こんにちは。
ここ最近、いろいろな先生方からレジン治療のやり方などを聞かれることが増えてきました。
私が行っているのは高名な先生方の治療をミックスさせ、そこから自分なりに進化させてきた独自なやり方になっております。
私の治療に興味がある方で私の連絡先をご存じの方は連絡いただければ、保険のレジンに関してはいくらでもお答えしますので、気軽にご質問ください。
自費に関しては有料でセミナーをしている手前、無料で回答出来る範囲に留めさせていただきますね(;^_^A
さて。
歯茎を押しのけるために、私は基本的に圧排糸というものを使用していましたが、
SNS上で知り合った歯科医師の先生からテフロンテープなるものを教えて頂き、使い始めました。
少し専門的になりますが、勘所を少し記載していきたいと思います。
基本的な使用方法は圧排糸と同じような感じなのですが、実際には圧排糸と違って吸水性はありません。
その為、出血や浸出液などはそのまま出てきてしまいがちです。
ですが、吸水性が無いので、強圧のエアーを掛けることでそれらの接着阻害因子を一気に飛ばすことが出来ますし・・・
いざ接着界面に接着阻害因子が入った際、強圧で水洗した時にも糸に水分が残らないというメリットがあります。
また、形態を自由に変えることが出来るので、圧排が不十分であれば2重に入れれば良いですし、側面にマトリックスを押し付けるといった使い方も出来ます。
単価も安いため、チマチマと節約して使う必要もないというものメリットの1つですね。
症例によってはやはり既存の圧排糸の方が優秀なケースももちろんありますが、一つ持っておくと便利なマテリアルだと思います。
さて、では、実際の症例写真をアップします。
まずはいつも通り、術前写真から。

この金属部分が虫歯になってしまっているので、ここを治療していきました。
元々入っている金属自体の適合は決して悪くはありません。
ですが、金属の詰め物被せ物は歯に直接くっつけることが出来ませんので、セメントを介して歯にくっつけることになります。
ですが、そのセメントも長い年月をかけてボロボロと取れていき・・・
そこの隙間から虫歯になってしまうという事が多々あります。
金属のみを除去したのがこの写真です。

歯と金属の間に入っているセメント部分がなくなっていたため、そこに細菌繁殖が起こり、歯茎に炎症が生じてしまっています。
また、金属の下に入っている白い部分の下にも虫歯が広がってしまっている状況でした。
虫歯を取りきったのがこちらになります。

うっすらと見えていた茶色い部分がなくなり、綺麗な歯の色が出てきているのが分かるかと思います。
そしてテフロンテープを入れたのがこちら。

歯の湾曲に沿ってテフロンテープを圧接することが出来るため、自然なカーブを再現しやすくなります。
また、歯茎側の歯と、プラスチックの膜の部分の適合もこれで合わせることが出来るため、一石二鳥の状態になっています。
歯茎に出血はありますが、虫歯を取った歯の内面には血が一滴もついていない状況なのが分かるかと思いますが、
これはマトリックスをテフロンテープで強固に圧接出来ているため、中に血が入る隙間もない状況になっているためです。
逆に言えば、ここにレジンを流し込んでも、余分なところには一切流れることはなく、非常に良好な適合を持たせることが出来るわけです。

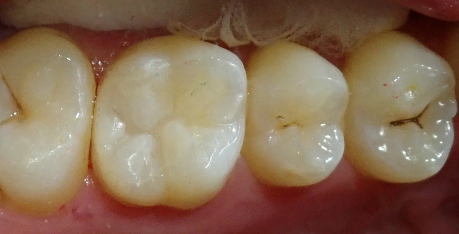
そして詰め終わったのがこちらです。
詰めるのに時間が掛かったため、歯が白く変色しており、詰めた部分が浮いているように感じるかもしれませんが、
1週間もすればこの歯の部分に水分が戻り、色は更に馴染んでくれます。
術後確認のためにフロスを通してみても、一切の段差などはなく、問題なく仕上がっていました。
現在、私の診療においてテフロンテープの使用頻度は上がってきていますので、今後も更に技術を上げ、患者さんに還元していけると思います。