こんにちは。
新しい診療時間に変わってから早1月が経過しました。
定期的に来てくれている方は特に問題なく移行できていますので、5月末くらいにはTOPにある診療時間変更のお知らせを消したいと思います。
さて、ここ最近遠方からの初診の方や歯科医療従事者からの問い合わせが非常に増えております。
また初診数増加に伴い、急患対応も多くなってまいりましたので、再度ご案内させていただきます。
【当院での初診の取り扱いについて】
当院は現在、予約の患者さんで1~2週間先まで完全に埋まっている状況になっております。
急患の場合は、コロナ渦も相まって、可能な限りお待ちいただかないよう予約の患者さんの治療内容等を考慮し、日時を指定させていただいております。
従って、どうしても「この曜日のこの時間で」などの希望される日時が限定的な場合は通常の予約をお願いしております。
皆様お仕事や私生活がお忙しい中、1~2週間お待ちいただいた上で予約を取っていただいております。
無理に初診の方の希望に対応することで予約の患者様の治療に影響を及ぼすことは、当院が目標としている「公平公正な医療の提供」には反してしまうと考えております。
痛みがあるなどの急を要する場合は、通常の予約枠ではないため希望の時間のご案内ができかねることを予めご了承ください。
さて、本日は前回に引き続きセラミッククラウンについてです。
では、医療法(医療広告ガイドライン)の兼ね合いで毎回書いている内容をまた今回も記載したいと思います。
セラミッククラウンのメリットは
・生体親和性材料の為、アレルギーなどの反応は生じない。
・細菌繁殖しにくい為、虫歯や歯周病になりづらい。
・化学的に安定している為、変形変色などは生じない。
・セラミックと歯茎は接着するため、歯茎が下がって行きづらい。
です。
逆にデメリットとしては、
・一部欠けてしまった場合はそこだけの修理などはできず、完全に一度破壊してやり直す必要が出てくる。
・所謂「陶器」の為、衝撃などに弱く、術者の腕や噛み合わせによっては割れたり欠けたりすることがある。
・適正な厚みを確保する必要があるため、それが出来ないケースには使用できない。
・金属の被せ物に比べると歯を削る量が多め。
・保険が使えない為、高額(当院では1本154,000円(税込)です)。
といったところです。
ダイレクトボンディングのブログの時に毎度書いていますが、私はよく「歯の治療は回数券」と患者さんにお伝えしています。
20枚綴りの回数券を治療の度に消費していくとします。
ダイレクトボンディングは1~2枚程度しか消費しない治療法ですが、部分的な金属の詰め物は一気に3~5枚くらい消費するようなイメージで、被せ物についてはは5~10枚消費するようなイメージです。
セラミッククラウンは被せ物ですので大体5〜10枚使用するような感じです。
ただしメタルクラウンやCAD/CAM冠に比べ、その物性的に非常に予後が良くなりやすい材料でもあります。
そのため、1回1回の治療が長持ちしやすくなり、結果として前述の2つのクラウンよりも歯を残せる確率が上がってきます。
大体何年もつの?と聞かれることがありますが、残念ながら断言しかねます。
元々の歯の残存量はもちろん、神経の治療の有無・噛み合わせや歯並び・TCHなどの習癖など様々な要因によって持ちは変わって来るためです。
ただ一般的には10年を超えて生じるトラブルは寿命と考えた方がいいと言われていますので、大体そのくらいを目安に考えてもらった方がいいかもしれませんね。
では症例写真に移ります。
土台の状態の写真からです。

仮歯も丁寧にやると歯茎の形態を綺麗に作っておくことが出来ます。
そうすると仕上がってくるセラミックが非常に綺麗に入るので、たかが仮歯といえどもしっかりと作るのが大事ですね。
歯の周りの歯茎がシャープになっているのがなんとなくわかるかと思います。
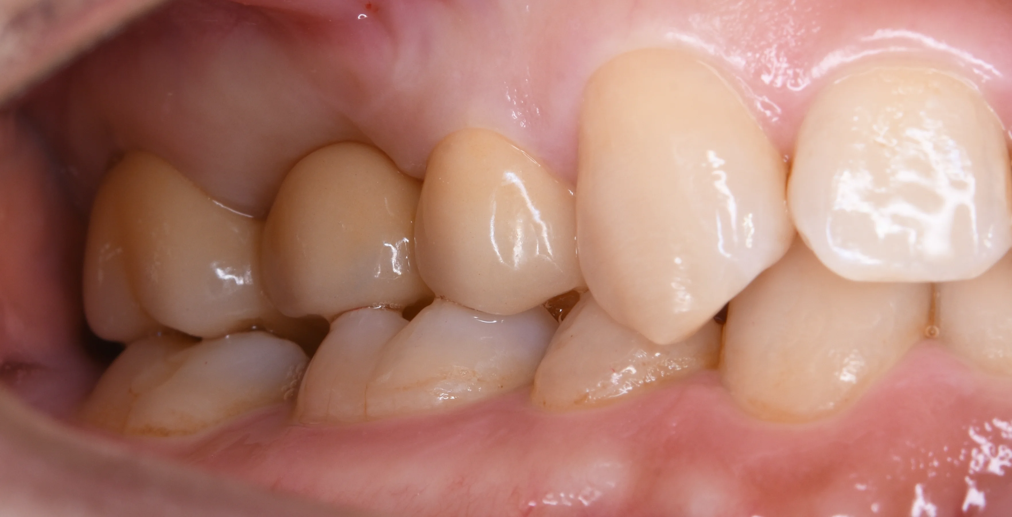
そしてSet時の写真です。

色調も形態も完璧ですね。
技工士さんが非常に上手く作ってくれていつも助かってます。
患者さんも歯ブラシを頑張ってくれているおかげで綺麗な歯茎の状態で入れることができましたね。
基本的なことですが、虫歯の治療にしても、被せ物を入れるにしても、歯茎の状態が綺麗じゃないと良い治療ができません。
歯周病があると歯茎に炎症があり、綺麗じゃなくなります。
一見関係なさそうな神経の治療でさえ歯周病をしっかりとコントロールできているかどうかで成功率が大きく変わってきますので、全ての治療の基本が歯周病になってきます。
だからこそ、当院では少しでも歯肉に炎症のある方の場合は歯周病の治療を先行して虫歯の治療に入るようにしているんです。
保険だろうが自費だろうが同じ費用かけるのであればなるべく適合のいい、長持ちする治療の方がお得ですからねぇ。
そして術前と術後の比較がこちらです。

今回の症例でもそうですが、私は大体形作りと型取り・仮歯作成を1日に同時で行うことが多いです。
しかし、場合によっては仮歯の作成と型取りを別日に分けることもあります。
その際には来院回数が1回増えてしまいますが、適合のいい被せ物を入れるためですので、ご了承いただければ幸いです。
長時間の治療、お疲れ様でしたヽ(゚∀゚)ノ パッ☆