こんにちは。
人生何度目かになるダイエットを開始ししました。
そしてまた人生何度目かになる「今度こそ痩せた後は体型を維持するんだ」という決意をしております。
今日は、自費の治療法であるオールセラミックスのクラウンについてです。
しかし、今回は1本のみのクラウンではなく3本分のブリッジとなっております。
治療の流れは神経があるか無いかで変わってきますが・・・
①虫歯を取る
↓
(②神経の治療をする)
↓
(③土台を立てる)
↓
④形作り・型取り
↓
⑤出来た物を調整してSet
となります。
※②③は神経の治療(歯内療法)が必要な場合に行います。
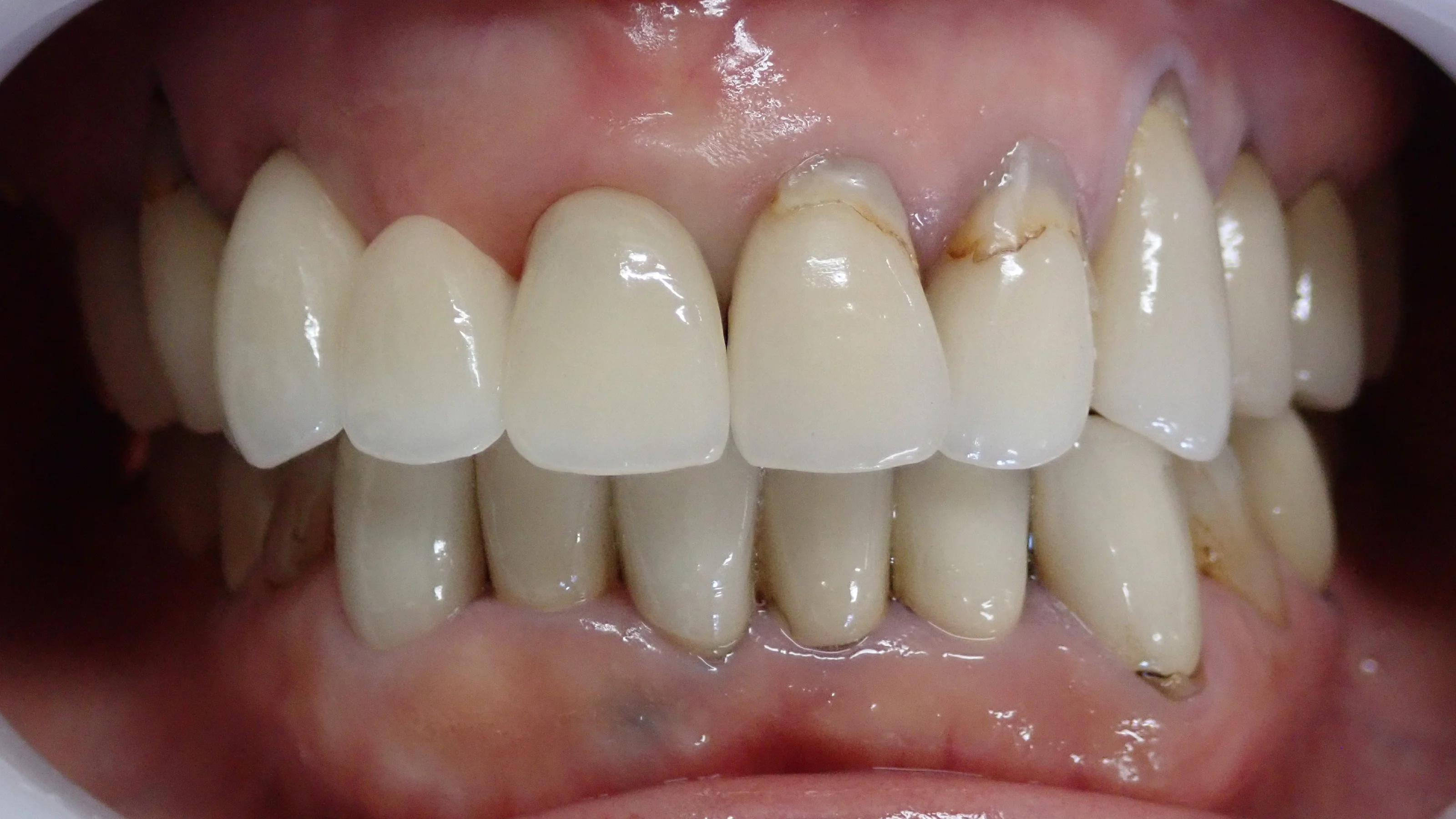
術前写真です。今回は右上の1~3の3本のブリッジの再作製です。
(写真上で言うと真ん中から左の3本分です。)

