こんにちは。
コロナワクチンの接種が順調に進んでいますね。
早い所ワクチンの接種が完了し、日常生活に戻れることを祈る限りです。
前回も書きましたが、ここ最近遠方からの初診の方や歯科医療従事者からの問い合わせが非常に増えております。初診数増加に伴い、急患対応も多くなってまいりましたので、再度ご案内させていただきます。
【当院での初診の取り扱いについて】
当院は現在、予約の患者さんで2~3週間先まで完全に埋まっている状況になっております。
急患の場合は、コロナ渦も相まって、可能な限りお待ちいただかないよう予約の患者さんの治療内容等を考慮し、日時を指定させていただいております。
従って、どうしても「この曜日のこの時間で」などの希望される日時が限定的な場合は通常の予約をお願いしております。
皆様お仕事や私生活がお忙しい中、2~3週間お待ちいただいた上で予約を取っていただいております。
無理に初診の方の希望に対応することで予約の患者様の治療に影響を及ぼすことは、当院が目標としている「公平公正な医療の提供」には反してしまうと考えております。
痛みがあるなどの急を要する場合は、通常の予約枠ではないため希望の時間のご案内ができかねることを予めご了承ください。
さて、本日の症例写真はダイレクトボンディングについてです。
今回は神奈川県からお越しの方です。
じゃ、医療法の兼ね合いで毎回書いている内容をまた今回も記載したいと思います。
ダイレクトボンディングのメリットは
・基本的には歯を最も多く残すことが出来る治療法である。
・もし一部欠けたりしても、そこだけ治療しなおすことが出来る。
・歯よりも少し柔らかい(反対側の歯が割れたりはしない)
・金属を使用しないため、金属アレルギーは生じない。
です。
逆にデメリットとしては、
・材質的に経年劣化を起こしてくるので、後々磨き残しが溜まりやすくなる
・強度が弱いため、割れたり欠けたりすることがある。
・保険が使えない為、高額(当院では4万円+税です)
材質的なデメリットは非常に大きいのですが、それを考えても患者さんにお勧めできるメリットは、被せ物になるのを、5年でも10年でも先に伸ばすことが出来るという点です。
一回治療したところは必ずいつか駄目になりますが、その時に歯が残っていれば、ひょっとするとまたダイレクトボンディングで対処できるかもしれませんからね。
私は良く「歯の治療は回数券だ」と患者さんにお伝えしています。
20枚綴りの回数券を治療の度に消費していくとします。
ダイレクトボンディングは1~2枚程度しか消費しない治療法ですが、部分的な金属の詰め物は一気に3~5枚くらい消費するようなイメージで、被せ物についてはは5~10枚消費するようなイメージです。
(先生によってはインレーの段階で10枚くらい一気に行くかもしれません・・・。)
例えばダイレクトボンディングが1回の治療で5年持ったとして…クラウンと同様の5枚消費するには25年かかります。
逆にクラウンを25年以上持たせることが出来るのなら良いのかもしれませんが…それが出来る!と自信満々に答えられる歯科医師はまずいないでしょう。
もちろん先生によって考え方は違いますし、価値観も違うため患者さんがどこの医院を選び、何の材料を選ぶかは人それぞれですが…
少なくとも私が同じような状態で治療を受ける際には可能な限りはダイレクトボンディングで治療してもらいたいですね。
で、ダイレクトボンディングでは無理というサイズになってきたら、今度は被せ物(クラウン)に移行するという流れを希望すると思ってます。
また、治療とは削る量が増えれば増えるだけその難易度も増していきます。それに伴って、持つ期間としても短くなっていってしまいます。
だからこそ小さいサイズの虫歯の時点で、ダイレクトボンディングで治療する意義は非常に大きいんです。
当院は保険医療機関ですので、非常に小さい虫歯の場合は保険適用内の「コンポジットレジン修復」にて治療を行っていますので、もし精度や持ちに拘りがあるのであれば、最初から「ダイレクトボンディングを希望」とお伝えください。
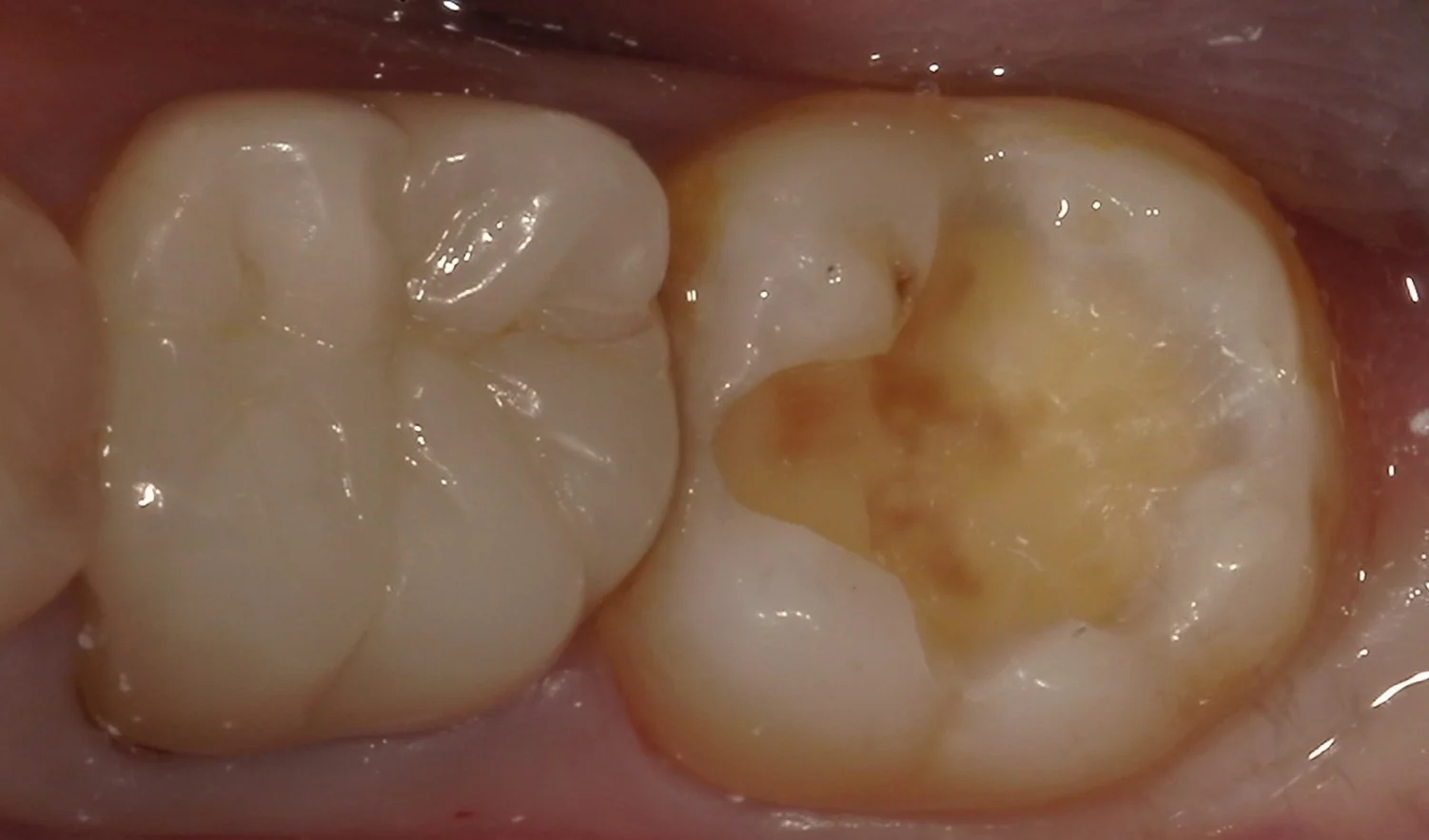
では術前の写真からです。

