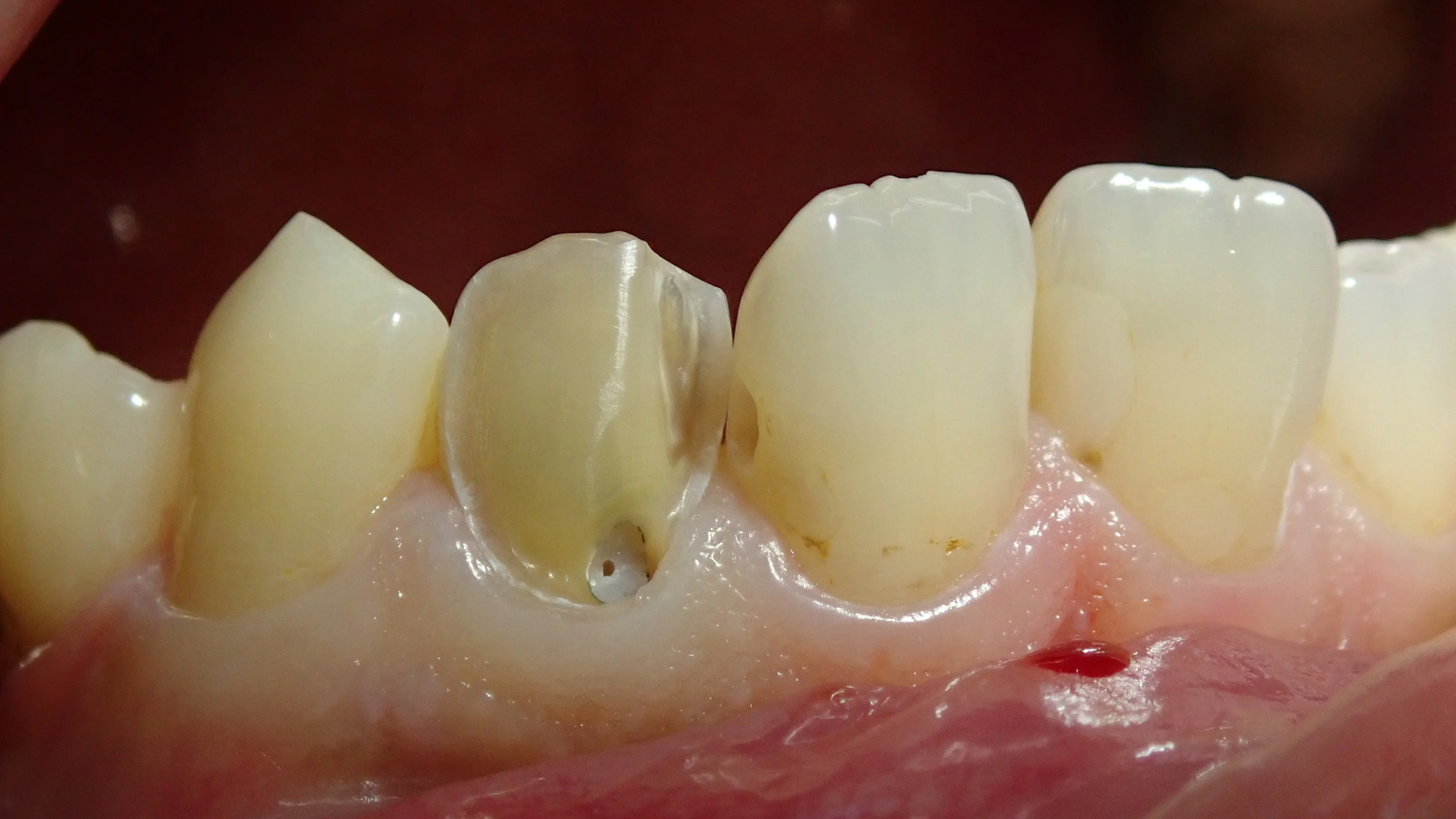
虫歯を取って、表面をほんの少し削ったところの写真がこちらです。

神経の治療後の土台に穴が開いているのが分かるかと思います。
こういった気泡がレジン内面にあると、痛みの原因になりますので、今回ここもしっかりと埋めました。
また、一つ右の歯も虫歯だったので一緒に治療しました。
こちらについては本当に小さい虫歯でしたので、保険内のコンポジットレジン修復にて治療を完了させました。
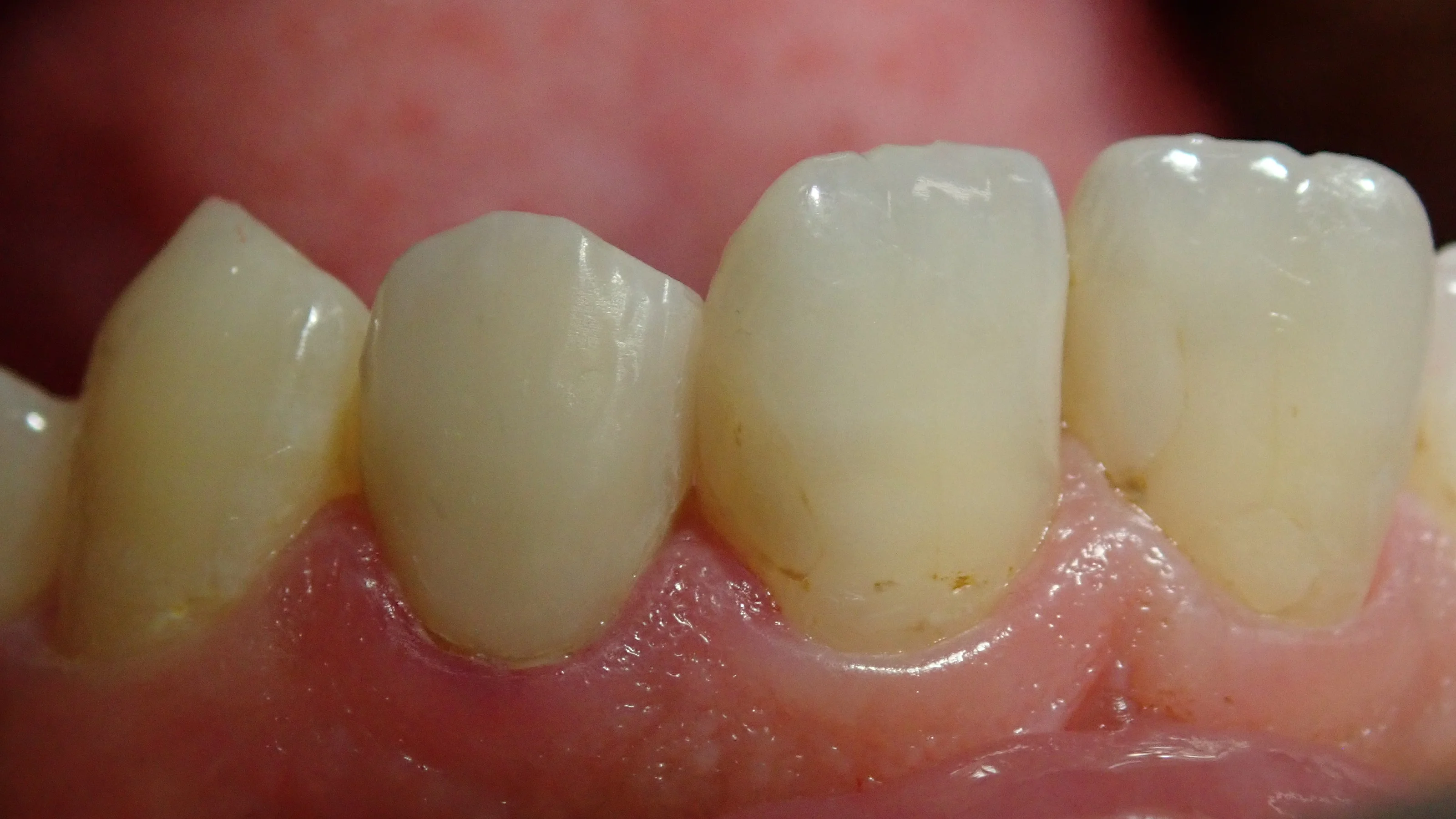
治療完了後の写真がこちらです。

こんな感じですね。
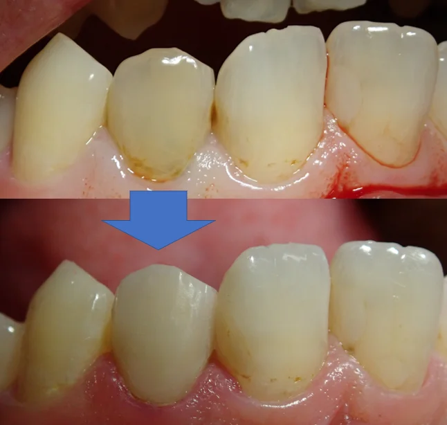
最終的な写真が暗くなってしまったので、すっごい分かりづらいですが、術前術後で比較するとこうなります。

前後の歯との色の違いはほぼ消せたかと思います。
研磨しやすい場所なので、仮に着色がついてきてもすぐに磨けますし、欠けても即座に修復可能な部位なので、何らかのトラブルが生じても楽に対応できそうですね。
可能な限りトラブルなく長持ちしてもらいたいですけどね(;'∀')
#自費診療,#ダイレクトボンディング,#ダイレクトベニア,#虫歯の治療