元々メタルボンドが入っており、歯茎の下がりに伴ってメタル部分が露出していたようですね。
本来であれば見た目が気になるのであれば、再度作り直したほうが良いのですが・・・
どうやら白いプラスチックの詰め物(レジン)で歯茎の側の一部だけ詰めていたようです。
ただし、セラミックとレジンの接着は実は非常に難しく、適切な方法で行ったとしてもなかなか長持ちしません。
結果として、セラミックとレジンの間に着色が付き始めてしまっています。
また着色だけならまだしも、そこのレジンとの間から中に虫歯が入り込んでしまったようで・・・
どうやら歯の神経が死んでしまった模様・・・。
どちらも神経が死んでいたため、神経の治療を行っていきました。
・・・模型の写真などを見事に取り忘れました。
いや、うっかり。
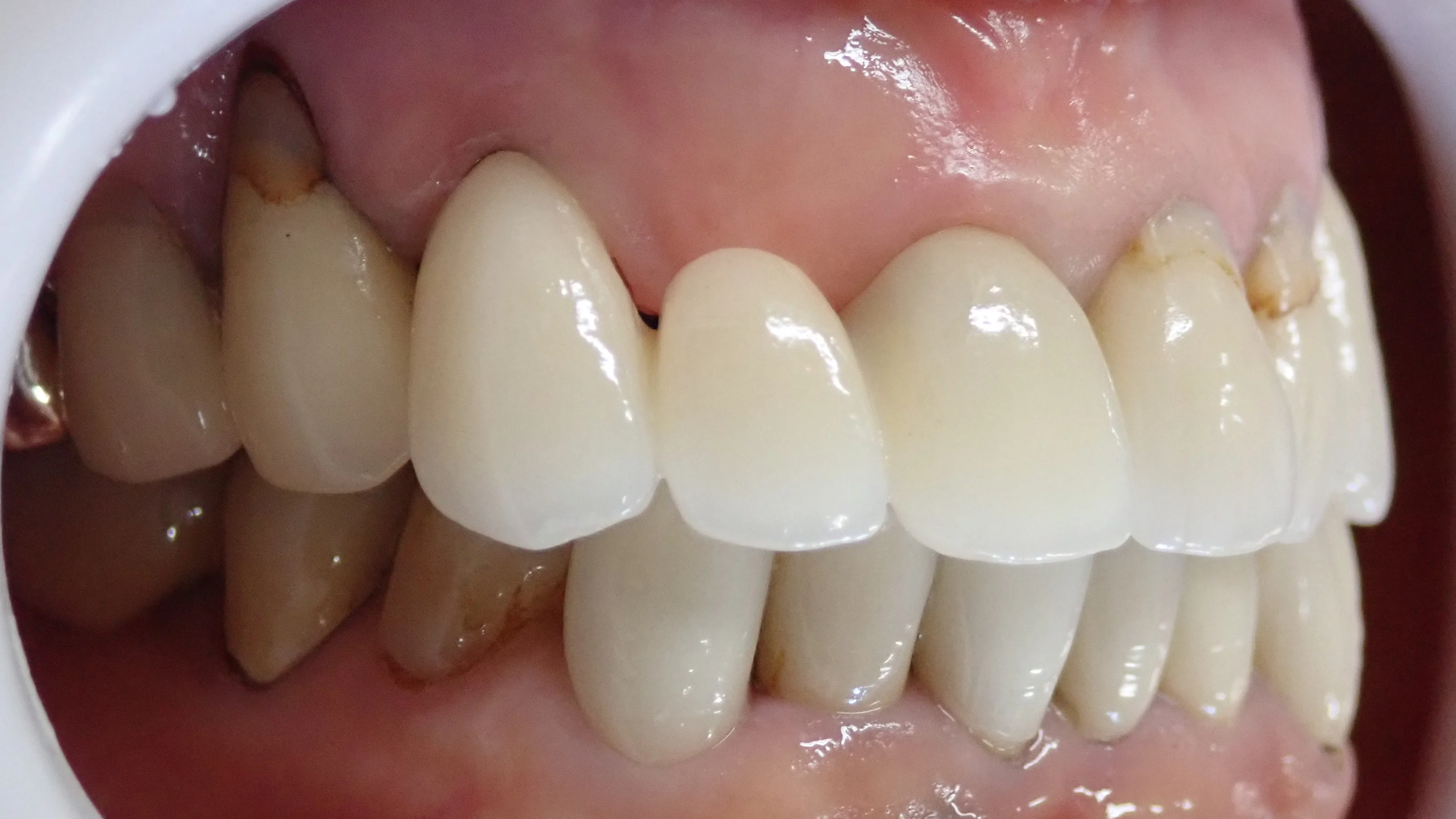
ひとまず、Set後の写真を。
・正面像

・斜めから見た写真

見た目はもちろん、適合もばっちりです。仮歯(ブロビジョナルと言います)の段階で、適合の良いものを入れると、歯肉に炎症が起きないどころかむしろ改善します。
プラスで、仮歯の段階で歯がない部分の形も調整しておくと、まるでそこに歯が有るかのごとく見せることも出来ますヽ(゚∀゚)ノ パッ☆
また、前歯は発音に関わる部分ですので、そういった意味でも適合の良い仮歯を入れることが大切です。
(仮歯の段階で発音を確認しながら作れば最終的なものを入れたときにも違和感や喋りづらいといったことを防ぐことが出来ます。)
非常に綺麗に仕上がったので、患者さんも喜んでくれました。
しっかりと歯間ブラシなどを通して長持ちさせてもらいたいと思います。
#自費診療 #オールセラミックス