画面右側の部分が今回治療するところです。
どうやら前に行った処置の部分を取りきることなくそのまま上に新しい詰め物を詰めただけのようですね。
「既に硬化が完了しているものに対して強固に接着させる」というのは実は非常に困難です。
その為、実際はその隙間から中に虫歯が入り込んでいってしまうことが多々あります。
では、実際に詰め物のみを外し、虫歯を見えやすくしたものを見てみましょう。

ご覧の通りです。
前の詰め物を取りきらずに、その部分だけを治療することを補修修復と言いますが、これは何でもかんでもに使える手法ではありません。
特に今回のように内面に虫歯が入り込んでるのが見た目でも分かるようなレベルの場合は、一度詰め物と虫歯を完全に取りきった方が治療の予後は圧倒的に良くなります。
虫歯を取りきるとこんな感じでした。

非常に大きかったので、所々着色が残ってしまっていますが、別に虫歯というわけではありません。
健康な層がしっかりと露出させることが出来たので、そのまま詰めていきます。
詰め終わって噛み合わせの調整も終わった写真がこちらになります。

手前の歯がオールセラミックですが、形態を似せた方が違和感が少ないので、
Y字型のデザインで仕上げました。
溝の部分のステイン(着色)部分はこれまた手前の歯に合わせるために薄めに仕上げています。
見た目はもちろんですが、歯の表面に存在するエナメル質の大部分を温存することが出来たので、この治療は非常に長持ちさせることが出来ると思いますヽ(゚∀゚)ノ パッ☆